Skip to main content

MLYCD Antibody (HL2738)

Novus Biologicals, part of Bio-Techne | Catalog # NBP3-48726

Recombinant Monoclonal Antibody
Novus Biologicals, part of Bio-Techne
Catalog #
Availability
Size / Price
Qty
Loading...
NBP3-48726

Key Product Details

Validated by

Orthogonal Validation

Species Reactivity

Human, Mouse, Rat

Applications

Immunohistochemistry, Immunohistochemistry-Paraffin, Western Blot

Label

Unconjugated

Antibody Source

Recombinant Monoclonal Rabbit IgG Clone # HL2738

Concentration

Concentrations vary lot to lot. See vial label for concentration. If unlisted please contact technical services.

Product Specifications

Immunogen

Recombinant fragment of human MLYCD.

Clonality

Monoclonal

Host

Rabbit

Isotype

IgG

Description

Novus Biologicals Rabbit MLYCD Antibody (HL2738) (NBP3-48726) is a recombinant monoclonal antibody validated for use in IHC and WB. All Novus Biologicals antibodies are covered by our 100% guarantee.

Scientific Data Images for MLYCD Antibody (HL2738)

MLYCD Antibody (HL2738)

Western Blot: MLYCD Antibody (HL2738) [NBP3-48726] -

Various whole cell extracts (30 ug) were separated by 10% SDS-PAGE, and the membrane was blotted with MLYCD antibody [HL2738] (NBP3-48726) diluted at 1:1000. The HRP-conjugated anti-rabbit IgG antibody was used to detect the primary antibody, and the signal was developed with Trident ECL plus-Enhanced. Corresponding RNA expression data for the same cell lines are based on Human Protein Atlas program.
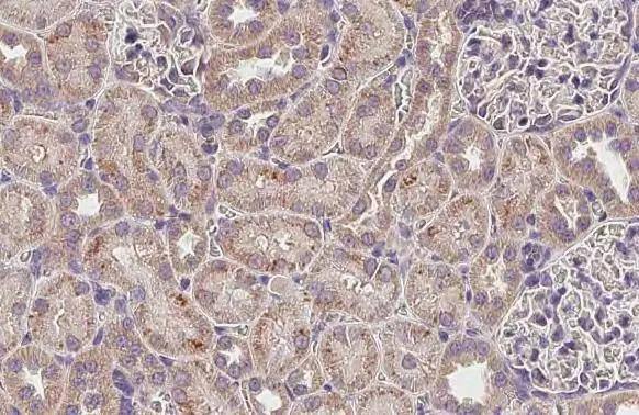
MLYCD Antibody (HL2738)

Immunohistochemistry-Paraffin: MLYCD Antibody (HL2738) [NBP3-48726] -

MLYCD antibody [HL2738] detects MLYCD protein at cytoplasm by immunohistochemical analysis.
Sample: Paraffin-embedded rat kidney.
MLYCD stained by MLYCD antibody [HL2738] (NBP3-48726) diluted at 1:100.
Antigen Retrieval: Citrate buffer, pH 6.0, 15 min
MLYCD Antibody (HL2738)

Western Blot: MLYCD Antibody (HL2738) [NBP3-48726] -

Various tissue extracts (50 ug) were separated by 10% SDS-PAGE, and the membrane was blotted with MLYCD antibody [HL2738] (NBP3-48726) diluted at 1:1000. The HRP-conjugated anti-rabbit IgG antibody was used to detect the primary antibody, and the signal was developed with Trident ECL plus-Enhanced. Corresponding RNA expression data for the same cell lines are based on NCBI mouse tissue.

Applications for MLYCD Antibody (HL2738)

Application
Recommended Usage

Western Blot

1:500-1:3000

Formulation, Preparation, and Storage

Purification

Protein A purified

Formulation

PBS

Preservative

No Preservative

Concentration

Concentrations vary lot to lot. See vial label for concentration. If unlisted please contact technical services.

Shipping

The product is shipped with polar packs. Upon receipt, store it immediately at the temperature recommended below.

Stability & Storage

Store at 4C short term. Aliquot and store at -20C long term. Avoid freeze-thaw cycles.

Background: MLYCD

The product of this gene catalyzes the breakdown of malonyl-CoA to acetyl-CoA and carbon dioxide. Malonyl-CoA is an intermediate in fatty acid biosynthesis, and also inhibits the transport of fatty acyl CoAs into mitochondria. Consequently, the encoded protein acts to increase the rate of fatty acid oxidation. It is found in mitochondria, peroxisomes, and the cytoplasm. Mutations in this gene result in malonyl-CoA decarboyxlase deficiency. [provided by RefSeq]

Long Name

Malonyl-CoA decarboxylase, mitochondrial

Alternate Names

EC 4.1.1.9, MCD

Gene Symbol

MLYCD

Additional MLYCD Products

Product Documents for MLYCD Antibody (HL2738)

Certificate of Analysis

To download a Certificate of Analysis, please enter a lot number in the search box below.

Product Specific Notices for MLYCD Antibody (HL2738)

This product is for research use only and is not approved for use in humans or in clinical diagnosis. Primary Antibodies are guaranteed for 1 year from date of receipt.

Loading...
Loading...
Loading...
Loading...