Skip to main content

MORF4 Antibody (OTI5F2)

Novus Biologicals, part of Bio-Techne | Catalog # NBP2-45818

Novus Biologicals, part of Bio-Techne
Catalog #
Availability
Size / Price
Qty
Loading...
NBP2-45818

Key Product Details

Species Reactivity

Human, Mouse, Rat, Canine, Monkey

Applications

Immunohistochemistry, Immunohistochemistry-Paraffin, Western Blot

Label

Unconjugated

Antibody Source

Monoclonal Mouse IgG1 Clone # OTI5F2

Concentration

1 mg/ml

Product Specifications

Immunogen

Human recombinant protein fragment corresponding to amino acids 1-255 of human MORF4 (NP_006783) produced in E.coli.

Reactivity Notes

Please note that this antibody is reactive to Mouse and derived from the same host, Mouse. Mouse-On-Mouse blocking reagent may be needed for IHC and ICC experiments to reduce high background signal. You can find these reagents under catalog numbers PK-2200-NB and MP-2400-NB. Please contact Technical Support if you have any questions.

Clonality

Monoclonal

Host

Mouse

Isotype

IgG1

Theoretical MW

26.6 kDa.
Disclaimer note: The observed molecular weight of the protein may vary from the listed predicted molecular weight due to post translational modifications, post translation cleavages, relative charges, and other experimental factors.

Description

Novus Biologicals Mouse MORF4 Antibody (OTI5F2) (NBP2-45818) is a monoclonal antibody validated for use in IHC and WB. All Novus Biologicals antibodies are covered by our 100% guarantee.

Scientific Data Images for MORF4 Antibody (OTI5F2)

Western Blot: MORF4 Antibody (OTI5F2) [NBP2-45818]

Western Blot: MORF4 Antibody (OTI5F2) [NBP2-45818]

Western Blot: MORF4 Antibody (5F2) [NBP2-45818] - Analysis of HEK293T cells were transfected with the pCMV6-ENTRY control (Left lane) or pCMV6-ENTRY MORF4.
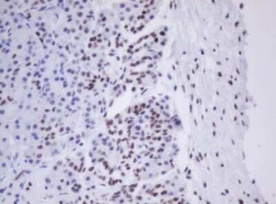
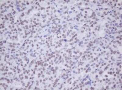
Immunohistochemistry: MORF4 Antibody (OTI5F2) [NBP2-45818]

Immunohistochemistry: MORF4 Antibody (OTI5F2) [NBP2-45818]

Immunohistochemistry: MORF4 Antibody (5F2) [NBP2-45818] - Analysis of Adenocarcinoma of Human ovary tissue.
Western Blot: MORF4 Antibody (OTI5F2) [NBP2-45818]

Western Blot: MORF4 Antibody (OTI5F2) [NBP2-45818]

Western Blot: MORF4 Antibody (5F2) [NBP2-45818] - Analysis of extracts (35ug) from 9 different cell lines (HepG2: human; HeLa: human; SVT2: mouse; A549: human; COS7: monkey; Jurkat: human; MDCK: canine; PC12: rat; MCF7: human).

Applications for MORF4 Antibody (OTI5F2)

Application
Recommended Usage

Immunohistochemistry

1:150

Western Blot

1:2000

Formulation, Preparation, and Storage

Purification

Immunogen affinity purified

Formulation

PBS (pH 7.3), 1.0% BSA and 50% Glycerol

Preservative

0.02% Sodium Azide

Concentration

1 mg/ml

Shipping

The product is shipped with polar packs. Upon receipt, store it immediately at the temperature recommended below.

Stability & Storage

Store at -20C. Avoid freeze-thaw cycles.

Background: MORF4

Cellular senescence, the terminal nondividing state that normal cells enter following completion of their proliferative potential, is the dominant phenotype in hybrids of normal and immortal cells. Fusions of immortal human cell lines with each other have led to their assignment to 1 of several complementation groups. MORF4 is a gene on chromosome 4 that induces a senescent-like phenotype in cell lines assigned to complementation group B.[supplied by OMIM]

Alternate Names

CSR, CSRB, mortality factor 4, SEN, SEN1, senescence (cellular)-related 1, senescence-related, cellular, 1

Gene Symbol

MORF4

Additional MORF4 Products

Product Documents for MORF4 Antibody (OTI5F2)

Certificate of Analysis

To download a Certificate of Analysis, please enter a lot number in the search box below.

Product Specific Notices for MORF4 Antibody (OTI5F2)

This product is for research use only and is not approved for use in humans or in clinical diagnosis. Primary Antibodies are guaranteed for 1 year from date of receipt.

Loading...
Loading...
Loading...
Loading...