Skip to main content

MLYCD Antibody - Azide and BSA Free

Novus Biologicals, part of Bio-Techne | Catalog # NBP1-32797

Novus Biologicals, part of Bio-Techne
Catalog #
Availability
Size / Price
Qty
Loading...
NBP1-32797

Key Product Details

Species Reactivity

Human, Mouse, Rat

Applications

Immunohistochemistry, Immunohistochemistry-Paraffin, Western Blot, Simple Western

Label

Unconjugated

Antibody Source

Polyclonal Rabbit IgG

Format

Azide and BSA Free

Concentration

Concentrations vary lot to lot. See vial label for concentration. If unlisted please contact technical services.

Product Specifications

Immunogen

Recombinant protein encompassing a sequence within the center region of human MLYCD. The exact sequence is proprietary.

Localization

Mitochondrion, Cytoplasm, Peroxisome

Clonality

Polyclonal

Host

Rabbit

Isotype

IgG

Theoretical MW

55 kDa.
Disclaimer note: The observed molecular weight of the protein may vary from the listed predicted molecular weight due to post translational modifications, post translation cleavages, relative charges, and other experimental factors.

Scientific Data Images for MLYCD Antibody - Azide and BSA Free

Immunohistochemistry-Paraffin: MLYCD Antibody [NBP1-32797]

Immunohistochemistry-Paraffin: MLYCD Antibody [NBP1-32797]

Immunohistochemistry-Paraffin: MLYCD Antibody [NBP1-32797] - Mouse muscle. MCD antibody [N2C1], Internal dilution: 1:500. Antigen Retrieval: Trilogy™ (EDTA based, pH 8.0) buffer, 15min.
Immunohistochemistry-Paraffin: MLYCD Antibody [NBP1-32797]

Immunohistochemistry-Paraffin: MLYCD Antibody [NBP1-32797]

Immunohistochemistry-Paraffin: MLYCD Antibody [NBP1-32797] - H661 xenograft, using MCD antibody at 1:500 dilution. Antigen Retrieval: Trilogy™ (EDTA based, pH 8.0) buffer, 15min.
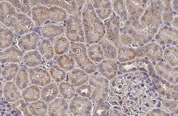
Immunohistochemistry-Paraffin: MLYCD Antibody [NBP1-32797]

Immunohistochemistry-Paraffin: MLYCD Antibody [NBP1-32797]

Immunohistochemistry-Paraffin: MLYCD Antibody [NBP1-32797] - Mouse kidney. MCD antibody [N2C1], Internal dilution: 1:500. Antigen Retrieval: Trilogy™ (EDTA based, pH 8.0) buffer, 15min.

Applications for MLYCD Antibody - Azide and BSA Free

Application
Recommended Usage

Immunohistochemistry

1:100-1:1000

Immunohistochemistry-Paraffin

1:100-1:1000

Western Blot

1:500-1:3000
Application Notes
See Simple Western Antibody Database for Simple Western validation: Purified mitochondrial and cytosol preparations of human SVG-A cells as sample; separated by size; matrix was 12-230 kDa; detected by Chemiluminescence.

Reviewed Applications

Read 1 review rated 3 using NBP1-32797 in the following applications:

Formulation, Preparation, and Storage

Purification

Antigen Affinity-purified

Formulation

PBS

Format

Azide and BSA Free

Preservative

No Preservative

Concentration

Concentrations vary lot to lot. See vial label for concentration. If unlisted please contact technical services.

Shipping

The product is shipped with polar packs. Upon receipt, store it immediately at the temperature recommended below.

Stability & Storage

Aliquot and store at -20C or -80C. Avoid freeze-thaw cycles.

Background: MLYCD

The product of this gene catalyzes the breakdown of malonyl-CoA to acetyl-CoA and carbon dioxide. Malonyl-CoA is an intermediate in fatty acid biosynthesis, and also inhibits the transport of fatty acyl CoAs into mitochondria. Consequently, the encoded protein acts to increase the rate of fatty acid oxidation. It is found in mitochondria, peroxisomes, and the cytoplasm. Mutations in this gene result in malonyl-CoA decarboyxlase deficiency. [provided by RefSeq]

Long Name

Malonyl-CoA decarboxylase, mitochondrial

Alternate Names

EC 4.1.1.9, MCD

Gene Symbol

MLYCD

Additional MLYCD Products

Product Documents for MLYCD Antibody - Azide and BSA Free

Certificate of Analysis

To download a Certificate of Analysis, please enter a lot number in the search box below.

Product Specific Notices for MLYCD Antibody - Azide and BSA Free

This product is for research use only and is not approved for use in humans or in clinical diagnosis. Primary Antibodies are guaranteed for 1 year from date of receipt.

Loading...
Loading...
Loading...
Loading...

⚠ WARNING: This product can expose you to chemicals including mercury, which is known to the State of California to cause reproductive toxicity with developmental effects.  For more information go to www.P65Warnings.ca.gov.