MPRIP Antibody - BSA Free
Novus Biologicals, part of Bio-Techne | Catalog # NBP1-81035
Key Product Details
Validated by
Independent Antibodies
Species Reactivity
Validated:
Human, Mouse, Rat
Cited:
Human, Mouse
Applications
Validated:
Immunohistochemistry, Immunohistochemistry-Paraffin, Western Blot, Immunocytochemistry/ Immunofluorescence
Cited:
Western Blot
Label
Unconjugated
Antibody Source
Polyclonal Rabbit IgG
Format
BSA Free
Concentration
Concentrations vary lot to lot. See vial label for concentration. If unlisted please contact technical services.
Product Specifications
Immunogen
This antibody was developed against Recombinant Protein corresponding to amino acids: KDAYELEVLLRVKESEIQYLKQEISSLKDELQTALRDKKYASDKYKDIYTELSIAKAKADCDISRLKEQLKAATEALGEKSPDSATVSGYDIMKSKSNPDFLKKDRSCVTRQL
Clonality
Polyclonal
Host
Rabbit
Isotype
IgG
Scientific Data Images for MPRIP Antibody - BSA Free
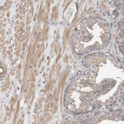
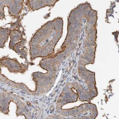
Immunohistochemistry-Paraffin: MPRIP Antibody [NBP1-81035]
Immunohistochemistry-Paraffin: MPRIP Antibody [NBP1-81035] - Staining of human cerebral cortex, fallopian tube, liver and prostate using Anti-MPRIP antibody NBP1-81035 (A) shows similar protein distribution across tissues to independent antibody NBP1-81036 (B).Western Blot: MPRIP Antibody [NBP1-81035]
Western Blot: MPRIP Antibody [NBP1-81035] - Analysis in mouse cell line NIH-3T3 and rat cell line NBT-II.Immunocytochemistry/ Immunofluorescence: MPRIP Antibody [NBP1-81035]
Immunocytochemistry/Immunofluorescence: MPRIP Antibody [NBP1-81035] - Staining of human cell line A-431 shows localization to actin filaments. Antibody staining is shown in green.Applications for MPRIP Antibody - BSA Free
Application
Recommended Usage
Immunocytochemistry/ Immunofluorescence
0.25-2 ug/ml
Immunohistochemistry
1:50 - 1:200
Immunohistochemistry-Paraffin
1:50 - 1:200
Western Blot
0.04-0.4 ug/ml
Application Notes
For IHC-Paraffin, HIER pH 6 retrieval is recommended. ICC/IF Fixation Permeabilization: Use PFA/Triton X-100.
Formulation, Preparation, and Storage
Purification
Affinity purified
Formulation
PBS (pH 7.2) and 40% Glycerol
Format
BSA Free
Preservative
0.02% Sodium Azide
Concentration
Concentrations vary lot to lot. See vial label for concentration. If unlisted please contact technical services.
Shipping
The product is shipped with polar packs. Upon receipt, store it immediately at the temperature recommended below.
Stability & Storage
Store at 4C short term. Aliquot and store at -20C long term. Avoid freeze-thaw cycles.
Background: MPRIP
Alternate Names
KIAA0864Rho interacting protein 3, MRIPP116RIP, myosin phosphatase Rho interacting protein, p116Ripmyosin phosphatase-Rho interacting protein, RHOIP3myosin phosphatase Rho-interacting protein, RIP3M-RIPRho-interacting protein 3
Gene Symbol
MPRIP
UniProt
Additional MPRIP Products
Product Documents for MPRIP Antibody - BSA Free
Product Specific Notices for MPRIP Antibody - BSA Free
This product is for research use only and is not approved for use in humans or in clinical diagnosis. Primary Antibodies are guaranteed for 1 year from date of receipt.
Loading...
Loading...
Loading...
Loading...