Skip to main content

MITF Antibody (MITF/2987R) - Azide and BSA Free

Novus Biologicals, part of Bio-Techne | Catalog # NBP3-08590

Recombinant Monoclonal Antibody
Novus Biologicals, part of Bio-Techne

Key Product Details

Species Reactivity

Human, Canine, Mouse (Negative), Rat (Negative)

Applications

Immunohistochemistry, Immunohistochemistry-Paraffin, Flow Cytometry, Immunocytochemistry/ Immunofluorescence

Label

Unconjugated

Antibody Source

Recombinant Monoclonal Rabbit IgG Clone # MITF/2987R

Format

Azide and BSA Free

Concentration

1 mg/ml

Product Specifications

Immunogen

Recombinant full-length human MITF protein (Uniprot: O75030)

Reactivity Notes

Does not react with Mouse or Rat.

Localization

Nuclear

Specificity

MITF (microphthalmia transcription factor) is a basic helix-loop-helix-leucine-zipper (bHLH-Zip) transcription factor that regulates the development and survival of melanocytes and retinal pigment epithelium, and also is involved in transcription of pigmentation enzyme genes such as tyrosinase TRP1 and TRP2. MITF has been shown to be phosphorylated by MAP kinase in response to c-kit activation, resulting in upregulation of MITF transcriptional activity. Mutations of the MITF gene are associated with the autosomal dominant hereditary deafness and pigmentation condition, Waardenburg Syndrome type 2A. Multiple isoforms of MITF exist, including MITF-A, MITF-B, MITF-C, MITF-H, and MITF-M, which differ in the amino-terminal domain and in their expression patterns. The MITF-M isoform is restricted to the melanocyte cell lineage. This monoclonal antibody recognizes a nuclear protein, which is expressed in the majority of primary and metastatic epithelioid malignant melanomas as well as in normal melanocytes, benign nevi and dysplastic nevi.

Clonality

Monoclonal

Host

Rabbit

Isotype

IgG

Description

1.0 mg/ml of antibody purified from Bioreactor Concentrate by Protein A/G. Prepared in 10mM PBS WITHOUT BSA & azide. Also available at 200 ug/ml WITH BSA & azide (NBP3-07316).

Antibody with azide - store at 2 to 8C. Antibody without azide - store at -20 to -80C.

Scientific Data Images for MITF Antibody (MITF/2987R) - Azide and BSA Free

Immunohistochemistry-Paraffin: MITF Antibody (MITF/2987R) - Azide and BSA Free [NBP3-08590]

Immunohistochemistry-Paraffin: MITF Antibody (MITF/2987R) - Azide and BSA Free [NBP3-08590]

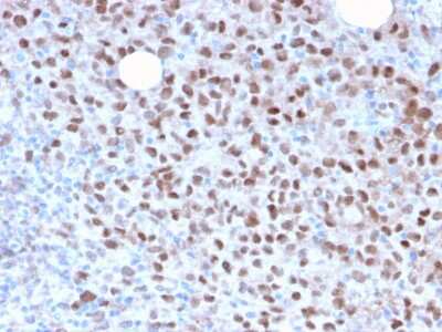
Immunohistochemistry-Paraffin: MITF Antibody (MITF/2987R) - Azide and BSA Free [NBP3-08590] - Formalin-fixed, paraffin-embedded human Melanoma stained with MITF Recombinant Rabbit Monoclonal Antibody (MITF/2987R).
Immunohistochemistry-Paraffin: MITF Antibody (MITF/2987R) - Azide and BSA Free [NBP3-08590]

Immunohistochemistry-Paraffin: MITF Antibody (MITF/2987R) - Azide and BSA Free [NBP3-08590]

Immunohistochemistry-Paraffin: MITF Antibody (MITF/2987R) - Azide and BSA Free [NBP3-08590] - Formalin-fixed, paraffin-embedded human Melanoma stained with MITF Recombinant Rabbit Monoclonal Antibody (MITF/2987R).

Applications for MITF Antibody (MITF/2987R) - Azide and BSA Free

Application
Recommended Usage

Flow Cytometry

1-2 ug/million cells

Immunocytochemistry/ Immunofluorescence

1-2 ug/ml
Application Notes
Immunohistochemistry Formalin-fixed: 1-2ug/ml for 30 minutes at RT. Staining of formalin-fixed tissues requires heating tissue sections in 10mM Tris with 1mM EDTA, pH 9.0, for 45 min at 95C followed by cooling at RT for 20 minutes.

Formulation, Preparation, and Storage

Purification

Protein A or G purified

Formulation

10 mM PBS

Format

Azide and BSA Free

Preservative

No Preservative

Concentration

1 mg/ml

Shipping

The product is shipped with polar packs. Upon receipt, store it immediately at the temperature recommended below.

Stability & Storage

Store at -20 to -80C. Avoid freeze-thaw cycles.

Background: MITF

MITF (microphthalmia-associated transcription factor) is a melanocytic nuclear protein that contains basic helix-loop-helix (HLH) and leucine zipper (LZ) domains. These protein motifs are frequently observed in other transcription factors and are particularly common to members of the Myc family. MITF can directly associate with DNA as a homodimer. It is required for the development and differentiation of melanocytes. Its expression is upregulated by cAMP and cAMP dependent pathways. MITF activates several different gene promoters by binding to their E-boxes. Tyrosinase, TRP-1 and TRP-2 are pigment synthesis genes activated by MITF. When MITF is phosphorylated on Serine 73 (via the MAPK pathway), it associates with coactivators of the p300/CBP family and enhances transcription. MITF has several isoforms including MITF-M which is specifically expressed in melanocytes. In Mitfdeficient mice there is a complete absence of melanocytes.

Long Name

Microphthalmia-associated Transcription Factor

Alternate Names

bHLHe32, MI, WS2A

Gene Symbol

MITF

Additional MITF Products

Product Documents for MITF Antibody (MITF/2987R) - Azide and BSA Free

Certificate of Analysis

To download a Certificate of Analysis, please enter a lot number in the search box below.

Product Specific Notices for MITF Antibody (MITF/2987R) - Azide and BSA Free

This product is for research use only and is not approved for use in humans or in clinical diagnosis. Primary Antibodies are guaranteed for 1 year from date of receipt.

Loading...
Loading...
Loading...
Loading...
Loading...