Skip to main content

Key Product Details

Species Reactivity

Validated:

Mouse

Cited:

Human

Applications

Validated:

Immunohistochemistry, Western Blot

Cited:

Western Blot

Label

Unconjugated

Antibody Source

Polyclonal Goat IgG

Product Specifications

Immunogen

S. frugiperda insect ovarian cell line Sf 21-derived recombinant mouse TSG
Cys25-Phe222
Accession # Q9EP52

Specificity

Detects mouse TSG in direct ELISAs and Western blots.

Clonality

Polyclonal

Host

Goat

Isotype

IgG

Scientific Data Images for Mouse TSG Antibody

TSG antibody in Mouse Embryo by Immunohistochemistry (IHC-Fr).

TSG in Mouse Embryo.

TSG was detected in immersion fixed frozen sections of mouse embryo using 15 µg/mL Goat Anti-Mouse TSG Antigen Affinity-purified Polyclonal Antibody (Catalog # AF756) overnight at 4 °C. Tissue was stained (red) and counter-stained (green). View our protocol for Fluorescent IHC Staining of Frozen Tissue Sections.
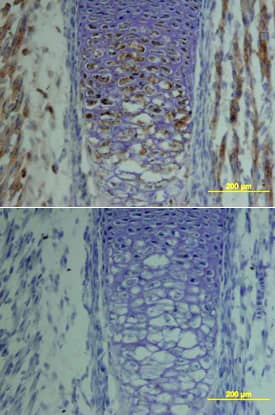
TSG antibody in Mouse Embryo by Immunohistochemistry (IHC-Fr).

TSG in Mouse Embryo.

TSG was detected in immersion fixed frozen sections of mouse embryo using Goat Anti-Mouse TSG Antigen Affinity-purified Polyclonal Antibody (Catalog # AF756) at 15 µg/mL overnight at 4 °C. Tissue was stained using the Anti-Goat HRP-DAB Cell & Tissue Staining Kit (brown; Catalog # CTS008) and counterstained with hematoxylin (blue). Lower panel shows a lack of labeling if primary antibodies are omitted and tissue is stained only with secondary antibody followed by incubation with detection reagents. View our protocol for Chromogenic IHC Staining of Frozen Tissue Sections.

Applications for Mouse TSG Antibody

Application
Recommended Usage

Immunohistochemistry

5-15 µg/mL
Sample: Immersion fixed frozen sections of mouse embryo

Western Blot

0.1 µg/mL
Sample: Recombinant Mouse TSG (Catalog # 756-TG)

Formulation, Preparation, and Storage

Purification

Antigen Affinity-purified

Reconstitution

Reconstitute at 0.2 mg/mL in sterile PBS. For liquid material, refer to CoA for concentration.

Reconstitution Buffer Available:
Size / Price
Qty
Loading...

Formulation

Lyophilized from a 0.2 μm filtered solution in PBS with Trehalose. *Small pack size (SP) is supplied either lyophilized or as a 0.2 µm filtered solution in PBS.

Shipping

Lyophilized product is shipped at ambient temperature. Liquid small pack size (-SP) is shipped with polar packs. Upon receipt, store immediately at the temperature recommended below.

Stability & Storage

Use a manual defrost freezer and avoid repeated freeze-thaw cycles.
  • 12 months from date of receipt, -20 to -70 °C as supplied.
  • 1 month, 2 to 8 °C under sterile conditions after reconstitution.
  • 6 months, -20 to -70 °C under sterile conditions after reconstitution.

Background: TSG

Twisted Gastrulation (TSG) is a secreted, cysteine-rich protein that plays a role in dorsal/ventral patterning by regulating BMP signaling in Drosophila and Xenopus. TSG was originally identified in Drosophila melanogaster and shown to be required for the differentiation of the dorsal amnioserosa cells. Vertebrate TSGs were subsequently cloned in mouse, human, zebrafish and frog. Mouse TSG encodes a 222 amino acid (aa) residue precursor protein with a 24 aa residue putative signal peptide that is cleaved to generate the 198 aa residue mature protein. Studies of expression and function of Twisted Gastrulation have been performed in Drosophila and Xenopus. Xenopus TSG is expressed in the ventral regions of the embryo during gastrulation, mimicking the BMP-4 expression pattern. dTSG is expressed in dorsal cells of the blastoderm embryo, where there are also high levels of activity of Dpp and Screw. In vivo, TSG acts as an agonist for BMP signaling by modulating the inhibitory actions of the BMP antagonist, Chordin/Sog and the cleavage properties of the metalloprotease, xolloid/tolloid. The N-terminal domain of TSG can bind BMP protein directly in vitro and shows BMP antagonist activity.

References

  1. Mason, et al. (1994) Genes Dev. 8:1489.
  2. Oelgeschlager, et al. (2000) Nature 405:757.
  3. Yu, et al. (2000) Development 127:2143.
  4. Dale (2000) Current Biology 10:R671.

Long Name

Twisted Gastrulation Homolog 1 [Drosophila]

Alternate Names

TWSG1

Entrez Gene IDs

57045 (Human); 65960 (Mouse)

Gene Symbol

TWSG1

UniProt

Additional TSG Products

Product Documents for Mouse TSG Antibody

Certificate of Analysis

To download a Certificate of Analysis, please enter a lot number in the search box below.

Note: Certificate of Analysis not available for kit components.

Product Specific Notices for Mouse TSG Antibody

For research use only

Loading...
Loading...
Loading...
Loading...