Skip to main content

MOCS1 Antibody - BSA Free

Novus Biologicals, part of Bio-Techne | Catalog # NBP1-92130

Novus Biologicals, part of Bio-Techne
Catalog #
Availability
Size / Price
Qty
Loading...
NBP1-92130
NBP1-92130-25ul

Key Product Details

Species Reactivity

Validated:

Human

Predicted:

Mouse (98%), Rat (98%). Backed by our 100% Guarantee.

Applications

Immunohistochemistry, Immunohistochemistry-Paraffin, Immunocytochemistry/ Immunofluorescence

Label

Unconjugated

Antibody Source

Polyclonal Rabbit IgG

Format

BSA Free

Concentration

Concentrations vary lot to lot. See vial label for concentration. If unlisted please contact technical services.

Product Specifications

Immunogen

This antibody was developed against Recombinant Protein corresponding to amino acids: LVPAKFEFIVRRKGFHKVMEGIHKAIELGYNPVKVNCVVMRGLNEDELLDFAALTEGLPLDVRFIEYMPFDGNKWNFKKMVSYK

Clonality

Polyclonal

Host

Rabbit

Isotype

IgG

Scientific Data Images for MOCS1 Antibody - BSA Free

Immunohistochemistry-Paraffin: MOCS1 Antibody [NBP1-92130]

Immunohistochemistry-Paraffin: MOCS1 Antibody [NBP1-92130]

Immunohistochemistry-Paraffin: MOCS1 Antibody [NBP1-92130] - Staining of human smooth muscle shows cytoplasmic positivity in smooth muscle cells.
MOCS1 Antibody - BSA Free Immunohistochemistry: MOCS1 Antibody - BSA Free [NBP1-92130]

Immunohistochemistry: MOCS1 Antibody - BSA Free [NBP1-92130]

Staining of human cerebral cortex shows moderate cytoplasmic positivity in neurons.
MOCS1 Antibody - BSA Free Immunohistochemistry: MOCS1 Antibody - BSA Free [NBP1-92130]

Immunohistochemistry: MOCS1 Antibody - BSA Free [NBP1-92130]

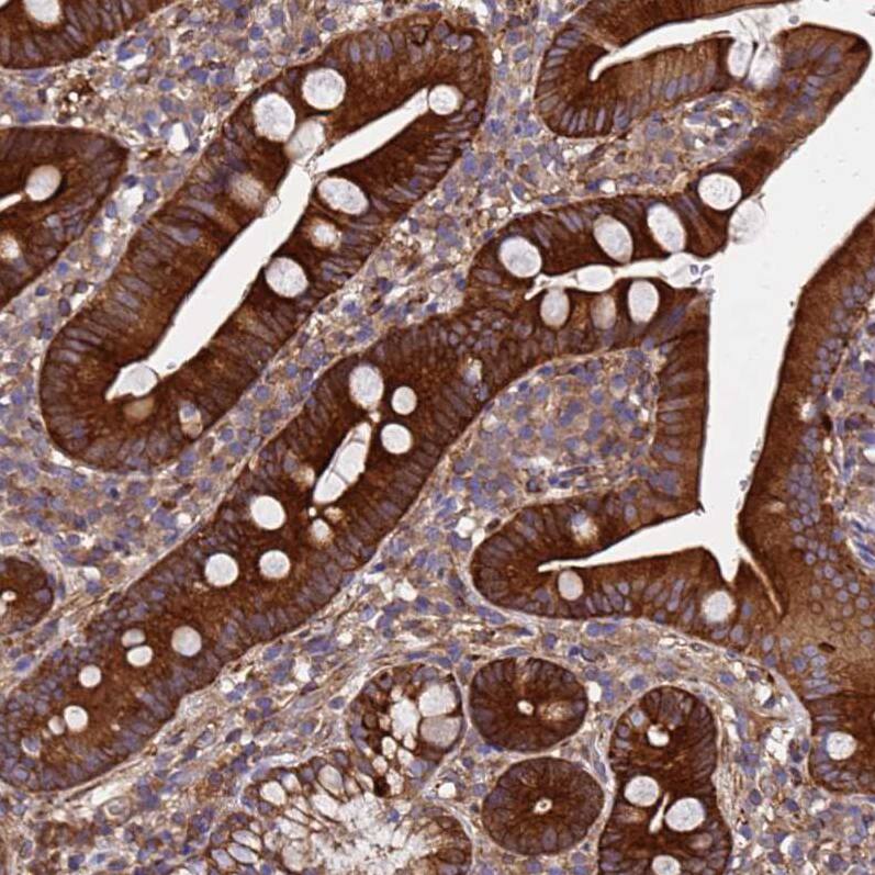
Staining of human duodenum shows strong cytoplasmic positivity in glandular cells.

Applications for MOCS1 Antibody - BSA Free

Application
Recommended Usage

Immunocytochemistry/ Immunofluorescence

0.25-2 ug/ml

Immunohistochemistry

1:50 - 1:200

Immunohistochemistry-Paraffin

1:50 - 1:200
Application Notes
For IHC-Paraffin, HIER pH 6 retrieval is recommended. ICC/IF,Fixation Permeabilization: Use PFA/Triton X-100.

Formulation, Preparation, and Storage

Purification

Affinity purified

Formulation

PBS (pH 7.2) and 40% Glycerol

Format

BSA Free

Preservative

0.02% Sodium Azide

Concentration

Concentrations vary lot to lot. See vial label for concentration. If unlisted please contact technical services.

Shipping

The product is shipped with polar packs. Upon receipt, store it immediately at the temperature recommended below.

Stability & Storage

Store at 4C short term. Aliquot and store at -20C long term. Avoid freeze-thaw cycles.

Background: MOCS1

Molybdenum cofactor biosynthesis is a conserved pathway leading to the biological activation of molybdenum. The protein encoded by this gene is involved in molybdenum cofactor biosynthesis. This gene was originally thought to produce a bicistronic mRNA with the potential to produce two proteins (MOCS1A and MOCS1B) from adjacent open reading frames. However, only the first open reading frame (MOCS1A) has been found to encode a protein from the putative bicistronic mRNA. Two of the splice variants found for this gene express proteins (MOCS1A-MOCS1B) that result from a fusion between the two open reading frames. This gene is defective in patients with molybdenum cofactor deficiency, type A. (provided by RefSeq)

Alternate Names

molybdenum cofactor synthesis 1

Gene Symbol

MOCS1

Additional MOCS1 Products

Product Documents for MOCS1 Antibody - BSA Free

Certificate of Analysis

To download a Certificate of Analysis, please enter a lot number in the search box below.

Product Specific Notices for MOCS1 Antibody - BSA Free

This product is for research use only and is not approved for use in humans or in clinical diagnosis. Primary Antibodies are guaranteed for 1 year from date of receipt.

Loading...
Loading...
Loading...
Loading...