Skip to main content

Mrc2 Antibody - BSA Free

Novus Biologicals, part of Bio-Techne | Catalog # NBP1-85768

Novus Biologicals, part of Bio-Techne
Catalog #
Availability
Size / Price
Qty
Loading...
NBP1-85768
NBP1-85768-25ul

Key Product Details

Species Reactivity

Validated:

Human

Predicted:

Rat (90%). Backed by our 100% Guarantee.

Applications

Immunohistochemistry, Immunohistochemistry-Paraffin

Label

Unconjugated

Antibody Source

Polyclonal Rabbit IgG

Format

BSA Free

Concentration

Concentrations vary lot to lot. See vial label for concentration. If unlisted please contact technical services.

Product Specifications

Immunogen

This antibody was developed against Recombinant Protein corresponding to amino acids: EEEHFVANMLNKIFGESEPEIHEQHWFWIGLNRRDPRGGQSWRWSDGVGFSYHNFDRSRHDDDDIRGCAVLDLASLQWVAMQCDTQLDWICKIPRGTDVREPDDSPQGRREWLRFQEAEYKFFEHHSTWAQAQRICTWFQAELTSVHSQ

Reactivity Notes

Immunogen displays the following percentage of sequence identity for non-tested species: Mouse (89%)

Clonality

Polyclonal

Host

Rabbit

Isotype

IgG

Description

Novus Biologicals Rabbit Mrc2 Antibody - BSA Free (NBP1-85768) is a polyclonal antibody validated for use in IHC. All Novus Biologicals antibodies are covered by our 100% guarantee.

Scientific Data Images for Mrc2 Antibody - BSA Free

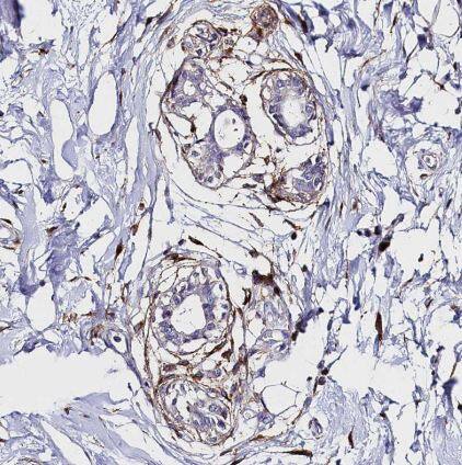
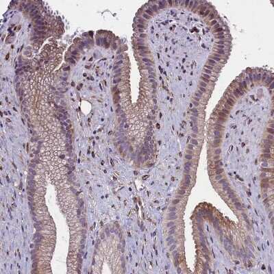
Immunohistochemistry-Paraffin: Mrc2 Antibody [NBP1-85768]

Immunohistochemistry-Paraffin: Mrc2 Antibody [NBP1-85768]

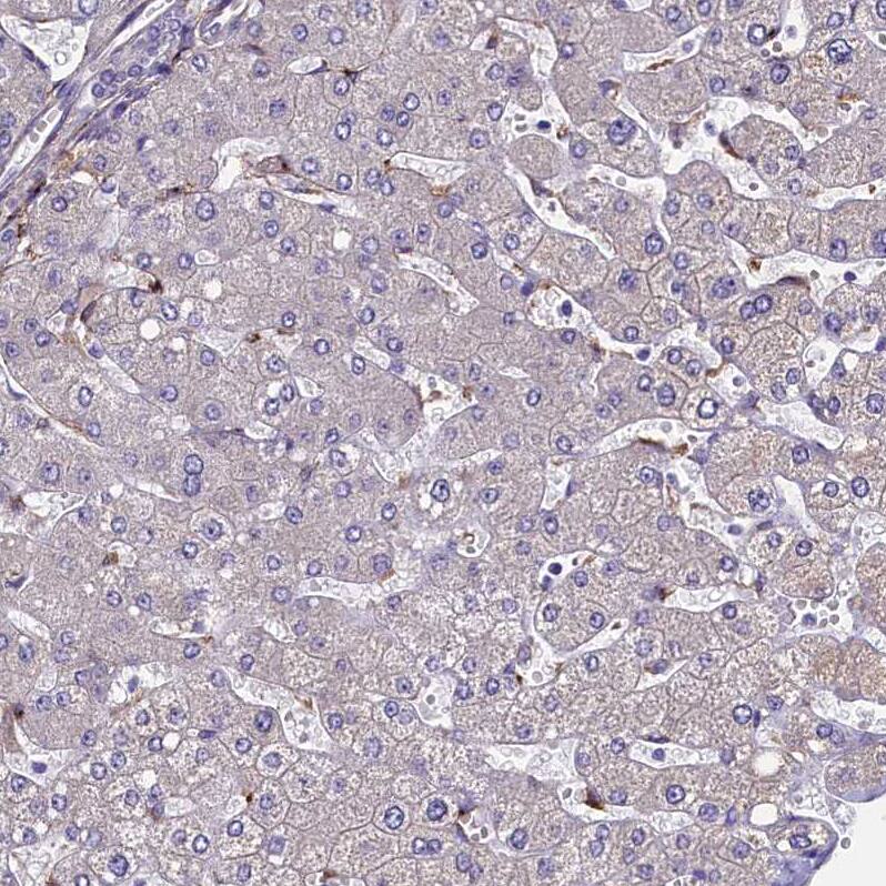
Immunohistochemistry-Paraffin: Mrc2 Antibody [NBP1-85768] - Analysis in human gallbladder and liver tissues using NBP1-85768 antibody. Corresponding MRC2 RNA-seq data are presented for the same tissues.
Immunohistochemistry-Paraffin: Mrc2 Antibody [NBP1-85768]

Immunohistochemistry-Paraffin: Mrc2 Antibody [NBP1-85768]

Immunohistochemistry-Paraffin: Mrc2 Antibody [NBP1-85768] - Staining of human Gallbladder shows strong membranous positivity in glandular cells.
Mrc2 Antibody

Immunohistochemistry-Paraffin: Mrc2 Antibody [NBP1-85768] -

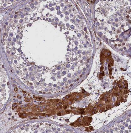
Immunohistochemistry-Paraffin: Mrc2 Antibody [NBP1-85768] -Staining of human Testis shows strong cytoplasmic positivity in Leydig cells.

Applications for Mrc2 Antibody - BSA Free

Application
Recommended Usage

Immunohistochemistry

1:50 - 1:200

Immunohistochemistry-Paraffin

1:50 - 1:200
Application Notes
For IHC-Paraffin, HIER pH 6 retrieval is recommended.

Formulation, Preparation, and Storage

Purification

Immunogen affinity purified

Formulation

PBS (pH 7.2) and 40% Glycerol

Format

BSA Free

Preservative

0.02% Sodium Azide

Concentration

Concentrations vary lot to lot. See vial label for concentration. If unlisted please contact technical services.

Shipping

The product is shipped with polar packs. Upon receipt, store it immediately at the temperature recommended below.

Stability & Storage

Store at 4C short term. Aliquot and store at -20C long term. Avoid freeze-thaw cycles.

Background: Mrc2

MRC2, also known as C-type mannose receptor 2, is a 1,479 amino acid protein that is 167 kDa, plays a role in extracellular matrix remodeling by mediating the internalization and lysosomal degradation of collagen ligands, may be involved in plasminogen activation system controlling the extracellular level of PLAUR/PLAU, and thus may regulate protease activity at the cell surface, and may play a role in the tumorigenesis and metastasis of several malignancies including breast cancer, gliomas and metastatic bone disease. Disease research is currently being studied with relations to MRC2 and breast cancer, aortic aneurysm, prostate cancer, progression of osteoarthritis, prostatitis,s, schizophrenia, tuberculosis, immunodeficiency, and hepatitis. Interactions with this protein have shown to involve NDEL1, IL10, TGFB1, TGFB2, TGFB3, and UBC in antigen processing-cross presentation, cross-presentation of soluble exogenous antigens (endosomes), adaptive immune system, class I MHC mediated antigen processing & presentation, immune system, phagosome, and tuberculosis pathways.

Long Name

Mannose Receptor, C-type 2

Alternate Names

CD280, CLEC13E, Endo180, uPARAP

Entrez Gene IDs

9902 (Human)

Gene Symbol

MRC2

UniProt

Additional Mrc2 Products

Product Documents for Mrc2 Antibody - BSA Free

Certificate of Analysis

To download a Certificate of Analysis, please enter a lot number in the search box below.

Product Specific Notices for Mrc2 Antibody - BSA Free

This product is for research use only and is not approved for use in humans or in clinical diagnosis. Primary Antibodies are guaranteed for 1 year from date of receipt.

Loading...
Loading...
Loading...
Loading...