Skip to main content

MKP-1/DUSP1 Antibody (JJ0930)

Novus Biologicals, part of Bio-Techne | Catalog # NBP2-67909

Recombinant Monoclonal Antibody.
Novus Biologicals, part of Bio-Techne
Catalog #
Availability
Size / Price
Qty
Loading...
NBP2-67909

Key Product Details

Species Reactivity

Validated:

Human, Mouse, Rat

Cited:

Human, Rat

Applications

Validated:

Immunohistochemistry, Immunohistochemistry-Paraffin, Western Blot, Flow Cytometry, Immunoprecipitation

Cited:

Western Blot, Immunoprecipitation, IF/IHC

Label

Unconjugated

Antibody Source

Recombinant Monoclonal Rabbit IgG Clone # JJ0930 expressed in HEK293

Concentration

1 mg/ml

Product Specifications

Immunogen

Synthetic peptide within Human MKP-1/DUSP1 aa 112-156 / 367. (SwissProt: P28562 Human; SwissProt: P28563 Mouse; SwissProt: Q64623 Rat)

Localization

Nucleus.

Clonality

Monoclonal

Host

Rabbit

Isotype

IgG

Description

Novus Biologicals Rabbit MKP-1/DUSP1 Antibody (JJ0930) (NBP2-67909) is a recombinant monoclonal antibody validated for use in IHC, WB, Flow and IP. Anti-MKP-1/DUSP1 Antibody: Cited in 5 publications. All Novus Biologicals antibodies are covered by our 100% guarantee.

Scientific Data Images for MKP-1/DUSP1 Antibody (JJ0930)

Western Blot: MKP-1/DUSP1 Antibody (JJ0930) [NBP2-67909]

Western Blot: MKP-1/DUSP1 Antibody (JJ0930) [NBP2-67909]

Western Blot: MKP-1/DUSP1 Antibody (JJ0930) [NBP2-67909] - Analysis of MKP-1/DUSP1 on SK-BR-3 cell tissue lysates with Rabbit anti-MKP-1/DUSP1 antibody at 1/500 dilution. Lysates/proteins at 10 ug/Lane. Predicted band size:39 kDa Observed band size: 39 kDa Exposure time: 2 minutes; 10% SDS-PAGE gel. Proteins were transferred to a PVDF membrane and blocked with 5% NFDM/TBST for 1 hour at room temperature. The primary antibody at 1/500 dilution was used in 5% NFDM/TBST at room temperature for 2 hours. Goat Anti-Rabbit IgG - HRP Secondary Antibody at 1:5,000 dilution was used for 1 hour at room temperature.
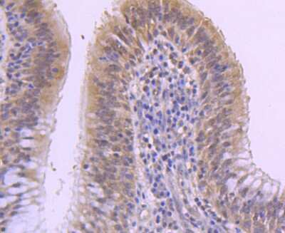
Immunohistochemistry-Paraffin: MKP-1/DUSP1 Antibody (JJ0930) [NBP2-67909]

Immunohistochemistry-Paraffin: MKP-1/DUSP1 Antibody (JJ0930) [NBP2-67909]

Immunohistochemistry-Paraffin: MKP-1/DUSP1 Antibody (JJ0930) [NBP2-67909] - Analysis of paraffin-embedded mouse lung tissue using anti-DUSP1 antibody. Counter stained with hematoxylin.
Flow Cytometry: MKP-1/DUSP1 Antibody (JJ0930) [NBP2-67909]

Flow Cytometry: MKP-1/DUSP1 Antibody (JJ0930) [NBP2-67909]

Flow Cytometry: MKP-1/DUSP1 Antibody (JJ0930) [NBP2-67909] - Analysis of HepG2 cells with DUSP1 antibody at 1/50 dilution (red) compared with an unlabelled control (cells without incubation with primary antibody; black). Alexa Fluor 488-conjugated goat anti rabbit IgG was used as the secondary antibody

Applications for MKP-1/DUSP1 Antibody (JJ0930)

Application
Recommended Usage

Flow Cytometry

1:50-1:100

Immunohistochemistry-Paraffin

1:50-1:200

Western Blot

1:500-1:2000

Formulation, Preparation, and Storage

Purification

Protein A purified

Formulation

TBS (pH7.4), 0.05% BSA, 40% Glycerol

Preservative

0.05% Sodium Azide

Concentration

1 mg/ml

Shipping

The product is shipped with polar packs. Upon receipt, store it immediately at the temperature recommended below.

Stability & Storage

Store at 4C short term. Aliquot and store at -20C long term. Avoid freeze-thaw cycles.

Background: MKP-1

The expression of DUSP1 gene is induced in human skin fibroblasts by oxidative/heat stress and growth factors. It specifies a protein with structural features similar to members of the non-receptor-type protein-tyrosine phosphatase family, and which has significant amino-acid sequence similarity to a Tyr/Ser-protein phosphatase encoded by the late gene H1 of vaccinia virus. The bacterially expressed and purified DUSP1 protein has intrinsic phosphatase activity, and specifically inactivates mitogen-activated protein (MAP) kinase in vitro by the concomitant dephosphorylation of both its phosphothreonine and phosphotyrosine residues. Furthermore, it suppresses the activation of MAP kinase by oncogenic ras in extracts of Xenopus oocytes. Thus, DUSP1 may play an important role in the human cellular response to environmental stress as well as in the negative regulation of cellular proliferation.

Long Name

MAP Kinase Phosphatase 1

Alternate Names

CL100, DUSP1, HVH1, MKP1, PTPN10

Gene Symbol

DUSP1

Additional MKP-1 Products

Product Documents for MKP-1/DUSP1 Antibody (JJ0930)

Certificate of Analysis

To download a Certificate of Analysis, please enter a lot number in the search box below.

Product Specific Notices for MKP-1/DUSP1 Antibody (JJ0930)

This product is for research use only and is not approved for use in humans or in clinical diagnosis. Primary Antibodies are guaranteed for 1 year from date of receipt.

Loading...
Loading...
Loading...
Loading...
Loading...