Skip to main content

Monoglyceride Lipase Antibody (HL1938) - Azide and BSA Free

Novus Biologicals, part of Bio-Techne | Catalog # NBP3-25448

Recombinant Monoclonal Antibody
Novus Biologicals, part of Bio-Techne
Catalog #
Availability
Size / Price
Qty
Loading...
NBP3-25448

Key Product Details

Validated by

Orthogonal Validation

Species Reactivity

Validated:

Human, Mouse

Predicted:

Bovine (90%), Porcine (91%). Backed by our 100% Guarantee.

Applications

Immunohistochemistry, Immunohistochemistry-Paraffin, Western Blot

Label

Unconjugated

Antibody Source

Recombinant Monoclonal Rabbit IgG Clone # HL1938 expressed in HEK293

Format

Azide and BSA Free

Concentration

Concentrations vary lot to lot. See vial label for concentration. If unlisted please contact technical services.

Product Specifications

Immunogen

Recombinant fragment of human Monoglyceride Lipase.

Reactivity Notes

Immunogen displays the following percentage of sequence identity for non-tested species: Rat (84%).

Clonality

Monoclonal

Host

Rabbit

Isotype

IgG

Description

Novus Biologicals Rabbit Monoglyceride Lipase Antibody (HL1938) - Azide and BSA Free (NBP3-25448) is a recombinant monoclonal antibody validated for use in IHC and WB. All Novus Biologicals antibodies are covered by our 100% guarantee.

Scientific Data Images for Monoglyceride Lipase Antibody (HL1938) - Azide and BSA Free

Monoglyceride Lipase Antibody (HL1938) - Azide and BSA Free

Western Blot: Monoglyceride Lipase Antibody (HL1938) - Azide and BSA Free [NBP3-25448] -

Western Blot: Monoglyceride Lipase Antibody (HL1938) - Azide and BSA Free [NBP3-25448] - Various whole cell extracts (30 ug) were separated by 10% SDS-PAGE, and the membrane was blotted with Monoglyceride lipase antibody [HL1938] (NBP3-25448) diluted at 1:1000. The HRP-conjugated anti-rabbit IgG antibody was used to detect the primary antibody. Corresponding RNA expression data for the same cell lines are based on Human Protein Atlas program.
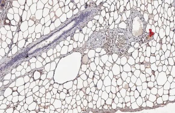
Monoglyceride Lipase Antibody (HL1938) - Azide and BSA Free

Immunohistochemistry-Paraffin: Monoglyceride Lipase Antibody (HL1938) - Azide and BSA Free [NBP3-25448] -

Immunohistochemistry-Paraffin: Monoglyceride Lipase Antibody (HL1938) - Azide and BSA Free [NBP3-25448] - Monoglyceride lipase antibody [HL1938] detects Monoglyceride lipase protein at cell membrane and cytoplasm by immunohistochemical analysis. Sample: Paraffin-embedded mouse white adipocyte. Monoglyceride lipase stained by Monoglyceride lipase antibody [HL1938] (NBP3-25448) diluted at 1:100. Antigen Retrieval: Citrate buffer, pH 6.0, 15 min

Applications for Monoglyceride Lipase Antibody (HL1938) - Azide and BSA Free

Application
Recommended Usage

Western Blot

1:500-1:3000

Formulation, Preparation, and Storage

Purification

Protein A purified

Formulation

PBS

Format

Azide and BSA Free

Preservative

No Preservative

Concentration

Concentrations vary lot to lot. See vial label for concentration. If unlisted please contact technical services.

Shipping

The product is shipped with polar packs. Upon receipt, store it immediately at the temperature recommended below.

Stability & Storage

Store at 4C short term. Aliquot and store at -20C long term. Avoid freeze-thaw cycles.

Background: Monoglyceride Lipase

Monoglyceride lipase (MGLL; EC 3.1.1.23) functions together with hormone-sensitive lipase (LIPE; MIM 151750) to hydrolyze intracellular triglyceride stores in adipocytes and other cells to fatty acids and glycerol. MGLL may also complement lipoprotein lipase (LPL; MIM 238600) in completing hydrolysis of monoglycerides resulting from degradation of lipoprotein triglycerides (Karlsson et al., 2001 [PubMed 11470505]).[supplied by OMIM]

Alternate Names

HUK5, MAGL, MGLL

Gene Symbol

MGLL

Additional Monoglyceride Lipase Products

Product Documents for Monoglyceride Lipase Antibody (HL1938) - Azide and BSA Free

Certificate of Analysis

To download a Certificate of Analysis, please enter a lot number in the search box below.

Product Specific Notices for Monoglyceride Lipase Antibody (HL1938) - Azide and BSA Free

This product is for research use only and is not approved for use in humans or in clinical diagnosis. Primary Antibodies are guaranteed for 1 year from date of receipt.

Loading...
Loading...
Loading...
Loading...