Skip to main content

MOCOS Antibody - BSA Free

Novus Biologicals, part of Bio-Techne | Catalog # NBP2-14243

Novus Biologicals, part of Bio-Techne
Catalog #
Availability
Size / Price
Qty
Loading...
NBP2-14243-25ul
NBP2-14243

Key Product Details

Species Reactivity

Validated:

Human, Mouse

Cited:

Human, Mouse

Applications

Validated:

Immunohistochemistry, Immunohistochemistry-Paraffin, Western Blot, Immunocytochemistry/ Immunofluorescence, Simple Western

Cited:

Western Blot, Immunocytochemistry/ Immunofluorescence, IF/IHC

Label

Unconjugated

Antibody Source

Polyclonal Rabbit IgG

Format

BSA Free

Concentration

Concentrations vary lot to lot. See vial label for concentration. If unlisted please contact technical services.

Product Specifications

Immunogen

This antibody was developed against a recombinant protein corresponding to the amino acids: NQGLLYDRSWMVVNHNGVCLSQKQEPRLCLIQPFIDLRQRIMVIKAKGMEPIEVPLEENSERTQIRQSRVCADRVSTYDCGEKISSWLSTFFGRPCHLIKQSSNSQRNAKKK

Reactivity Notes

Mouse reactivity reported in scientific literature (PMID: 26239292). Immunogen displays the following percentage of sequence identity for non-tested species: Rat (82%)

Clonality

Polyclonal

Host

Rabbit

Isotype

IgG

Scientific Data Images for MOCOS Antibody - BSA Free

Western Blot: MOCOS Antibody [NBP2-14243]

Western Blot: MOCOS Antibody [NBP2-14243]

Western Blot: MOCOS Antibody [NBP2-14243] - Lane 1: Marker [kDa] 250, 130, 95, 72, 55, 36, 28, 17, 10. Lane 2: Human cell line RT-4
Immunocytochemistry/ Immunofluorescence: MOCOS Antibody [NBP2-14243]

Immunocytochemistry/ Immunofluorescence: MOCOS Antibody [NBP2-14243]

Immunocytochemistry/Immunofluorescence: MOCOS Antibody [NBP2-14243] - Staining of human cell line RT4 shows localization to cytosol & mitochondria. Antibody staining is shown in green.
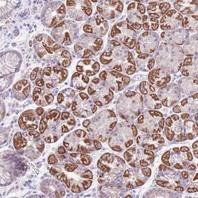
Immunohistochemistry-Paraffin: MOCOS Antibody [NBP2-14243]

Immunohistochemistry-Paraffin: MOCOS Antibody [NBP2-14243]

Immunohistochemistry-Paraffin: MOCOS Antibody [NBP2-14243] - Staining of human stomach, lower shows strong cytoplasmic positivity in gastric parietal cells.

Applications for MOCOS Antibody - BSA Free

Application
Recommended Usage

Immunocytochemistry/ Immunofluorescence

0.25-2 ug/ml

Immunohistochemistry

1:50 - 1:200

Immunohistochemistry-Paraffin

1:50 - 1:200

Simple Western

1:30

Western Blot

0.04-0.4 ug/ml
Application Notes
For IHC-Paraffin, HIER pH 6 retrieval is recommended.

In Simple Western only 10 - 15 uL of the recommended dilution is used per data point.
See Simple Western Antibody Database for Simple Western validation: Tested in RT-4, separated by Size, antibody dilution of 1:30, apparent MW was 105 kDa. Separated by Size-Wes, Sally Sue/Peggy Sue.

Formulation, Preparation, and Storage

Purification

Affinity purified

Formulation

PBS (pH 7.2) and 40% Glycerol

Format

BSA Free

Preservative

0.02% Sodium Azide

Concentration

Concentrations vary lot to lot. See vial label for concentration. If unlisted please contact technical services.

Shipping

The product is shipped with polar packs. Upon receipt, store it immediately at the temperature recommended below.

Stability & Storage

Store at 4C short term. Aliquot and store at -20C long term. Avoid freeze-thaw cycles.

Background: MOCOS

Sulfurates the molybdenum cofactor. Sulfation of molybdenum is essential for xanthine dehydrogenase (XDH) and aldehyde oxidase (ADO) enzymes in which molybdenum cofactor is liganded by 1 oxygen and 1 sulfur atom in active form

Alternate Names

FLJ20733, hMCS, MCSEC 4.4, molybdenum cofactor sulfurase, MOSMoCo sulfurase

Gene Symbol

MOCOS

Additional MOCOS Products

Product Documents for MOCOS Antibody - BSA Free

Certificate of Analysis

To download a Certificate of Analysis, please enter a lot number in the search box below.

Product Specific Notices for MOCOS Antibody - BSA Free

This product is for research use only and is not approved for use in humans or in clinical diagnosis. Primary Antibodies are guaranteed for 1 year from date of receipt.

Loading...
Loading...
Loading...
Loading...