Skip to main content

MOBKL3 Antibody - Azide and BSA Free

Novus Biologicals, part of Bio-Techne | Catalog # NBP3-03372

Novus Biologicals, part of Bio-Techne
Catalog #
Availability
Size / Price
Qty
Loading...
NBP3-03372-100ul
NBP3-03372-20ul

Key Product Details

Species Reactivity

Human, Mouse, Rat

Applications

Immunohistochemistry, Immunohistochemistry-Paraffin, Western Blot

Label

Unconjugated

Antibody Source

Polyclonal Rabbit IgG

Format

Azide and BSA Free

Concentration

Please see the vial label for concentration. If unlisted please contact technical services.

Product Specifications

Immunogen

Recombinant fusion protein containing a sequence corresponding to amino acids 1-225 of human MOBKL3 (NP_056202.2). MVMAEGTAVLRRNRPGTKAQDFYNWPDESFDEMDSTLAVQQYIQQNIRADCSNIDKILEPPEGQDEGVWKYEHLRQFCLELNGLAVKLQSECHPDTCTQMTATEQWIFLCAAHKTPKECPAIDYTRHTLDGAACLLNSNKYFPSRVSIKESSVAKLGSVCRRIYRIFSHAYFHHRQIFDEYENETFLCHRFTKFVMKYNLMSKDNLIVPILEEEVQNSVSGESEA

Clonality

Polyclonal

Host

Rabbit

Isotype

IgG

Description

Novus Biologicals Rabbit MOBKL3 Antibody - Azide and BSA Free (NBP3-03372) is a polyclonal antibody validated for use in IHC and WB. All Novus Biologicals antibodies are covered by our 100% guarantee.

Scientific Data Images for MOBKL3 Antibody - Azide and BSA Free

Western Blot: MOBKL3 AntibodyAzide and BSA Free [NBP3-03372]

Western Blot: MOBKL3 AntibodyAzide and BSA Free [NBP3-03372]

Western Blot: MOBKL3 Antibody [NBP3-03372] - Analysis of extracts of various cell lines, using MOBKL3 antibody at 1:3000 dilution. Secondary antibody: HRP Goat Anti-Rabbit IgG (H+L) at 1:10000 dilution. Lysates/proteins: 25ug per lane. Blocking buffer: 3% nonfat dry milk in TBST. Detection: ECL Basic Kit,
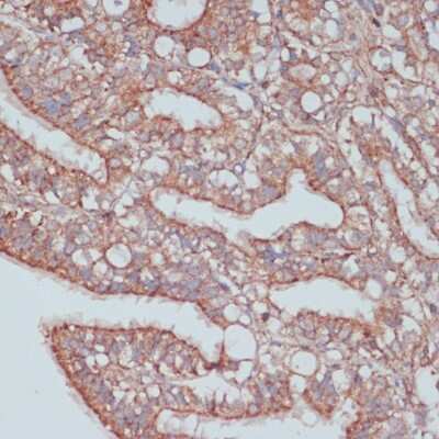
Immunohistochemistry-Paraffin: MOBKL3 Antibody - Azide and BSA Free [NBP3-03372]

Immunohistochemistry-Paraffin: MOBKL3 Antibody - Azide and BSA Free [NBP3-03372]

Immunohistochemistry-Paraffin: MOBKL3 Antibody [NBP3-03372] - Paraffin-embedded rat ovary using MOBKL3 antibody at dilution of 1:100 (40x lens).
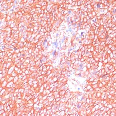
Immunohistochemistry-Paraffin: MOBKL3 Antibody - Azide and BSA Free [NBP3-03372]

Immunohistochemistry-Paraffin: MOBKL3 Antibody - Azide and BSA Free [NBP3-03372]

Immunohistochemistry-Paraffin: MOBKL3 Antibody [NBP3-03372] - Paraffin-embedded human oophoroma using MOBKL3 antibody at dilution of 1:100 (40x lens).

Applications for MOBKL3 Antibody - Azide and BSA Free

Application
Recommended Usage

Immunohistochemistry

1:50-1:100

Western Blot

1:500-1:2000

Formulation, Preparation, and Storage

Purification

Affinity purified

Formulation

PBS (pH 7.3), 50% glycerol

Format

Azide and BSA Free

Preservative

0.01% Thimerosal

Concentration

Please see the vial label for concentration. If unlisted please contact technical services.

Shipping

The product is shipped with polar packs. Upon receipt, store it immediately at the temperature recommended below.

Stability & Storage

Store at -20C. Avoid freeze-thaw cycles.

Background: MOBKL3

MOBKL3 was identified based on its similarity with the mouse counterpart. Studies of the mouse counterpart suggest that the expression of this gene may be regulated during oocyte maturation and preimplantation following zygotic gene activation. Alternatively spliced transcript variants encoding distinct isoforms have been observed. [provided by RefSeq]

Alternate Names

2C4D, CGI-95, Class II mMOB1, MOB1, MOB1, Mps One Binder kinase activator-like 3 (yeast), MOB1DKFZP564M112, Mob3, MOB3MGC12264, MOB4 MOB family member 4, phocein, MOBKL3, phocein, PHOCN, PREI3, PREI3mps one binder kinase activator-like 3, Preimplantation protein 3Mob1 homolog 3,2C4DCGI-95

Gene Symbol

MOB4

Additional MOBKL3 Products

Product Documents for MOBKL3 Antibody - Azide and BSA Free

Certificate of Analysis

To download a Certificate of Analysis, please enter a lot number in the search box below.

Product Specific Notices for MOBKL3 Antibody - Azide and BSA Free

This product is for research use only and is not approved for use in humans or in clinical diagnosis. Primary Antibodies are guaranteed for 1 year from date of receipt.

Loading...
Loading...
Loading...
Loading...

⚠ WARNING: This product can expose you to chemicals including Methotrexate, which is known to the State of California to cause reproductive toxicity with developmental effects. For more information, go to www.P65Warnings.ca.gov