Skip to main content

MIS/AMH Antibody - BSA Free

Novus Biologicals, part of Bio-Techne | Catalog # NBP2-43670

Novus Biologicals, part of Bio-Techne
Catalog #
Availability
Size / Price
Qty
Loading...
NBP2-43670

Key Product Details

Species Reactivity

Validated:

Human, Mouse, Feline

Cited:

Porcine

Predicted:

Bovine (98%), Canine (98%), Porcine (98%), Rat (96%), Sheep (98%). Backed by our 100% Guarantee.

Applications

Validated:

Immunohistochemistry, Immunohistochemistry-Paraffin, Western Blot, Immunocytochemistry/ Immunofluorescence

Cited:

Immunohistochemistry-Paraffin

Label

Unconjugated

Antibody Source

Polyclonal Rabbit IgG

Format

BSA Free

Concentration

Concentrations vary lot to lot. See vial label for concentration. If unlisted please contact technical services.

Product Specifications

Immunogen

Recombinant protein encompassing a sequence within the C-terminus region of human MIS/AMH. The exact sequence is proprietary.

Reactivity Notes

Cat (100%).

Clonality

Polyclonal

Host

Rabbit

Isotype

IgG

Theoretical MW

59 kDa.
Disclaimer note: The observed molecular weight of the protein may vary from the listed predicted molecular weight due to post translational modifications, post translation cleavages, relative charges, and other experimental factors.

Description

Novus Biologicals Rabbit MIS/AMH Antibody - BSA Free (NBP2-43670) is a polyclonal antibody validated for use in IHC, WB and ICC/IF. Anti-MIS/AMH Antibody: Cited in 1 publication. All Novus Biologicals antibodies are covered by our 100% guarantee.

Scientific Data Images for MIS/AMH Antibody - BSA Free

Immunocytochemistry/ Immunofluorescence: MIS/AMH Antibody [NBP2-43670]

Immunocytochemistry/ Immunofluorescence: MIS/AMH Antibody [NBP2-43670]

Immunocytochemistry/Immunofluorescence: MIS/AMH Antibody [NBP2-43670] - Analysis of Sample: MCF-7 cells were fixed in ice-cold MeOH for 5 min. Green: AMH protein stained by AMH antibody diluted at 1:500. Blue: Hoechst 33342 staining.
Immunohistochemistry-Paraffin: MIS/AMH Antibody [NBP2-43670]

Immunohistochemistry-Paraffin: MIS/AMH Antibody [NBP2-43670]

Immunohistochemistry-Paraffin: MIS/AMH Antibody [NBP2-43670] - Mouse ovary. AMH antibody dilution: 1:500. Antigen Retrieval: Trilogy™ (EDTA based, pH 8.0) buffer, 15min.
Immunohistochemistry-Paraffin: MIS/AMH Antibody [NBP2-43670]

Immunohistochemistry-Paraffin: MIS/AMH Antibody [NBP2-43670]

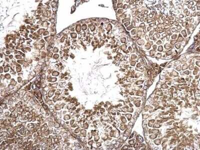
Immunohistochemistry-Paraffin: MIS/AMH Antibody [NBP2-43670] - Mouse testis. AMH antibody dilution: 1:500. Antigen Retrieval: Trilogy™ (EDTA based, pH 8.0) buffer, 15min.

Applications for MIS/AMH Antibody - BSA Free

Application
Recommended Usage

Immunocytochemistry/ Immunofluorescence

1:100-1:1000

Immunohistochemistry

1:100-1:1000

Immunohistochemistry-Paraffin

1:100-1:1000

Western Blot

1:500-1:3000

Formulation, Preparation, and Storage

Purification

Antigen Affinity-purified

Formulation

PBS, 20% Glycerol

Format

BSA Free

Preservative

0.025% Proclin 300

Concentration

Concentrations vary lot to lot. See vial label for concentration. If unlisted please contact technical services.

Shipping

The product is shipped with polar packs. Upon receipt, store it immediately at the temperature recommended below.

Stability & Storage

Aliquot and store at -20C or -80C. Avoid freeze-thaw cycles.

Background: MIS/AMH

Müllerian inhibiting substance (MIS), also named anti-Müllerian hormone (AMH), is a tissue-specific TGF-beta superfamily growth factor. Its expression is restricted to Sertoli cells of fetal and postnatal testis, and to granulosa cells of postnatal ovary. MIS is synthesized and secreted as a disulfide-linked homodimeric propeptide. Proteolytic cleavage is required to separate the N-terminal proregion from the C-terminal bioactive peptide. Both fragments remain associated in a non-covalent complex. The C-terminal sequence forms a cysteine knot via seven canonical cysteine residues found in TGF-beta superfamily members.

Long Name

Mullerian-inhibiting Substance/Anti-Mullerian Hormone

Alternate Names

AMH

Gene Symbol

AMH

Additional MIS/AMH Products

Product Documents for MIS/AMH Antibody - BSA Free

Certificate of Analysis

To download a Certificate of Analysis, please enter a lot number in the search box below.

Product Specific Notices for MIS/AMH Antibody - BSA Free

This product is for research use only and is not approved for use in humans or in clinical diagnosis. Primary Antibodies are guaranteed for 1 year from date of receipt.

Loading...
Loading...
Loading...
Loading...