Skip to main content

MORF4 Antibody - BSA Free

Novus Biologicals, part of Bio-Techne | Catalog # NBP1-76809

Novus Biologicals, part of Bio-Techne

Key Product Details

Species Reactivity

Human, Mouse, Rat

Applications

Immunohistochemistry, Immunohistochemistry-Paraffin, Western Blot, ELISA, Immunocytochemistry/ Immunofluorescence

Label

Unconjugated

Antibody Source

Polyclonal Rabbit IgG

Format

BSA Free

Concentration

1 mg/ml

Product Specifications

Immunogen

Antibody was raised against a 18 amino acid synthetic peptide from near the amino terminus of human MORF4. The immunogen is located within amino acids 20 - 70 of MORF4. Amino Acid Squence: GSTSETPQPPRKKRAQVD

Clonality

Polyclonal

Host

Rabbit

Isotype

IgG

Description

Novus Biologicals Rabbit MORF4 Antibody - BSA Free (NBP1-76809) is a polyclonal antibody validated for use in IHC, WB, ELISA and ICC/IF. All Novus Biologicals antibodies are covered by our 100% guarantee.

Scientific Data Images for MORF4 Antibody - BSA Free

Western Blot: MORF4 AntibodyBSA Free [NBP1-76809]

Western Blot: MORF4 AntibodyBSA Free [NBP1-76809]

Western Blot: MORF4 Antibody [NBP1-76809] - K562 cell lysate with MORF4 antibody at (A) 1 and (B) 2 ug/mL.
MORF4 Antibody - BSA Free

Immunocytochemistry/ Immunofluorescence: MORF4 Antibody - BSA Free [NBP1-76809] -

Immunocytochemistry/ Immunofluorescence: MORF4 Antibody - BSA Free [NBP1-76809] - Immunofluorescence of MORF4 in HepG2 cells with MORF4 antibody at 20 ug/mL.
MORF4 Antibody - BSA Free

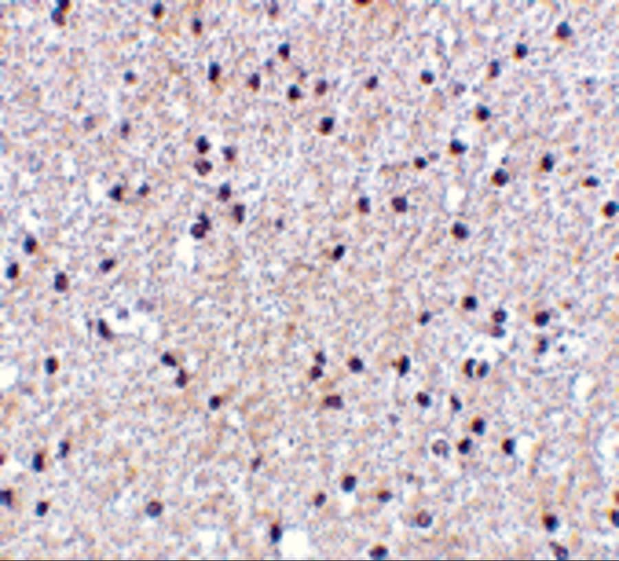
Immunohistochemistry: MORF4 Antibody - BSA Free [NBP1-76809] -

Immunohistochemistry: MORF4 Antibody - BSA Free [NBP1-76809] - Immunohistochemistry of MORF4 in human brain tissue with MORF4 antibody at 5 ug/mL.

Applications for MORF4 Antibody - BSA Free

Application
Recommended Usage

ELISA

1:100-1:2000

Immunocytochemistry/ Immunofluorescence

20 ug/ml

Immunohistochemistry

5 ug/ml

Immunohistochemistry-Paraffin

5 ug/ml

Western Blot

1-2 ug/ml

Formulation, Preparation, and Storage

Purification

Peptide affinity purified

Formulation

PBS

Format

BSA Free

Preservative

0.02% Sodium Azide

Concentration

1 mg/ml

Shipping

The product is shipped with polar packs. Upon receipt, store it immediately at the temperature recommended below.

Stability & Storage

Store at 4C short term. Aliquot and store at -20C long term. Avoid freeze-thaw cycles.

Background: MORF4

Cellular senescence is the terminal non-dividing state that normal cells enter following completion of their proliferative potential. Fusions of immortal human cell lines with each other have led to their assignment to one of four complementation groups. Mortality factor 4 (MORF4) was identified as the lead member of a family of transcription factor-like proteins that reverses this immortal phenotype. Like other members in this family, MORF4 is localized to the nucleus and possesses transcription factor-like motifs such as helix-loop-helix and a leucine zipper motif that might allow it to form transcriptionally active homo- or heterodimers. MORF4 has been shown to bind to the transcription corepressors mSin3A and TLE, suggesting that together, these complexes may play a role in transcriptional repression of genes that lead to cellular senescence.

Alternate Names

CSR, CSRB, mortality factor 4, SEN, SEN1, senescence (cellular)-related 1, senescence-related, cellular, 1

Gene Symbol

MORF4

Additional MORF4 Products

Product Documents for MORF4 Antibody - BSA Free

Certificate of Analysis

To download a Certificate of Analysis, please enter a lot number in the search box below.

Product Specific Notices for MORF4 Antibody - BSA Free

This product is for research use only and is not approved for use in humans or in clinical diagnosis. Primary Antibodies are guaranteed for 1 year from date of receipt.

Loading...
Loading...
Loading...
Loading...