MPHOSPH6 Antibody - BSA Free
Novus Biologicals, part of Bio-Techne | Catalog # NBP2-19388
Key Product Details
Species Reactivity
Human
Applications
Immunohistochemistry, Immunohistochemistry-Paraffin, Western Blot, Immunocytochemistry/ Immunofluorescence
Label
Unconjugated
Antibody Source
Polyclonal Rabbit IgG
Format
BSA Free
Concentration
Concentrations vary lot to lot. See vial label for concentration. If unlisted please contact technical services.
Product Specifications
Immunogen
Recombinant protein encompassing a sequence within the center region of human MPHOSPH6. The exact sequence is proprietary.
Reactivity Notes
Immunogen displays the following percentage of sequence identity for non-tested species: Rhesus Macaque.
Clonality
Polyclonal
Host
Rabbit
Isotype
IgG
Theoretical MW
19 kDa.
Disclaimer note: The observed molecular weight of the protein may vary from the listed predicted molecular weight due to post translational modifications, post translation cleavages, relative charges, and other experimental factors.
Disclaimer note: The observed molecular weight of the protein may vary from the listed predicted molecular weight due to post translational modifications, post translation cleavages, relative charges, and other experimental factors.
Description
Novus Biologicals Rabbit MPHOSPH6 Antibody - BSA Free (NBP2-19388) is a polyclonal antibody validated for use in IHC, WB and ICC/IF. All Novus Biologicals antibodies are covered by our 100% guarantee.
Scientific Data Images for MPHOSPH6 Antibody - BSA Free
Western Blot: MPHOSPH6 Antibody [NBP2-19388]
Western Blot: MPHOSPH6 Antibody [NBP2-19388] - Sample (30 ug of whole cell lysate) A: HCT116 12% SDS PAGE gel, diluted at 1:1000.Immunocytochemistry/ Immunofluorescence: MPHOSPH6 Antibody [NBP2-19388]
Immunocytochemistry/Immunofluorescence: MPHOSPH6 Antibody [NBP2-19388] - Analysis of paraformaldehyde-fixed HeLa, using antibody at 1:200 dilution.Immunohistochemistry-Paraffin: MPHOSPH6 Antibody [NBP2-19388]
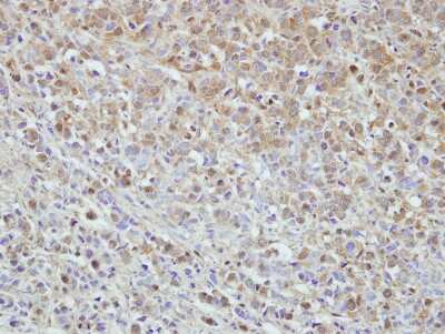
Immunohistochemistry-Paraffin: MPHOSPH6 Antibody [NBP2-19388] - Immunohistochemical analysis of paraffin-embedded MB157 xenograft, using antibody at 1:500 dilution.Applications for MPHOSPH6 Antibody - BSA Free
Application
Recommended Usage
Immunocytochemistry/ Immunofluorescence
1:100-1:1000
Immunohistochemistry
1:100-1:1000
Immunohistochemistry-Paraffin
1:100-1:1000
Western Blot
1:500-1:3000
Formulation, Preparation, and Storage
Purification
Antigen Affinity-purified
Formulation
0.1M Tris, 0.1M Glycine, 20% Glycerol
Format
BSA Free
Preservative
0.01% Thimerosal
Concentration
Concentrations vary lot to lot. See vial label for concentration. If unlisted please contact technical services.
Shipping
The product is shipped with polar packs. Upon receipt, store it immediately at the temperature recommended below.
Stability & Storage
Aliquot and store at -20C or -80C. Avoid freeze-thaw cycles.
Background: MPHOSPH6
Alternate Names
M-phase phosphoprotein 6, MPP-6, MPP6MPP
Gene Symbol
MPHOSPH6
UniProt
Additional MPHOSPH6 Products
Product Documents for MPHOSPH6 Antibody - BSA Free
Product Specific Notices for MPHOSPH6 Antibody - BSA Free
This product is for research use only and is not approved for use in humans or in clinical diagnosis. Primary Antibodies are guaranteed for 1 year from date of receipt.
Loading...
Loading...
Loading...
Loading...
Loading...
⚠ WARNING: This product can expose you to chemicals including mercury, which is known to the State of California to cause reproductive toxicity with developmental effects. For more information go to www.P65Warnings.ca.gov.