Skip to main content

MORC1 Antibody - BSA Free

Novus Biologicals, part of Bio-Techne | Catalog # NBP1-84351

Novus Biologicals, part of Bio-Techne
Catalog #
Availability
Size / Price
Qty
Loading...
NBP1-84351
NBP1-84351-25ul

Key Product Details

Validated by

Orthogonal Validation

Species Reactivity

Human

Applications

Immunohistochemistry, Immunohistochemistry-Paraffin

Label

Unconjugated

Antibody Source

Polyclonal Rabbit IgG

Format

BSA Free

Concentration

Concentrations vary lot to lot. See vial label for concentration. If unlisted please contact technical services.

Product Specifications

Immunogen

This antibody was developed against Recombinant Protein corresponding to amino acids: LSSFELSASRRGQKRNIEETDSDVEYISETKIMKKSMEEKMNSQQQRIPVALPENVKLAERSQRSQIANITTVWRAQPTEGCLKNAQAASWEMKRKQ

Clonality

Polyclonal

Host

Rabbit

Isotype

IgG

Description

Novus Biologicals Rabbit MORC1 Antibody - BSA Free (NBP1-84351) is a polyclonal antibody validated for use in IHC. All Novus Biologicals antibodies are covered by our 100% guarantee.

Scientific Data Images for MORC1 Antibody - BSA Free

Immunohistochemistry-Paraffin: MORC1 Antibody [NBP1-84351]

Immunohistochemistry-Paraffin: MORC1 Antibody [NBP1-84351]

Immunohistochemistry-Paraffin: MORC1 Antibody [NBP1-84351] - Staining of human testis shows moderate nuclear positivity in cells in seminiferous ducts.
MORC1 Antibody - BSA Free Immunohistochemistry-Paraffin: MORC1 Antibody - BSA Free [NBP1-84351]

Immunohistochemistry-Paraffin: MORC1 Antibody - BSA Free [NBP1-84351]

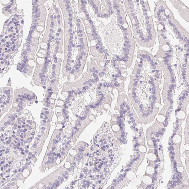
Staining of human duodenum shows no positivity in glandular cells as expected.
MORC1 Antibody - BSA Free Immunohistochemistry-Paraffin: MORC1 Antibody - BSA Free [NBP1-84351]

Immunohistochemistry-Paraffin: MORC1 Antibody - BSA Free [NBP1-84351]

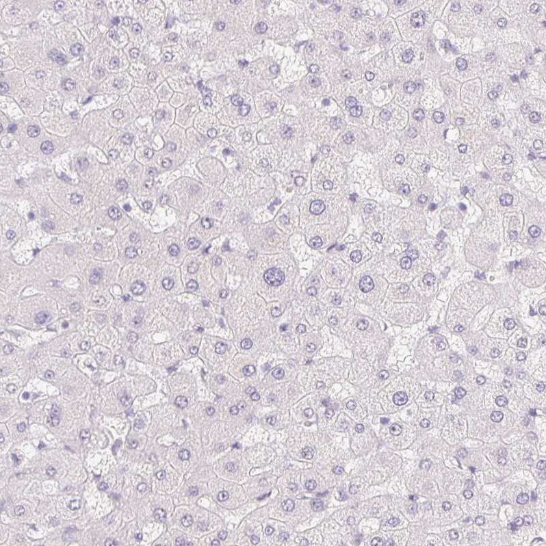
Analysis in human testis and liver tissues using HPA036413 antibody. Corresponding MORC1 RNA-seq data are presented for the same tissues.

Applications for MORC1 Antibody - BSA Free

Application
Recommended Usage

Immunohistochemistry

1:2500 - 1:5000

Immunohistochemistry-Paraffin

1:2500 - 1:5000
Application Notes
For IHC-Paraffin, HIER pH 6 retrieval is recommended.

Formulation, Preparation, and Storage

Purification

Affinity purified

Formulation

PBS (pH 7.2) and 40% Glycerol

Format

BSA Free

Preservative

0.02% Sodium Azide

Concentration

Concentrations vary lot to lot. See vial label for concentration. If unlisted please contact technical services.

Shipping

The product is shipped with polar packs. Upon receipt, store it immediately at the temperature recommended below.

Stability & Storage

Store at 4C short term. Aliquot and store at -20C long term. Avoid freeze-thaw cycles.

Background: MORC1

MORC1, also known as MORC family CW-type zinc finger protein 1, is a 984 amino acid protein that is 113 kDa, nucleus located, has a role in early spermatogenesis. This protein is being studied for its involvement in infertility. The protein has been linked to the multicellular organismal development, spermatogenesis and cell differentiation processes.

Alternate Names

CT33microrchidia homolog (mouse), microrchidia (mouse) homolog, MORC, MORC family CW-type zinc finger 1, MORC family CW-type zinc finger protein 1, mouse, homolog of, ZCW6

Gene Symbol

MORC1

Additional MORC1 Products

Product Documents for MORC1 Antibody - BSA Free

Certificate of Analysis

To download a Certificate of Analysis, please enter a lot number in the search box below.

Product Specific Notices for MORC1 Antibody - BSA Free

This product is for research use only and is not approved for use in humans or in clinical diagnosis. Primary Antibodies are guaranteed for 1 year from date of receipt.

Loading...
Loading...
Loading...
Loading...