Skip to main content

Key Product Details

Species Reactivity

Validated:

Mouse

Cited:

Mouse

Applications

Validated:

Immunohistochemistry, Western Blot, Flow Cytometry, CyTOF-ready

Cited:

Western Blot

Label

Unconjugated

Antibody Source

Polyclonal Sheep IgG

Product Specifications

Immunogen

Mouse myeloma cell line NS0-derived recombinant mouse Semaphorin 4D/CD100
Phe24-Thr657
Accession # NP_038688

Specificity

Detects mouse Semaphorin 4D/CD100 in direct ELISAs and Western blots. In direct ELISAs and Western blots, less than 5% cross-reactivity with recombinant human (rh) Semaphorin 3A, rhSemaphorin 4B, and rhSemaphrin 6C is observed.

Clonality

Polyclonal

Host

Sheep

Isotype

IgG

Scientific Data Images for Mouse Semaphorin 4D/CD100 Antibody

Detection of Semaphorin 4D/ CD100 antibody in EL-4 Mouse Cell Line antibody by Flow Cytometry.

Detection of Semaphorin 4D/ CD100 in EL‑4 Mouse Cell Line by Flow Cytometry.

EL-4 mouse lymphoblast cell line were stained with Sheep Anti-Mouse Semaphorin 4D/CD100 Antigen Affinity-purified Polyclonal Antibody (Catalog # AF5235, filled histogram) or control antibody (Catalog # 5-001-A, open histogram), followed by NorthernLights™ 637-conjugated Anti-Sheep IgG Secondary Antibody (Catalog # NL011).
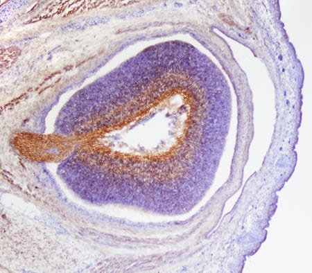
Semaphorin 4D/CD100 antibody in Mouse Embryo Tissue by Immunohistochemistry (IHC-Fr).

Semaphorin 4D/CD100 in Mouse Embryo Tissue.

Semaphorin 4D/CD100 was detected in immersion fixed frozen sections of mouse embryonic eye cup (15 d.p.c.) using Sheep Anti-Mouse Semaphorin 4D/CD100 Antigen Affinity-purified Polyclonal Antibody (Catalog # AF5235) at 15 µg/mL overnight at 4 °C. Tissue was stained using the Anti-Sheep HRP-DAB Cell & Tissue Staining Kit (brown; Catalog # CTS019) and counterstained with hematoxylin (blue). Specific staining was localized to cytoplasm. View our protocol for Chromogenic IHC Staining of Frozen Tissue Sections.

Applications for Mouse Semaphorin 4D/CD100 Antibody

Application
Recommended Usage

CyTOF-ready

Ready to be labeled using established conjugation methods. No BSA or other carrier proteins that could interfere with conjugation.

Flow Cytometry

2.5 µg/106 cells
Sample: EL-4 mouse lymphoblast cell line

Immunohistochemistry

5-15 µg/mL
Sample: Immersion fixed frozen sections of mouse embryonic eye cup (15 d.p.c.)

Western Blot

0.1 µg/mL
Sample: Recombinant Mouse Semaphorin 4D/CD100

Formulation, Preparation, and Storage

Purification

Antigen Affinity-purified

Reconstitution

Reconstitute at 0.2 mg/mL in sterile PBS. For liquid material, refer to CoA for concentration.

Reconstitution Buffer Available:
Size / Price
Qty
Loading...

Formulation

Lyophilized from a 0.2 μm filtered solution in PBS with Trehalose. *Small pack size (SP) is supplied either lyophilized or as a 0.2 µm filtered solution in PBS.

Shipping

Lyophilized product is shipped at ambient temperature. Liquid small pack size (-SP) is shipped with polar packs. Upon receipt, store immediately at the temperature recommended below.

Stability & Storage

Use a manual defrost freezer and avoid repeated freeze-thaw cycles.
  • 12 months from date of receipt, -20 to -70 °C as supplied.
  • 1 month, 2 to 8 °C under sterile conditions after reconstitution.
  • 6 months, -20 to -70 °C under sterile conditions after reconstitution.

Background: Semaphorin 4D/CD100

Semaphorin 4D (Sema4D/CD100, previously sem J, G or C-like 2) is a widely expressed 150 kDa type I transmembrane glycoprotein of the Class 4 Semaphorin family with activity in the immune and nervous systems. The 861 amino acid (aa) Sema4D contains a 710 aa extracellular domain (ECD) with a sema domain and an immunoglobulin-like domain. Within the ECD region used as an immunogen, mouse Sema4D shares 87% and 93% aa identity with human and rat Sema4D, respectively. A soluble, active 120 kDa form is produced proteolytically upon activation of B and T cells. Sema4D binds Plexin-B1, but also CD72 on B and dendritic cells. In developing neurons, Sema-4D assists in guidance. Sema4D is proangiogenic when expressed by tumor-associated macrophages.

Alternate Names

A8, BB18, CD100, COLL-4, M-sema-G, SEMA4D, SEMAJ

Entrez Gene IDs

10507 (Human); 20354 (Mouse); 306790 (Rat)

Gene Symbol

SEMA4D

UniProt

Additional Semaphorin 4D/CD100 Products

Product Documents for Mouse Semaphorin 4D/CD100 Antibody

Certificate of Analysis

To download a Certificate of Analysis, please enter a lot number in the search box below.

Note: Certificate of Analysis not available for kit components.

Product Specific Notices for Mouse Semaphorin 4D/CD100 Antibody

For research use only

Loading...
Loading...
Loading...
Loading...
Loading...