Skip to main content

MLXIP Antibody - BSA Free

Novus Biologicals, part of Bio-Techne | Catalog # NBP2-85298

Novus Biologicals, part of Bio-Techne
Catalog #
Availability
Size / Price
Qty
Loading...
NBP2-85298-0.1ml

Key Product Details

Species Reactivity

Human

Applications

Immunohistochemistry, Immunohistochemistry-Paraffin, Western Blot

Label

Unconjugated

Antibody Source

Polyclonal Rabbit

Format

BSA Free

Concentration

0.5 mg/ml

Product Specifications

Immunogen

The immunogen is a synthetic peptide directed towards the C-terminal region of human MLXIP. Peptide sequence: ALSWLDQHCSLPILRPMVLSTLRQLSTSTSILTDPAQLPEQASKAVTRIG The peptide sequence for this immunogen was taken from within the described region.

Clonality

Polyclonal

Host

Rabbit

Description

Novus Biologicals Rabbit MLXIP Antibody - BSA Free (NBP2-85298) is a polyclonal antibody validated for use in IHC and WB. All Novus Biologicals antibodies are covered by our 100% guarantee.

Scientific Data Images for MLXIP Antibody - BSA Free

Western Blot: MLXIP Antibody [NBP2-85298]

Western Blot: MLXIP Antibody [NBP2-85298]

Western Blot: MLXIP Antibody [NBP2-85298] - WB Suggested Anti-MLXIP Antibody Titration: 0.2-1 ug/ml. ELISA Titer: 1:62500. Positive Control: Jurkat cell lysateMLXIP is strongly supported by BioGPS gene expression data to be expressed in Human Jurkat cells
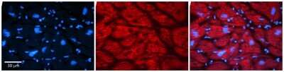
Immunohistochemistry-Paraffin: MLXIP Antibody [NBP2-85298]

Immunohistochemistry-Paraffin: MLXIP Antibody [NBP2-85298]

Immunohistochemistry-Paraffin: MLXIP Antibody [NBP2-85298] - Rabbit Anti-MLXIP Antibody. Formalin Fixed Paraffin Embedded Tissue: Human Adult heart. Observed Staining: Cytoplasmic. Primary Antibody Concentration: 1:600. Secondary Antibody: Donkey anti-Rabbit-Cy2/3. Secondary Antibody Concentration: 1:200. Magnification: 20X.

Applications for MLXIP Antibody - BSA Free

Application
Recommended Usage

Western Blot

1.0 ug/ml

Formulation, Preparation, and Storage

Purification

Affinity purified

Formulation

PBS, 2% Sucrose

Format

BSA Free

Preservative

0.09% Sodium Azide

Concentration

0.5 mg/ml

Shipping

The product is shipped with polar packs. Upon receipt, store it immediately at the temperature recommended below.

Stability & Storage

Store at 4C short term. Aliquot and store at -20C long term. Avoid freeze-thaw cycles.

Background: MLXIP

MONDOA forms heterodimers with MLX (MIM 602976) that can bind to and activate transcription from CACGTG E boxes (Billin et al., 2000 [PubMed 11073985]).[supplied by OMIM]

Alternate Names

bHLHe36BHLHE36, Class E basic helix-loop-helix protein 36, KIAA0867MondoA, MIRMLX-interacting protein, MLX interacting protein, MONDOAMlx interactor, Transcriptional activator MondoA

Gene Symbol

MLXIP

Additional MLXIP Products

Product Documents for MLXIP Antibody - BSA Free

Certificate of Analysis

To download a Certificate of Analysis, please enter a lot number in the search box below.

Product Specific Notices for MLXIP Antibody - BSA Free

This product is for research use only and is not approved for use in humans or in clinical diagnosis. Primary Antibodies are guaranteed for 1 year from date of receipt.

Loading...
Loading...
Loading...
Loading...