MPHOSPH10 Antibody - BSA Free
Novus Biologicals, part of Bio-Techne | Catalog # NBP1-84341
Key Product Details
Validated by
Independent Antibodies
Species Reactivity
Validated:
Human
Cited:
Human
Applications
Validated:
Immunohistochemistry, Immunohistochemistry-Paraffin, Immunocytochemistry/ Immunofluorescence
Cited:
Immunocytochemistry/ Immunofluorescence
Label
Unconjugated
Antibody Source
Polyclonal Rabbit IgG
Format
BSA Free
Concentration
Concentrations vary lot to lot. See vial label for concentration. If unlisted please contact technical services.
Product Specifications
Immunogen
This antibody was developed against Recombinant Protein corresponding to amino acids: DDDLQENEDNKQHKESLKRVTFALPDDAETEDTGVLNVKKNSDEVKSSFEKRQEKMNEKIASLEKELLEKKPWQLQGEVTAQKRPENSLLEETLHFDHAVR
Reactivity Notes
Immunogen displays the following percentage of sequence identity for non-tested species: Mouse (85%), Rat (83%)
Clonality
Polyclonal
Host
Rabbit
Isotype
IgG
Description
Novus Biologicals Rabbit MPHOSPH10 Antibody - BSA Free (NBP1-84341) is a polyclonal antibody validated for use in IHC and ICC/IF. Anti-MPHOSPH10 Antibody: Cited in 4 publications. All Novus Biologicals antibodies are covered by our 100% guarantee.
Scientific Data Images for MPHOSPH10 Antibody - BSA Free
Immunohistochemistry-Paraffin: MPHOSPH10 Antibody [NBP1-84341]
Immunohistochemistry-Paraffin: MPHOSPH10 Antibody [NBP1-84341] - Staining of human cerebral cortex, kidney, skin and testis using Anti-MPHOSPH10 antibody NBP1-84341 (A) shows similar protein distribution across tissues to independent antibody NBP2-38232 (B).Immunocytochemistry/ Immunofluorescence: MPHOSPH10 Antibody [NBP1-84341]
Immunocytochemistry/Immunofluorescence: MPHOSPH10 Antibody [NBP1-84341] - Immunofluorescent staining of human cell line A-431 shows localization to nucleoli.Immunohistochemistry-Paraffin: MPHOSPH10 Antibody [NBP1-84341]
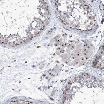
Immunohistochemistry-Paraffin: MPHOSPH10 Antibody [NBP1-84341] - Staining of human testis shows strong positivity in nucleoli in Leydig cells.Applications for MPHOSPH10 Antibody - BSA Free
Application
Recommended Usage
Immunocytochemistry/ Immunofluorescence
0.25-2 ug/ml
Immunohistochemistry
1:200 - 1:500
Immunohistochemistry-Paraffin
1:200 - 1:500
Application Notes
For IHC-Paraffin, HIER pH 6 retrieval is recommended. ICC/IF Fixation Permeabilization: Use PFA/Triton X-100.
Formulation, Preparation, and Storage
Purification
Affinity purified
Formulation
PBS (pH 7.2) and 40% Glycerol
Format
BSA Free
Preservative
0.02% Sodium Azide
Concentration
Concentrations vary lot to lot. See vial label for concentration. If unlisted please contact technical services.
Shipping
The product is shipped with polar packs. Upon receipt, store it immediately at the temperature recommended below.
Stability & Storage
Store at 4C short term. Aliquot and store at -20C long term. Avoid freeze-thaw cycles.
Background: MPHOSPH10
Alternate Names
M phase phosphoprotein 10, M-phase phosphoprotein 10 (U3 small nucleolar ribonucleoprotein), MPP10CT90, MPP10P, U3 small nucleolar ribonucleoprotein protein MPP10
Gene Symbol
MPHOSPH10
Additional MPHOSPH10 Products
Product Documents for MPHOSPH10 Antibody - BSA Free
Product Specific Notices for MPHOSPH10 Antibody - BSA Free
This product is for research use only and is not approved for use in humans or in clinical diagnosis. Primary Antibodies are guaranteed for 1 year from date of receipt.
Loading...
Loading...
Loading...
Loading...