Skip to main content

MOXD1 Antibody - BSA Free

Novus Biologicals, part of Bio-Techne | Catalog # NBP1-84233

Novus Biologicals, part of Bio-Techne
Catalog #
Availability
Size / Price
Qty
Loading...
NBP1-84233-25ul
NBP1-84233

Key Product Details

Species Reactivity

Validated:

Human

Predicted:

Rat (90%). Backed by our 100% Guarantee.

Applications

Immunohistochemistry, Immunohistochemistry-Paraffin, Immunocytochemistry/ Immunofluorescence

Label

Unconjugated

Antibody Source

Polyclonal Rabbit IgG

Format

BSA Free

Concentration

Concentrations vary lot to lot. See vial label for concentration. If unlisted please contact technical services.

Product Specifications

Immunogen

This antibody was developed against Recombinant Protein corresponding to amino acids: DINDKSITDSTVRVIWAYHHEDAGEAGPKYHDSNRGTKSLRLLNPEKTSVLSTALPYFDLVNQDVPIPNKDTTYWCQMFKIPVFQEKHHVIKVEPV

Reactivity Notes

Immunogen displays the following percentage of sequence identity for non-tested species: Mouse (84%)

Clonality

Polyclonal

Host

Rabbit

Isotype

IgG

Scientific Data Images for MOXD1 Antibody - BSA Free

Immunocytochemistry/ Immunofluorescence: MOXD1 Antibody [NBP1-84233]

Immunocytochemistry/ Immunofluorescence: MOXD1 Antibody [NBP1-84233]

Immunocytochemistry/Immunofluorescence: MOXD1 Antibody [NBP1-84233] - Staining of human cell line BJ shows localization to nucleoplasm & cytosol. Antibody staining is shown in green.
Immunohistochemistry-Paraffin: MOXD1 Antibody [NBP1-84233]

Immunohistochemistry-Paraffin: MOXD1 Antibody [NBP1-84233]

Immunohistochemistry-Paraffin: MOXD1 Antibody [NBP1-84233] - Staining of human kidney shows strong granular cytoplasmic positivity in cells in tubules.
Immunohistochemistry-Paraffin: MOXD1 Antibody [NBP1-84233]

Immunohistochemistry-Paraffin: MOXD1 Antibody [NBP1-84233]

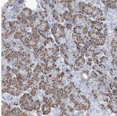
Immunohistochemistry-Paraffin: MOXD1 Antibody [NBP1-84233] - Staining of human pancreas shows strong positivity in endoplasmic reticulum in exocrine glandular cells.

Applications for MOXD1 Antibody - BSA Free

Application
Recommended Usage

Immunocytochemistry/ Immunofluorescence

0.25-2 ug/ml

Immunohistochemistry

1:50 - 1:200

Immunohistochemistry-Paraffin

1:50 - 1:200
Application Notes
For IHC-Paraffin, HIER pH 6 retrieval is recommended. ICC/IF Fixation Permeabilization: Use PFA/Triton X-100.

Formulation, Preparation, and Storage

Purification

Affinity purified

Formulation

PBS (pH 7.2) and 40% Glycerol

Format

BSA Free

Preservative

0.02% Sodium Azide

Concentration

Concentrations vary lot to lot. See vial label for concentration. If unlisted please contact technical services.

Shipping

The product is shipped with polar packs. Upon receipt, store it immediately at the temperature recommended below.

Stability & Storage

Store at 4C short term. Aliquot and store at -20C long term. Avoid freeze-thaw cycles.

Background: MOXD1

Alternate Names

dJ248E1.1, DKFZP564G202, dopamine-oxygenase, EC 1.14.17, EC 1.14.17.-, Monooxygenase X, monooxygenase, DBH-like 1, MOXDBH-like monooxygenase protein 1, PRO5780

Gene Symbol

MOXD1

Additional MOXD1 Products

Product Documents for MOXD1 Antibody - BSA Free

Certificate of Analysis

To download a Certificate of Analysis, please enter a lot number in the search box below.

Product Specific Notices for MOXD1 Antibody - BSA Free

This product is for research use only and is not approved for use in humans or in clinical diagnosis. Primary Antibodies are guaranteed for 1 year from date of receipt.

Loading...
Loading...
Loading...
Loading...