MMP-11 Antibody - BSA Free
Novus Biologicals, part of Bio-Techne | Catalog # NBP2-49575
Key Product Details
Species Reactivity
Human
Applications
Immunohistochemistry, Immunohistochemistry-Paraffin
Label
Unconjugated
Antibody Source
Polyclonal Rabbit IgG
Format
BSA Free
Concentration
Concentrations vary lot to lot. See vial label for concentration. If unlisted please contact technical services.
Product Specifications
Immunogen
This antibody was developed against a recombinant protein corresponding to amino acids: EFGHVLGLQHTTAAKALMSAFYTFRYPLSLSPDDCRGVQHLYGQPWPTVTSRTPALGPQAGIDTNEIAPLEPDAPPDACEASFDA
Clonality
Polyclonal
Host
Rabbit
Isotype
IgG
Description
Novus Biologicals Rabbit MMP-11 Antibody - BSA Free (NBP2-49575) is a polyclonal antibody validated for use in IHC. All Novus Biologicals antibodies are covered by our 100% guarantee.
Scientific Data Images for MMP-11 Antibody - BSA Free
Immunohistochemistry-Paraffin: MMP-11 Antibody [NBP2-49575] -
Immunohistochemistry-Paraffin: MMP-11 Antibody [NBP2-49575] -Staining of human endometrium shows moderate membranous positivity in a subset of glandular cells.Immunohistochemistry-Paraffin: MMP-11 Antibody [NBP2-49575] -
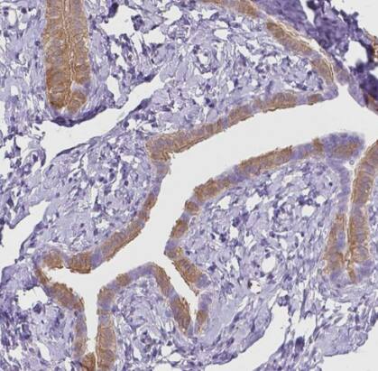
Immunohistochemistry-Paraffin: MMP-11 Antibody [NBP2-49575] -Staining of human fallopian tube shows moderate cytoplasmic positivity in glandular cells.Immunohistochemistry-Paraffin: MMP-11 Antibody [NBP2-49575] -
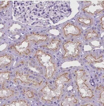
Immunohistochemistry-Paraffin: MMP-11 Antibody [NBP2-49575] - Staining of human kidney shows moderate membranous positivity in cells in tubules.Applications for MMP-11 Antibody - BSA Free
Application
Recommended Usage
Immunohistochemistry
1:50 - 1:200
Immunohistochemistry-Paraffin
1:50 - 1:200
Application Notes
IHC-Paraffin, HIER pH 6 retrieval is recommended.
Formulation, Preparation, and Storage
Purification
Affinity purified
Formulation
PBS (pH 7.2) and 40% Glycerol
Format
BSA Free
Preservative
0.02% Sodium Azide
Concentration
Concentrations vary lot to lot. See vial label for concentration. If unlisted please contact technical services.
Shipping
The product is shipped with polar packs. Upon receipt, store it immediately at the temperature recommended below.
Stability & Storage
Store at 4C short term. Aliquot and store at -20C long term. Avoid freeze-thaw cycles.
Background: MMP-11
Long Name
Matrix Metalloproteinase 11
Alternate Names
MMP11
Gene Symbol
MMP11
Additional MMP-11 Products
Product Documents for MMP-11 Antibody - BSA Free
Product Specific Notices for MMP-11 Antibody - BSA Free
This product is for research use only and is not approved for use in humans or in clinical diagnosis. Primary Antibodies are guaranteed for 1 year from date of receipt.
Loading...
Loading...
Loading...
Loading...