Skip to main content

MIS12 Antibody - BSA Free

Novus Biologicals, part of Bio-Techne | Catalog # NBP1-92118

Novus Biologicals, part of Bio-Techne
Catalog #
Availability
Size / Price
Qty
Loading...
NBP1-92118
NBP1-92118-25ul

Key Product Details

Species Reactivity

Human

Applications

Immunohistochemistry, Immunohistochemistry-Paraffin

Label

Unconjugated

Antibody Source

Polyclonal Rabbit IgG

Format

BSA Free

Concentration

Concentrations vary lot to lot. See vial label for concentration. If unlisted please contact technical services.

Product Specifications

Immunogen

This antibody was developed against Recombinant Protein corresponding to amino acids: KEIEQLQEKYKTELCTKQALLAELEEQKIVQAKLKQTLTFFDELHNVGRDHGTSDFRESLVSLVQNSRKLQNIRDNVEKESKRLKI

Clonality

Polyclonal

Host

Rabbit

Isotype

IgG

Description

Novus Biologicals Rabbit MIS12 Antibody - BSA Free (NBP1-92118) is a polyclonal antibody validated for use in IHC. All Novus Biologicals antibodies are covered by our 100% guarantee.

Scientific Data Images for MIS12 Antibody - BSA Free

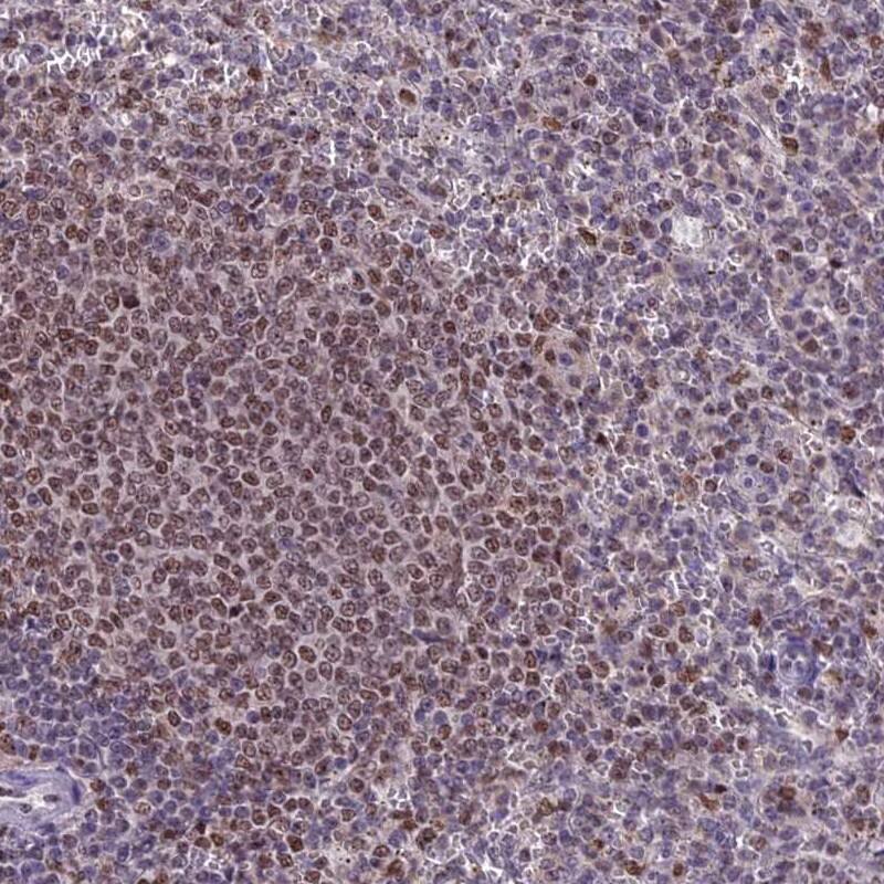
Immunohistochemistry-Paraffin: MIS12 Antibody [NBP1-92118]

Immunohistochemistry-Paraffin: MIS12 Antibody [NBP1-92118]

Immunohistochemistry-Paraffin: MIS12 Antibody [NBP1-92118] - Staining of human spleen shows nuclear positivity in cells in red and white pulp.
MIS12 Antibody - BSA Free Immunohistochemistry: MIS12 Antibody - BSA Free [NBP1-92118]

Immunohistochemistry: MIS12 Antibody - BSA Free [NBP1-92118]

Staining of human spleen shows nuclear positivity in cells in red and white pulp.

Applications for MIS12 Antibody - BSA Free

Application
Recommended Usage

Immunohistochemistry

1:200 - 1:500

Immunohistochemistry-Paraffin

1:200 - 1:500
Application Notes
For IHC-Paraffin, HIER pH 6 retrieval is recommended.

Formulation, Preparation, and Storage

Purification

Affinity purified

Formulation

PBS (pH 7.2) and 40% Glycerol

Format

BSA Free

Preservative

0.02% Sodium Azide

Concentration

Concentrations vary lot to lot. See vial label for concentration. If unlisted please contact technical services.

Shipping

The product is shipped with polar packs. Upon receipt, store it immediately at the temperature recommended below.

Stability & Storage

Store at 4C short term. Aliquot and store at -20C long term. Avoid freeze-thaw cycles.

Background: MIS12

Part of the MIS12 complex which is required for normal chromosome alignment and segregation and forkinetochore formation during mitosis

Alternate Names

2510025F08Rik, hMIS12, homolog of yeast Mis12, KNTC2AP, MGC2488, MIS12 homolog, MIS12, MIND kinetochore complex component, homolog (S. pombe), MIS12, MIND kinetochore complex component, homolog (yeast), MTW1, protein MIS12 homolog

Gene Symbol

MIS12

Additional MIS12 Products

Product Documents for MIS12 Antibody - BSA Free

Certificate of Analysis

To download a Certificate of Analysis, please enter a lot number in the search box below.

Product Specific Notices for MIS12 Antibody - BSA Free

This product is for research use only and is not approved for use in humans or in clinical diagnosis. Primary Antibodies are guaranteed for 1 year from date of receipt.

Loading...
Loading...
Loading...
Loading...