Skip to main content

MNDA Antibody - BSA Free

Novus Biologicals, part of Bio-Techne | Catalog # NBP3-18135

Novus Biologicals, part of Bio-Techne

Key Product Details

Species Reactivity

Validated:

Human

Predicted:

Chimpanzee (100%). Backed by our 100% Guarantee.

Applications

Immunohistochemistry, Immunohistochemistry-Paraffin, Western Blot, ELISA

Label

Unconjugated

Antibody Source

Polyclonal Rabbit IgG

Format

BSA Free

Concentration

1 mg/ml

Product Specifications

Immunogen

Antibody was raised against a peptide corresponding to 15 amino acids near the center of human MNDA. The immunogen is located within 110-160 amino acids of MNDA.

Reactivity Notes

Immunogen displays the following percentage of sequence identity for non-tested species: Monkey (87%)

Clonality

Polyclonal

Host

Rabbit

Isotype

IgG

Description

Novus Biologicals Rabbit MNDA Antibody - BSA Free (NBP3-18135) is a polyclonal antibody validated for use in IHC, WB and ELISA. All Novus Biologicals antibodies are covered by our 100% guarantee.

Scientific Data Images for MNDA Antibody - BSA Free

Western Blot: MNDA AntibodyBSA Free [NBP3-18135]

Western Blot: MNDA AntibodyBSA Free [NBP3-18135]

Western Blot: MNDA Antibody - BSA Free [NBP3-18135] - Western Blot Validation in Human THP-1 Cells. Loading: 15 ug of lysate per lane. Antibodies: MNDA NBP3-18135, 1h incubation at RT in 5% NFDM/TBST. Secondary: Goat anti-rabbit IgG HRP conjugate at 1:10,000 dilution. Lane 1: 1 ug/mL Lane 2: 2 ug/mL
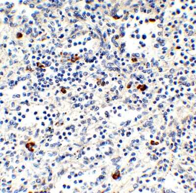
Immunohistochemistry-Paraffin: MNDA Antibody - BSA Free [NBP3-18135]

Immunohistochemistry-Paraffin: MNDA Antibody - BSA Free [NBP3-18135]

Immunohistochemistry-Paraffin: MNDA Antibody - BSA Free [NBP3-18135] - Immunohistochemical analysis of paraffin-embedded human spleen tissue using anti-MNDA antibody (NBP3-18135) at 1 ug/ml. Tissue was fixed with formaldehyde and blocked with 10% serum for 1 h at RT; antigen retrieval was by heat mediation with a citrate buffer (pH6). Samples were incubated with primary antibody overnight at 4C. A goat anti-rabbit IgG H&L (HRP) at 1/250 was used as secondary. Counter stained with Hematoxylin.

Applications for MNDA Antibody - BSA Free

Application
Recommended Usage

Immunohistochemistry

1 ug/ml

Western Blot

1 ug/mL

Formulation, Preparation, and Storage

Purification

Peptide affinity purified

Formulation

PBS

Format

BSA Free

Preservative

0.02% Sodium Azide

Concentration

1 mg/ml

Shipping

The product is shipped with polar packs. Upon receipt, store it immediately at the temperature recommended below.

Stability & Storage

Store at 4C short term. Aliquot and store at -20C long term. Avoid freeze-thaw cycles.

Background: MNDA

The myeloid cell nuclear differentiation antigen (MNDA) is detected only in nuclei of cells of the granulocyte-monocyte lineage. A 200-amino acid region of human MNDA is strikingly similar to a region in the proteins encoded by a family of interferon-inducible mouse genes, designated Ifi-201, Ifi-202, and Ifi-203, that are not regulated in a cell- or tissue-specific fashion. The 1.8-kb MNDA mRNA, which contains an interferon-stimulated response element in the 5-prime untranslated region, was significantly upregulated in human monocytes exposed to interferon alpha. MNDA is located within 2,200 kb of FCER1A, APCS, CRP, and SPTA1. In its pattern of expression and/or regulation, MNDA resembles IFI16, suggesting that these genes participate in blood cell-specific responses to interferons.

Alternate Names

myeloid cell nuclear differentiation antigen, PYHIN3

Gene Symbol

MNDA

Additional MNDA Products

Product Documents for MNDA Antibody - BSA Free

Certificate of Analysis

To download a Certificate of Analysis, please enter a lot number in the search box below.

Product Specific Notices for MNDA Antibody - BSA Free

This product is for research use only and is not approved for use in humans or in clinical diagnosis. Primary Antibodies are guaranteed for 1 year from date of receipt.

Loading...
Loading...
Loading...
Loading...