Skip to main content

Mitofilin Antibody (PSH01-18)

Novus Biologicals, part of Bio-Techne | Catalog # NBP3-32596

Recombinant Monoclonal Antibody
Novus Biologicals, part of Bio-Techne
Catalog #
Availability
Size / Price
Qty
Loading...
NBP3-32596

Key Product Details

Species Reactivity

Human, Mouse, Rat

Applications

Immunohistochemistry, Immunohistochemistry-Paraffin, Western Blot, Immunocytochemistry/ Immunofluorescence

Label

Unconjugated

Antibody Source

Recombinant Monoclonal Rabbit IgG Clone # PSH01-18 expressed in HEK293

Concentration

1 mg/ml

Product Specifications

Immunogen

Recombinant protein within human Mitofilin aa 151-400 / 758. (Uniprot: Q16891)

Localization

Mitochondrion inner membrane, Mitochondrion.

Clonality

Monoclonal

Host

Rabbit

Isotype

IgG

Theoretical MW

84 kDa.
Disclaimer note: The observed molecular weight of the protein may vary from the listed predicted molecular weight due to post translational modifications, post translation cleavages, relative charges, and other experimental factors.

Description

Novus Biologicals Rabbit Mitofilin Antibody (PSH01-18) (NBP3-32596) is a recombinant monoclonal antibody validated for use in IHC, WB and ICC/IF. All Novus Biologicals antibodies are covered by our 100% guarantee.

Scientific Data Images for Mitofilin Antibody (PSH01-18)

Mitofilin Antibody (PSH01-18)

Western Blot: Mitofilin Antibody (PSH01-18) [NBP3-32596]

Western Blot: Mitofilin Antibody (PSH01-18) [NBP3-32596] - Western blot analysis of Mitofilin on different lysates with Rabbit anti-Mitofilin antibody (NBP3-32596) at 1/5,000 dilution.

Lane 1: HeLa cell lysate
Lane 2: Raji cell lysate
Lane 3: HEK-293 cell lysate
Lane 4: HepG2 cell lysate
Lane 5: MCF7 cell lysate
Lane 6: Mouse brain tissue lysate
Lane 7: Rat brain tissue lysate

Lysates/proteins at 30 ug/Lane.

Predicted band size: 84 kDa
Observed band size: 84 kDa

Exposure time: 24 seconds;

4-20% SDS-PAGE gel.

Proteins were transferred to a PVDF membrane and blocked with 5% NFDM/TBST for 1 hour at room temperature. The primary antibody (NBP3-32596) at 1/5,000 dilution was used in 5% NFDM/TBST at room temperature for 2 hours. Goat Anti-Rabbit IgG - HRP Secondary Antibody at 1:100,000 dilution was used for 1 hour at room temperature.
Mitofilin Antibody (PSH01-18)

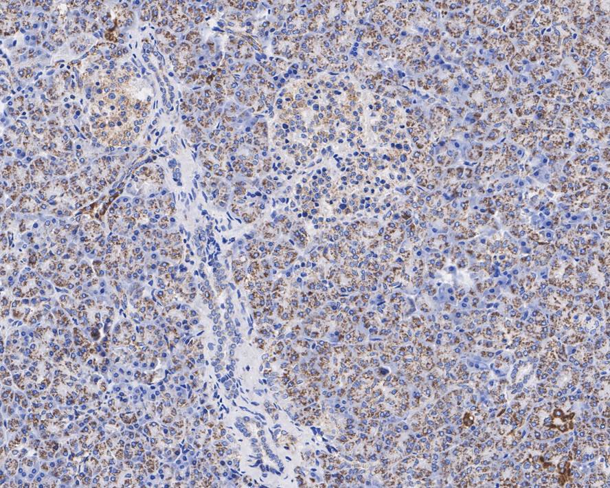
Immunohistochemistry: Mitofilin Antibody (PSH01-18) [NBP3-32596]

Immunohistochemistry: Mitofilin Antibody (PSH01-18) [NBP3-32596] - Immunohistochemical analysis of paraffin-embedded human pancreas tissue with Rabbit anti-Mitofilin antibody (NBP3-32596) at 1/1,000 dilution.

The section was pre-treated using heat mediated antigen retrieval with Tris-EDTA buffer (pH 9.0) for 20 minutes. The tissues were blocked in 1% BSA for 20 minutes at room temperature, washed with ddH2O and PBS, and then probed with the primary antibody (NBP3-32596) at 1/1,000 dilution for 1 hour at room temperature. The detection was performed using an HRP conjugated compact polymer system. DAB was used as the chromogen. Tissues were counterstained with hematoxylin and mounted with DPX.
Mitofilin Antibody (PSH01-18)

Immunohistochemistry: Mitofilin Antibody (PSH01-18) [NBP3-32596]

Immunohistochemistry: Mitofilin Antibody (PSH01-18) [NBP3-32596] - Immunofluorescence analysis of paraffin-embedded human thyroid carcinoma tissue labeling Mitofilin with Rabbit anti-Mitofilin antibody (NBP3-32596) at 1/200 dilution.

The section was pre-treated using heat mediated antigen retrieval with Tris-EDTA buffer (pH 9.0) for 20 minutes. The tissues were blocked in 10% negative goat serum for 1 hour at room temperature, washed with PBS, and then probed with the primary antibody (NBP3-32596, green) at 1/200 dilution overnight at 4 ℃, washed with PBS. Goat Anti-Rabbit IgG H&L (iFluor™ 488) was used as the secondary antibody at 1/1,000 dilution. Nuclei were counterstained with DAPI (blue).

Applications for Mitofilin Antibody (PSH01-18)

Application
Recommended Usage

Western Blot

1:5000

Formulation, Preparation, and Storage

Purification

Protein A purified

Formulation

PBS (pH7.4), 0.1% BSA and 40% Glycerol

Preservative

0.05% Sodium Azide

Concentration

1 mg/ml

Shipping

The product is shipped with polar packs. Upon receipt, store it immediately at the temperature recommended below.

Stability & Storage

Store at 4C short term. Aliquot and store at -20C long term. Avoid freeze-thaw cycles.

Background: Mitofilin

Mitochondria are the center of cellular energy production and essential metabolic reactions. As double membrane-bound organelles, mitochondria from different species, tissues, and metabolic states are highly polymorphic in nature, yet exhibit common structural features. The ultrastructural variations in mitochondrial architecture occur mainly due to the differences in the amount and shape of cristae. Abundant cristae are found in mitochondria from tissues where energy demand is high. Analysis of the human heart mitochondrial proteome shows that mitofilin is one of the most abundant mitochondrial proteins. It appears to play an important role in the maintenance of cristae morphology. Mitofilin was originally described as heart muscle protein (HMP) because of its high expression in the heart.

Alternate Names

DKFZp779P1653, inner membrane protein, mitochondrial, MGC111146, Mic 60, Mic60, MICOS Complex Subunit MIC60, mitochondrial (mitofilin), Mitofilin, motor protein, p87/89, proliferation-inducing gene 4

Gene Symbol

IMMT

Additional Mitofilin Products

Product Documents for Mitofilin Antibody (PSH01-18)

Certificate of Analysis

To download a Certificate of Analysis, please enter a lot number in the search box below.

Product Specific Notices for Mitofilin Antibody (PSH01-18)

This product is for research use only and is not approved for use in humans or in clinical diagnosis. Primary Antibodies are guaranteed for 1 year from date of receipt.

Loading...
Loading...
Loading...
Loading...