Skip to main content

Mitofilin Antibody - BSA Free

Novus Biologicals, part of Bio-Techne | Catalog # NBP3-03346

Novus Biologicals, part of Bio-Techne
Catalog #
Availability
Size / Price
Qty
Loading...
NBP3-03346-100ul
NBP3-03346-20ul

Key Product Details

Species Reactivity

Human, Mouse

Applications

Western Blot, Immunocytochemistry/ Immunofluorescence

Label

Unconjugated

Antibody Source

Polyclonal Rabbit IgG

Format

BSA Free

Concentration

Please see the vial label for concentration. If unlisted please contact technical services.

Product Specifications

Immunogen

Recombinant fusion protein containing a sequence corresponding to amino acids 120-270 of human Mitofilin (NP_006830.2). ESKQPASQLQKQKGDTPASATAPTEAAQIISAAGDTLSVPAPAVQPEESLKTDHPEIGEGKPTPALSEEASSSSIRERPPEEVAARLAQQEKQEQVKIESLAKSLEDALRQTASVTLQAIAAQNAAVQAVNAHSNILKAAMDNSEIAGEKK

Clonality

Polyclonal

Host

Rabbit

Isotype

IgG

Description

Novus Biologicals Rabbit Mitofilin Antibody - BSA Free (NBP3-03346) is a polyclonal antibody validated for use in WB and ICC/IF. All Novus Biologicals antibodies are covered by our 100% guarantee.

Scientific Data Images for Mitofilin Antibody - BSA Free

Western Blot: Mitofilin AntibodyBSA Free [NBP3-03346]

Western Blot: Mitofilin AntibodyBSA Free [NBP3-03346]

Western Blot: Mitofilin Antibody [NBP3-03346] - Analysis of extracts of Mouse brain, using IMMT antibody at 1:1000 dilution.Secondary antibody: HRP Goat Anti-Rabbit IgG (H+L) at 1:10000 dilution.Lysates/proteins: 25ug per lane. Blocking buffer: 3% nonfat dry milk in TBST.Detection: ECL Enhanced Kit. Exposure time: 180s.
Western Blot: Mitofilin AntibodyBSA Free [NBP3-03346]

Western Blot: Mitofilin AntibodyBSA Free [NBP3-03346]

Western Blot: Mitofilin Antibody [NBP3-03346] - Analysis of extracts of various cell lines, using IMMT antibody at 1:1000 dilution.Secondary antibody: HRP Goat Anti-Rabbit IgG (H+L) at 1:10000 dilution.Lysates/proteins: 25ug per lane. Blocking buffer: 3% nonfat dry milk in TBST.Detection: ECL Basic Kit. Exposure time: 30s.
Mitofilin Antibody - BSA Free

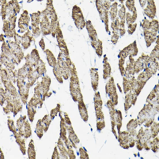
Immunohistochemistry: Mitofilin Antibody - BSA Free [NBP3-03346] -

Immunohistochemistry: Mitofilin Antibody - BSA Free [NBP3-03346] - Immunohistochemistry analysis of Mitofilin in paraffin-embedded rat heart tissue using Mitofilin Rabbit pAb (A2751) at a dilution of 1:100 (40x lens). High pressure antigen retrieval was performed with 0.01 M citrate buffer (pH 6.0) prior to IHC staining.

Applications for Mitofilin Antibody - BSA Free

Application
Recommended Usage

Immunocytochemistry/ Immunofluorescence

1:50-1:200

Western Blot

1:500 - 1:1000

Formulation, Preparation, and Storage

Purification

Affinity purified

Formulation

PBS (pH 7.3), 50% glycerol

Format

BSA Free

Preservative

0.02% Sodium Azide

Concentration

Please see the vial label for concentration. If unlisted please contact technical services.

Shipping

The product is shipped with polar packs. Upon receipt, store it immediately at the temperature recommended below.

Stability & Storage

Store at -20C. Avoid freeze-thaw cycles.

Background: Mitofilin

Mitochondria are the center of cellular energy production and essential metabolic reactions. As double membrane-bound organelles, mitochondria from different species, tissues, and metabolic states are highly polymorphic in nature, yet exhibit common structural features. The ultrastructural variations in mitochondrial architecture occur mainly due to the differences in the amount and shape of cristae. Abundant cristae are found in mitochondria from tissues where energy demand is high. Analysis of the human heart mitochondrial proteome shows that mitofilin is one of the most abundant mitochondrial proteins. It appears to play an important role in the maintenance of cristae morphology. Mitofilin was originally described as heart muscle protein (HMP) because of its high expression in the heart.

Alternate Names

DKFZp779P1653, inner membrane protein, mitochondrial, MGC111146, Mic 60, Mic60, MICOS Complex Subunit MIC60, mitochondrial (mitofilin), Mitofilin, motor protein, p87/89, proliferation-inducing gene 4

Gene Symbol

IMMT

Additional Mitofilin Products

Product Documents for Mitofilin Antibody - BSA Free

Certificate of Analysis

To download a Certificate of Analysis, please enter a lot number in the search box below.

Product Specific Notices for Mitofilin Antibody - BSA Free

This product is for research use only and is not approved for use in humans or in clinical diagnosis. Primary Antibodies are guaranteed for 1 year from date of receipt.

Loading...
Loading...
Loading...
Loading...