Skip to main content

MPV17L Antibody - BSA Free

Novus Biologicals, part of Bio-Techne | Catalog # NBP1-83466

Novus Biologicals, part of Bio-Techne
Catalog #
Availability
Size / Price
Qty
Loading...
NBP1-83466
NBP1-83466-25ul

Key Product Details

Species Reactivity

Human

Applications

Immunohistochemistry, Immunohistochemistry-Paraffin, Immunocytochemistry/ Immunofluorescence

Label

Unconjugated

Antibody Source

Polyclonal Rabbit IgG

Format

BSA Free

Concentration

Concentrations vary lot to lot. See vial label for concentration. If unlisted please contact technical services.

Product Specifications

Immunogen

This antibody was developed against Recombinant Protein corresponding to amino acids: SQQSGDGTFKSAFTILYTKGTSATEGYPKK

Clonality

Polyclonal

Host

Rabbit

Isotype

IgG

Scientific Data Images for MPV17L Antibody - BSA Free

Immunocytochemistry/ Immunofluorescence: MPV17L Antibody [NBP1-83466]

Immunocytochemistry/ Immunofluorescence: MPV17L Antibody [NBP1-83466]

Immunocytochemistry/Immunofluorescence: MPV17L Antibody [NBP1-83466] - Staining of human cell line Hep G2 shows localization to vesicles. Antibody staining is shown in green.
Immunohistochemistry-Paraffin: MPV17L Antibody [NBP1-83466]

Immunohistochemistry-Paraffin: MPV17L Antibody [NBP1-83466]

Immunohistochemistry-Paraffin: MPV17L Antibody [NBP1-83466] - Staining of human cerebral cortex shows cytoplasmic positivity in neurons.
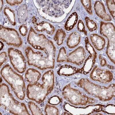
Immunohistochemistry-Paraffin: MPV17L Antibody [NBP1-83466]

Immunohistochemistry-Paraffin: MPV17L Antibody [NBP1-83466]

Immunohistochemistry-Paraffin: MPV17L Antibody [NBP1-83466] - Staining of human kidney shows cytoplasmic positivity in cells in tubules.

Applications for MPV17L Antibody - BSA Free

Application
Recommended Usage

Immunocytochemistry/ Immunofluorescence

0.25-2 ug/ml

Immunohistochemistry

1:20 - 1:50

Immunohistochemistry-Paraffin

1:20 - 1:50
Application Notes
For IHC-Paraffin, HIER pH 6 retrieval is recommended. ICC/IF Fixation Permeabilization: Use PFA/Triton X-100.

Formulation, Preparation, and Storage

Purification

Affinity purified

Formulation

PBS (pH 7.2) and 40% Glycerol

Format

BSA Free

Preservative

0.02% Sodium Azide

Concentration

Concentrations vary lot to lot. See vial label for concentration. If unlisted please contact technical services.

Shipping

The product is shipped with polar packs. Upon receipt, store it immediately at the temperature recommended below.

Stability & Storage

Store at 4C short term. Aliquot and store at -20C long term. Avoid freeze-thaw cycles.

Background: MPV17L

Isoform 1 participates in reactive oxygen species metablism by up- or down-regulation of the genes ofantioxidant enzymes

Alternate Names

FLJ39599, MGC70356, M-LP homolog, M-LPH, MLPH1, MLPH2, MPV17 mitochondrial membrane protein-like, MPV17L1, mpv17-like protein, Mpv17-like protein type 1, Mpv17-like protein type 2

Gene Symbol

MPV17L

Additional MPV17L Products

Product Documents for MPV17L Antibody - BSA Free

Certificate of Analysis

To download a Certificate of Analysis, please enter a lot number in the search box below.

Product Specific Notices for MPV17L Antibody - BSA Free

This product is for research use only and is not approved for use in humans or in clinical diagnosis. Primary Antibodies are guaranteed for 1 year from date of receipt.

Loading...
Loading...
Loading...
Loading...