Skip to main content

Key Product Details

Species Reactivity

Validated:

Mouse

Cited:

Human, Mouse

Applications

Validated:

Immunohistochemistry, Western Blot

Cited:

Immunohistochemistry, Immunohistochemistry-Paraffin, Western Blot, Immunocytochemistry, Immunoprecipitation

Label

Unconjugated

Antibody Source

Polyclonal Goat IgG

Product Specifications

Immunogen

Mouse myeloma cell line NS0-derived recombinant mouse Lumican
Gln19-Asn338, predicted
Accession # P51885

Specificity

Detects mouse Lumican in direct ELISAs and Western blots.

Clonality

Polyclonal

Host

Goat

Isotype

IgG

Scientific Data Images for Mouse Lumican Antibody

Lumican antibody in Mouse Intestine by Immunohistochemistry (IHC-Fr).

Lumican in Mouse Intestine.

Lumican was detected in perfusion fixed frozen sections of mouse intestine using Goat Anti-Mouse Lumican Antigen Affinity-purified Polyclonal Antibody (Catalog # AF2745) at 15 µg/mL overnight at 4 °C. Tissue was stained using the Anti-Goat HRP-DAB Cell & Tissue Staining Kit (brown; CTS008) and counterstained with hematoxylin (blue). Lower panel shows a lack of labeling if primary antibodies are omitted and tissue is stained only with secondary antibody followed by incubation with detection reagents. View our protocol for Chromogenic IHC Staining of Frozen Tissue Sections.
Detection of Mouse Lumican by Immunohistochemistry

Detection of Mouse Lumican by Immunohistochemistry

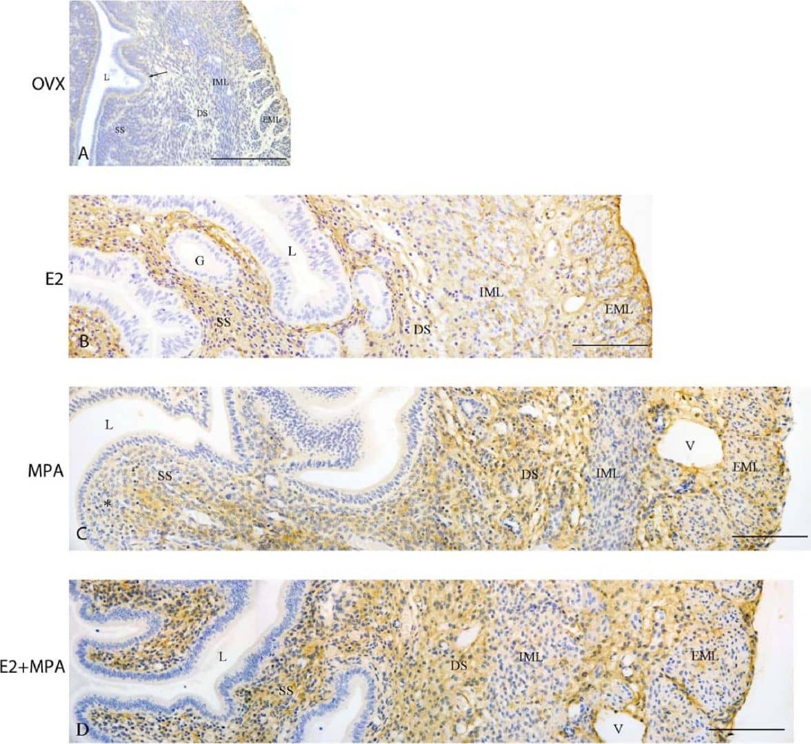
Immunoperoxidase for lumican. (A) Ovx group: A weak immunoreaction is observed in the endometrial stroma, especially under the luminal epithelium (arrow) and in the deep stroma, as well as in the EML and connective tissue between muscle layers of the myometrium; (B) E2-group: the reaction is present in the whole endometrial stroma and in both layers of the myometrium; (C) MPA-group: the reaction is present in the whole stroma, however it is weak in the subepithelial stroma (asterisk). In the myometrium, deposition of lumican is observed in the EML and connective tissue between layers; (D) E2+MPA-group: the immunoreaction is strong in the whole endometrial stroma. In the myometrium, a weak staining is observed in both IML and EML, being strong in the connective tissue between them. L = uterine lumen; G = endometrial gland; SS = superficial stroma; DS = deep stroma; V = blood vessel; IML = internal muscle layer; EML = external muscle layer. Scale bar: 50 μm. Image collected and cropped by CiteAb from the following publication (https://rbej.biomedcentral.com/articles/10.1186/1477-7827-9-22), licensed under a CC-BY license. Not internally tested by R&D Systems.
Detection of Mouse Lumican by Immunohistochemistry.

Detection of Mouse Lumican by Immunohistochemistry.

Adult mouse pancreas stained with CD324 (green) and Lumican (red). Image from a verified customer review

Applications for Mouse Lumican Antibody

Application
Recommended Usage

Immunohistochemistry

5-15 µg/mL
Sample: Perfusion fixed frozen sections of mouse intestine, liver, lung, thymus, and spleen

Western Blot

0.1 µg/mL
Sample: Recombinant Mouse Lumican (Catalog # 2745-LU)

Reviewed Applications

Read 1 review rated 5 using AF2745 in the following applications:

Formulation, Preparation, and Storage

Purification

Antigen Affinity-purified

Reconstitution

Reconstitute at 0.2 mg/mL in sterile PBS. For liquid material, refer to CoA for concentration.

Reconstitution Buffer Available:
Size / Price
Qty
Loading...

Formulation

Lyophilized from a 0.2 μm filtered solution in PBS with Trehalose. *Small pack size (SP) is supplied either lyophilized or as a 0.2 µm filtered solution in PBS.

Shipping

Lyophilized product is shipped at ambient temperature. Liquid small pack size (-SP) is shipped with polar packs. Upon receipt, store immediately at the temperature recommended below.

Stability & Storage

Use a manual defrost freezer and avoid repeated freeze-thaw cycles.
  • 12 months from date of receipt, -20 to -70 °C as supplied.
  • 1 month, 2 to 8 °C under sterile conditions after reconstitution.
  • 6 months, -20 to -70 °C under sterile conditions after reconstitution.

Background: Lumican

Lumican is a 40 kDa member of the family of small leucine-rich repeat proteoglycans (SLRPs) and the class II subfamily (1). Mouse Lumican is synthesized as a 338 amino acid (aa) precursor that contains an 18 aa signal sequence and a 320 aa mature chain (SwissProt #: 51885). The mature chain contains a negatively charged N‑terminal domain containing sulfated tyrosine and disulfide bonds, 12 leucine-rich repeats (LRRs), four potential sites of N-linked glycosylation, and a carboxyl terminal domain containing two conserved cysteines (1). Mature mouse Lumican is 98%, 88%, and 70% aa identical to mature rat, human, and chick Lumican, respectively. SLRPs constitute an important fraction of noncollagenous extracellular matrix proteins (ECM) proteins (1-2). Lumican is expressed in a variety of tissues, including skin, artery, lung, cornea, kidney, bone, aorta, and articular cartilage (1). Lumican’s role in vivo has been found using Lumican null mice. These mice have functional deficits including corneal opacity as well as skin and tendon fragility associated with disorganized and loosely packed collagen fibers (1, 3-6). The abnormal connective tissue phenotype seen in the Lumican null mice shows the importance of the role of Lumican in collagen fibrillogenesis (1). In addition to the control of collagen fibril assembly, Lumican has been shown to play a role in the regulation of cell proliferation (7-8), migration (8-9), and adhesion (9). Lumican’s overexpression has been reported in carcinoid tumor, breast, colorectal, neuroendocrine, uterine cervical, and pancreatic cancers (10).

References

  1. Nikitovic, D. et al. (2008) IUBMB Life 60:818.
  2. Blochberger, T.C. et al. (1992) J. Biol. Chem. 267:347.
  3. Chakravarti, S. et al. (1998) J. Cell Biol. 141:1277.
  4. Chakravarti, S. et al. (2000) Invest. Ophthalmol. Vis. Sci. 41:3365.
  5. Jepsen, K.J. et al. (2002) J. Biol. Chem. 277:35532.
  6. Chakravarti, S. et al. (2003) Invest. Ophthalmol. Vis. Sci. 44:2422.
  7. Vuillermoz, B. et al. (2004) Exp. Cell Res. 296:294
  8. Nikitovic, D. et al. (2008) FEBS J. 275:350.
  9. D’Onofrio, M.F. et al. (2008) Biochem. Biophys. Res. Commun. 365:266.
  10. Ishiwata, T. et al. (2007) Oncol. Rep. 18:537.

Alternate Names

LDC, LUM, SLRR2D

Entrez Gene IDs

4060 (Human); 17022 (Mouse)

Gene Symbol

LUM

UniProt

Additional Lumican Products

Product Documents for Mouse Lumican Antibody

Certificate of Analysis

To download a Certificate of Analysis, please enter a lot number in the search box below.

Note: Certificate of Analysis not available for kit components.

Product Specific Notices for Mouse Lumican Antibody

For research use only

Loading...
Loading...
Loading...
Loading...