MMP-11 Antibody (SN74-08)
Novus Biologicals, part of Bio-Techne | Catalog # NBP2-67670
Recombinant Monoclonal Antibody
Key Product Details
Species Reactivity
Validated:
Human, Mouse, Rat
Cited:
Human, Mouse
Applications
Validated:
Immunohistochemistry, Immunohistochemistry-Paraffin, Western Blot, Immunocytochemistry/ Immunofluorescence
Cited:
Immunohistochemistry-Paraffin, Western Blot
Label
Unconjugated
Antibody Source
Recombinant Monoclonal Rabbit IgG Clone # SN74-08 expressed in HEK293
Concentration
1 mg/ml
Product Specifications
Immunogen
Synthetic peptide within Human MMP-11 aa 439-488 / 488. (SwissProt: P24347 Human; SwissProt: Q02853 Mouse; SwissProt: Q499S5 Rat)
Localization
Secreted.
Clonality
Monoclonal
Host
Rabbit
Isotype
IgG
Scientific Data Images for MMP-11 Antibody (SN74-08)
Western Blot: MMP-11 Antibody (SN74-08) [NBP2-67670]
Western Blot: MMP-11 Antibody (SN74-08) [NBP2-67670] - Analysis of MMP11 on 293T cell lysates. Proteins were transferred to a PVDF membrane and blocked with 5% BSA in PBS for 1 hour at room temperature. The primary antibody (1/500) was used in 5% BSA at room temperature for 2 hours. Goat Anti-Rabbit IgG - HRP Secondary Antibody at 1:5,000 dilution was used for 1 hour at room temperature.Immunocytochemistry/ Immunofluorescence: MMP-11 Antibody (SN74-08) [NBP2-67670]
Immunocytochemistry/Immunofluorescence: MMP-11 Antibody (SN74-08) [NBP2-67670] - Staining MMP11 in SW480 cells (green). The nuclear counter stain is DAPI (blue). Cells were fixed in paraformaldehyde, permeabilised with 0.25% Triton X100/PBS.Immunohistochemistry-Paraffin: MMP-11 Antibody (SN74-08) [NBP2-67670]
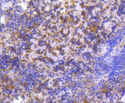
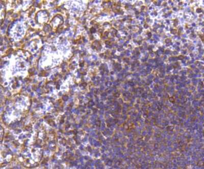
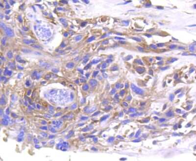
Immunohistochemistry-Paraffin: MMP-11 Antibody (SN74-08) [NBP2-67670] - Analysis of paraffin-embedded mouse spleen tissue using anti-MMP11 antibody. Counter stained with hematoxylin.Applications for MMP-11 Antibody (SN74-08)
Application
Recommended Usage
Immunocytochemistry/ Immunofluorescence
1:500-1:1000
Immunohistochemistry-Paraffin
1:100-1:500
Western Blot
1:500-1:1000
Formulation, Preparation, and Storage
Purification
Protein A purified
Formulation
TBS (pH7.4), 0.05% BSA, 40% Glycerol
Preservative
0.05% Sodium Azide
Concentration
1 mg/ml
Shipping
The product is shipped with polar packs. Upon receipt, store it immediately at the temperature recommended below.
Stability & Storage
Store at 4C short term. Aliquot and store at -20C long term. Avoid freeze-thaw cycles.
Background: MMP-11
Long Name
Matrix Metalloproteinase 11
Alternate Names
MMP11
Gene Symbol
MMP11
Additional MMP-11 Products
Product Documents for MMP-11 Antibody (SN74-08)
Product Specific Notices for MMP-11 Antibody (SN74-08)
This product is for research use only and is not approved for use in humans or in clinical diagnosis. Primary Antibodies are guaranteed for 1 year from date of receipt.
Loading...
Loading...
Loading...
Loading...