Skip to main content

MOXD1 Antibody - BSA Free

Novus Biologicals, part of Bio-Techne | Catalog # NBP2-19385

Novus Biologicals, part of Bio-Techne
Catalog #
Availability
Size / Price
Qty
Loading...
NBP2-19385

Key Product Details

Species Reactivity

Validated:

Human

Predicted:

Rhesus Macaque (99%). Backed by our 100% Guarantee.

Applications

Immunohistochemistry, Immunohistochemistry-Paraffin, Western Blot

Label

Unconjugated

Antibody Source

Polyclonal Rabbit IgG

Format

BSA Free

Concentration

Concentrations vary lot to lot. See vial label for concentration. If unlisted please contact technical services.

Product Specifications

Immunogen

Recombinant protein encompassing a sequence within the center region of human MOXD1. The exact sequence is proprietary.

Reactivity Notes

Mouse (86%), Chicken (85%).

Clonality

Polyclonal

Host

Rabbit

Isotype

IgG

Theoretical MW

70 kDa.
Disclaimer note: The observed molecular weight of the protein may vary from the listed predicted molecular weight due to post translational modifications, post translation cleavages, relative charges, and other experimental factors.

Description

Novus Biologicals Rabbit MOXD1 Antibody - BSA Free (NBP2-19385) is a polyclonal antibody validated for use in IHC and WB. All Novus Biologicals antibodies are covered by our 100% guarantee.

Scientific Data Images for MOXD1 Antibody - BSA Free

Western Blot: MOXD1 Antibody [NBP2-19385]

Western Blot: MOXD1 Antibody [NBP2-19385]

Western Blot: MOXD1 Antibody [NBP2-19385] - Sample (30 ug of whole cell lysate) A: A431 7. 5% SDS PAGE gel, diluted at 1:1000.
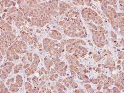
Immunohistochemistry-Paraffin: MOXD1 Antibody [NBP2-19385]

Immunohistochemistry-Paraffin: MOXD1 Antibody [NBP2-19385]

Immunohistochemistry-Paraffin: MOXD1 Antibody [NBP2-19385] - MCF7 xenograft, using MOXD1 antibody at 1:250 dilution. Antigen Retrieval: Citrate buffer, pH 6.0, 15 min.

Applications for MOXD1 Antibody - BSA Free

Application
Recommended Usage

Immunohistochemistry

1:100-1:1000

Immunohistochemistry-Paraffin

1:100-1:1000

Western Blot

1:500-1:3000

Formulation, Preparation, and Storage

Purification

Antigen Affinity-purified

Formulation

0.1M Tris, 0.1M Glycine, 20% Glycerol

Format

BSA Free

Preservative

0.01% Thimerosal

Concentration

Concentrations vary lot to lot. See vial label for concentration. If unlisted please contact technical services.

Shipping

The product is shipped with polar packs. Upon receipt, store it immediately at the temperature recommended below.

Stability & Storage

Aliquot and store at -20C or -80C. Avoid freeze-thaw cycles.

Background: MOXD1

Alternate Names

dJ248E1.1, DKFZP564G202, dopamine-oxygenase, EC 1.14.17, EC 1.14.17.-, Monooxygenase X, monooxygenase, DBH-like 1, MOXDBH-like monooxygenase protein 1, PRO5780

Gene Symbol

MOXD1

UniProt

Additional MOXD1 Products

Product Documents for MOXD1 Antibody - BSA Free

Certificate of Analysis

To download a Certificate of Analysis, please enter a lot number in the search box below.

Product Specific Notices for MOXD1 Antibody - BSA Free

This product is for research use only and is not approved for use in humans or in clinical diagnosis. Primary Antibodies are guaranteed for 1 year from date of receipt.

Loading...
Loading...
Loading...
Loading...

⚠ WARNING: This product can expose you to chemicals including mercury, which is known to the State of California to cause reproductive toxicity with developmental effects.  For more information go to www.P65Warnings.ca.gov.