Skip to main content

Monoamine Oxidase B Antibody (9B6) - BSA Free

Novus Biologicals, part of Bio-Techne | Catalog # NBP3-26155

Recombinant Monoclonal Antibody
Novus Biologicals, part of Bio-Techne
Catalog #
Availability
Size / Price
Qty
Loading...
NBP3-26155-100ul
NBP3-26155-50ul

Key Product Details

Species Reactivity

Human

Applications

Immunohistochemistry, Western Blot, ELISA

Label

Unconjugated

Antibody Source

Recombinant Monoclonal Rabbit IgG Clone # 9B6 expressed in HEK293

Format

BSA Free

Concentration

Please see the vial label for concentration. If unlisted please contact technical services.

Product Specifications

Immunogen

A synthesized peptide derived from Human Monoamine Oxidase B [UniProt P27338]

Clonality

Monoclonal

Host

Rabbit

Isotype

IgG

Description

Novus Biologicals Rabbit Monoamine Oxidase B Antibody (9B6) - BSA Free (NBP3-26155) is a recombinant monoclonal antibody validated for use in IHC, WB and ELISA. All Novus Biologicals antibodies are covered by our 100% guarantee.

Scientific Data Images for Monoamine Oxidase B Antibody (9B6) - BSA Free

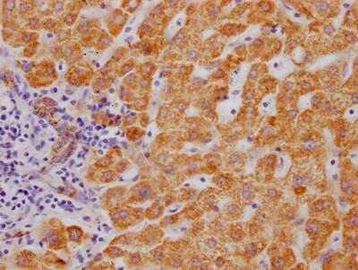
Monoamine Oxidase B Antibody (9B6)

Immunohistochemistry: Monoamine Oxidase B Antibody (9B6) [NBP3-26155] -

Immunohistochemistry: Monoamine Oxidase B Antibody (9B6) [NBP3-26155] - Image of Monoamine Oxidase B Antibody (9B6) diluted at 1:100 and staining in paraffin-embedded human liver tissue performed. After dewaxing and hydration, antigen retrieval was mediated by high pressure in a citrate buffer (pH 6.0). Section was blocked with 10% normal goat serum 30min at RT. Then primary antibody (1% BSA) was incubated at 4C overnight. The primary is detected by a Goat anti-rabbit IgG polymer labeled by HRP and visualized using 0.05% DAB.
Monoamine Oxidase B Antibody (9B6)

Immunohistochemistry: Monoamine Oxidase B Antibody (9B6) [NBP3-26155] -

Immunohistochemistry: Monoamine Oxidase B Antibody (9B6) [NBP3-26155] - Image of Monoamine Oxidase B Antibody (9B6) diluted at 1:100 and staining in paraffin-embedded human liver tissue performed. After dewaxing and hydration, antigen retrieval was mediated by high pressure in a citrate buffer (pH 6.0). Section was blocked with 10% normal goat serum 30min at RT. Then primary antibody (1% BSA) was incubated at 4C overnight. The primary is detected by a Goat anti-rabbit IgG polymer labeled by HRP and visualized using 0.05% DAB.
Monoamine Oxidase B Antibody (9B6)

Western Blot: Monoamine Oxidase B Antibody (9B6) [NBP3-26155] -

Western Blot: Monoamine Oxidase B Antibody (9B6) [NBP3-26155] - Positive Western Blot detected in: L02 whole cell lysate, HepG2 whole cell lysate.
All lanes: Monoamine Oxidase B Antibody at 1: 1000
Secondary: Goat polyclonal to rabbit IgG at 1/50000 dilution.
Predicted band size: 59, 47 kDa
Observed band size: 59 kDa

Applications for Monoamine Oxidase B Antibody (9B6) - BSA Free

Application
Recommended Usage

Immunohistochemistry

1:50-1:200

Western Blot

1:500-1:5000

Formulation, Preparation, and Storage

Purification

Affinity purified

Formulation

PBS, pH 7.4, 150mM NaCl, and 50% glycerol

Format

BSA Free

Preservative

0.02% Sodium Azide

Concentration

Please see the vial label for concentration. If unlisted please contact technical services.

Shipping

The product is shipped with polar packs. Upon receipt, store it immediately at the temperature recommended below.

Stability & Storage

Store at -20 to -70C. Avoid freeze-thaw cycles.

Background: Monoamine Oxidase B

Monoamine Oxidase B is encoded by this gene belongs to the flavin monoamine oxidase family. It is a enzyme located in the mitochondrial outer membrane. It catalyzes the oxidative deamination of biogenic and xenobiotic amines and plays an important role in the metabolism of neuroactive and vasoactive amines in the central nervous sysytem and peripheral tissues. This protein preferentially degrades benzylamine and phenylethylamine.

Long Name

Amine oxidase [flavin-containing] B

Alternate Names

EC 1.4.3.21, EC 1.4.3.4, MAO-B, MAOB

Gene Symbol

MAOB

Additional Monoamine Oxidase B Products

Product Documents for Monoamine Oxidase B Antibody (9B6) - BSA Free

Certificate of Analysis

To download a Certificate of Analysis, please enter a lot number in the search box below.

Product Specific Notices for Monoamine Oxidase B Antibody (9B6) - BSA Free

This product is for research use only and is not approved for use in humans or in clinical diagnosis. Primary Antibodies are guaranteed for 1 year from date of receipt.

Loading...
Loading...
Loading...
Loading...