Skip to main content

MLYCD Antibody - BSA Free

Novus Biologicals, part of Bio-Techne | Catalog # NBP3-47085

Novus Biologicals, part of Bio-Techne
Catalog #
Availability
Size / Price
Qty
Loading...
NBP3-47085

Key Product Details

Species Reactivity

Human, Mouse, Rat

Applications

Immunohistochemistry, Western Blot, ELISA, Immunocytochemistry/ Immunofluorescence, Immunoprecipitation

Label

Unconjugated

Antibody Source

Polyclonal Rabbit IgG

Format

BSA Free

Concentration

Please see the vial label for concentration. If unlisted please contact technical services.

Product Specifications

Immunogen

malonyl-CoA decarboxylase. (Uniprot# O95822)

Clonality

Polyclonal

Host

Rabbit

Isotype

IgG

Description

Novus Biologicals Rabbit MLYCD Antibody - BSA Free (NBP3-47085) is a polyclonal antibody validated for use in IHC, WB, ELISA, ICC/IF and IP. All Novus Biologicals antibodies are covered by our 100% guarantee.

Scientific Data Images for MLYCD Antibody - BSA Free

MLYCD Antibody - BSA Free

Western Blot: MLYCD Antibody - BSA Free [NBP3-47085] -

Western Blot: MLYCD Antibody - BSA Free [NBP3-47085] - Human testis tissue were subjected to SDS PAGE followed by western blot with (MLYCD antibody) at dilution of 1:400
MLYCD Antibody - BSA Free

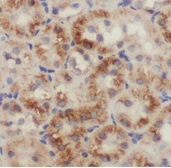
Immunohistochemistry: MLYCD Antibody - BSA Free [NBP3-47085] -

Immunohistochemistry: MLYCD Antibody - BSA Free [NBP3-47085] - Immunohistochemistry of paraffin-embedded human kidney using (MLYCD antibody) at dilution of 1:50
MLYCD Antibody - BSA Free

Immunoprecipitation: MLYCD Antibody - BSA Free [NBP3-47085] -

Immunoprecipitation: MLYCD Antibody - BSA Free [NBP3-47085] - IP Result of anti-MLYCD (IP:, 4ug; Detection: 1:500) with mouse heart tissue lysate 5000ug.

Applications for MLYCD Antibody - BSA Free

Application
Recommended Usage

Immunocytochemistry/ Immunofluorescence

1:20-1:200

Immunohistochemistry

1:20-1:200

Immunoprecipitation

1:200-1:1000

Western Blot

1:500-1:2000
Application Notes
Theoretical Molecular Weight is 50 kDa, 55 kDa, 66 kDa

Formulation, Preparation, and Storage

Purification

Immunogen affinity purified

Formulation

PBS, 50% Glycerol, pH (7.3)

Format

BSA Free

Preservative

0.02% Sodium Azide

Concentration

Please see the vial label for concentration. If unlisted please contact technical services.

Shipping

The product is shipped with polar packs. Upon receipt, store it immediately at the temperature recommended below.

Stability & Storage

Store at -20C. Avoid freeze-thaw cycles.

Background: MLYCD

The product of this gene catalyzes the breakdown of malonyl-CoA to acetyl-CoA and carbon dioxide. Malonyl-CoA is an intermediate in fatty acid biosynthesis, and also inhibits the transport of fatty acyl CoAs into mitochondria. Consequently, the encoded protein acts to increase the rate of fatty acid oxidation. It is found in mitochondria, peroxisomes, and the cytoplasm. Mutations in this gene result in malonyl-CoA decarboyxlase deficiency. [provided by RefSeq]

Long Name

Malonyl-CoA decarboxylase, mitochondrial

Alternate Names

EC 4.1.1.9, MCD

Gene Symbol

MLYCD

Additional MLYCD Products

Product Documents for MLYCD Antibody - BSA Free

Certificate of Analysis

To download a Certificate of Analysis, please enter a lot number in the search box below.

Product Specific Notices for MLYCD Antibody - BSA Free

This product is for research use only and is not approved for use in humans or in clinical diagnosis. Primary Antibodies are guaranteed for 1 year from date of receipt.

Loading...
Loading...
Loading...
Loading...