Skip to main content

MPP7 Antibody - BSA Free

Novus Biologicals, part of Bio-Techne | Catalog # NBP3-47062

Novus Biologicals, part of Bio-Techne
Catalog #
Availability
Size / Price
Qty
Loading...
NBP3-47062

Key Product Details

Species Reactivity

Human, Mouse, Rat

Applications

Immunohistochemistry, Western Blot, ELISA, Immunoprecipitation

Label

Unconjugated

Antibody Source

Polyclonal Rabbit IgG

Format

BSA Free

Concentration

Please see the vial label for concentration. If unlisted please contact technical services.

Product Specifications

Immunogen

membrane protein, palmitoylated 7(MAGUK p55 subfamily member 7). (Uniprot# Q5T2T1)

Clonality

Polyclonal

Host

Rabbit

Isotype

IgG

Theoretical MW

66 kDa.
Disclaimer note: The observed molecular weight of the protein may vary from the listed predicted molecular weight due to post translational modifications, post translation cleavages, relative charges, and other experimental factors.

Description

Novus Biologicals Rabbit MPP7 Antibody - BSA Free (NBP3-47062) is a polyclonal antibody validated for use in IHC, WB, ELISA and IP. All Novus Biologicals antibodies are covered by our 100% guarantee.

Scientific Data Images for MPP7 Antibody - BSA Free

MPP7 Antibody - BSA Free

Western Blot: MPP7 Antibody - BSA Free [NBP3-47062] -

Western Blot: MPP7 Antibody - BSA Free [NBP3-47062] - HeLa cells were subjected to SDS PAGE followed by western blot with (MPP7 antibody) at dilution of 1:500
MPP7 Antibody - BSA Free

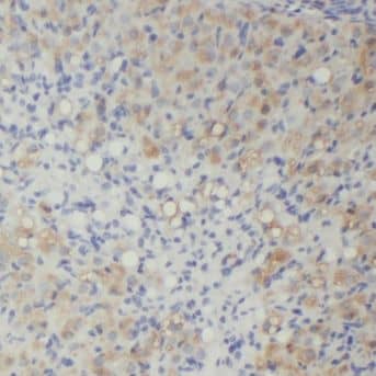
Immunohistochemistry: MPP7 Antibody - BSA Free [NBP3-47062] -

Immunohistochemistry: MPP7 Antibody - BSA Free [NBP3-47062] - Immunohistochemistry of paraffin-embedded human ovary tumor using (MPP7 antibody) at dilution of 1:100
MPP7 Antibody - BSA Free

Immunoprecipitation: MPP7 Antibody - BSA Free [NBP3-47062] -

Immunoprecipitation: MPP7 Antibody - BSA Free [NBP3-47062] - IP Result of anti-MPP7 (IP:, 4ug; Detection: 1:500) with HeLa cells lysate 2800ug.

Applications for MPP7 Antibody - BSA Free

Application
Recommended Usage

Immunohistochemistry

1:20-1:200

Immunoprecipitation

1:200-1:1000

Western Blot

1:500-1:2000

Formulation, Preparation, and Storage

Purification

Immunogen affinity purified

Formulation

PBS, 50% Glycerol, pH (7.3)

Format

BSA Free

Preservative

0.02% Sodium Azide

Concentration

Please see the vial label for concentration. If unlisted please contact technical services.

Shipping

The product is shipped with polar packs. Upon receipt, store it immediately at the temperature recommended below.

Stability & Storage

Store at -20C. Avoid freeze-thaw cycles.

Background: MPP7

Membrane-associated guanylate kinases (MAGUKs) are important adaptor proteins involved in the assembly of protein complexes at sites of cell-cell contact. They are found in synapses, adherens junctions, and tight junctions. All MAGUKs contain at least 1 PDZ domain, an SH3 domain, and a GUK domain, and many contain 1 or 2 L27 domains, which are involved in multimerization of MAGUKs. MPP7 belongs to the p55 stardust subfamily of MAGUKs, which is named for a Drosophila gene required for establishment of cell polarity in the developing fly embryo (Bohl et al., 2007 [PubMed 17237226]).[supplied by OMIM]

Alternate Names

FLJ32798, MAGUK p55 subfamily member 7, membrane protein, palmitoylated 7 (MAGUK p55 subfamily member 7)

Gene Symbol

MPP7

Additional MPP7 Products

Product Documents for MPP7 Antibody - BSA Free

Certificate of Analysis

To download a Certificate of Analysis, please enter a lot number in the search box below.

Product Specific Notices for MPP7 Antibody - BSA Free

This product is for research use only and is not approved for use in humans or in clinical diagnosis. Primary Antibodies are guaranteed for 1 year from date of receipt.

Loading...
Loading...
Loading...
Loading...