Skip to main content

MiRP3 Antibody - BSA Free

Novus Biologicals, part of Bio-Techne | Catalog # NBP1-81049

Novus Biologicals, part of Bio-Techne
Catalog #
Availability
Size / Price
Qty
Loading...
NBP1-81049
NBP1-81049-25ul

Key Product Details

Species Reactivity

Validated:

Human

Predicted:

Mouse (94%), Rat (94%). Backed by our 100% Guarantee.

Applications

Immunohistochemistry, Immunohistochemistry-Paraffin, Western Blot, Immunocytochemistry/ Immunofluorescence

Label

Unconjugated

Antibody Source

Polyclonal Rabbit IgG

Format

BSA Free

Concentration

Concentrations vary lot to lot. See vial label for concentration. If unlisted please contact technical services.

Product Specifications

Immunogen

This antibody was developed against Recombinant Protein corresponding to amino acids: EKKSSLLLLYKDEERLWGEAMKPLPVVSGLRSVQVPLMLNMLQESVAPALSCTLCSMEGDSVSSESSSPDVHLTIQEEGADDELEETSETPLNESSEGSSEN

Clonality

Polyclonal

Host

Rabbit

Isotype

IgG

Description

Novus Biologicals Rabbit MiRP3 Antibody - BSA Free (NBP1-81049) is a polyclonal antibody validated for use in IHC, WB and ICC/IF. All Novus Biologicals antibodies are covered by our 100% guarantee.

Scientific Data Images for MiRP3 Antibody - BSA Free

Western Blot: MiRP3 Antibody [NBP1-81049]

Western Blot: MiRP3 Antibody [NBP1-81049]

Western Blot: MiRP3 Antibody [NBP1-81049] - Analysis in control (vector only transfected HEK293T lysate) and KCNE4 over-expression lysate (Co-expressed with a C-terminal myc-DDK tag (3.1 kDa) in mammalian HEK293T cells).
Immunocytochemistry/ Immunofluorescence: MiRP3 Antibody [NBP1-81049]

Immunocytochemistry/ Immunofluorescence: MiRP3 Antibody [NBP1-81049]

Immunocytochemistry/Immunofluorescence: MiRP3 Antibody [NBP1-81049] - Staining of human cell line BJ shows localization to nuclear bodies & microtubules. Antibody staining is shown in green.
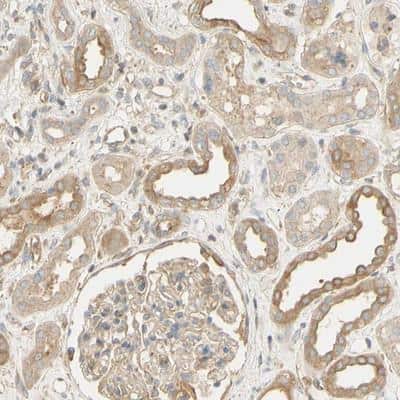
Immunohistochemistry-Paraffin: MiRP3 Antibody [NBP1-81049]

Immunohistochemistry-Paraffin: MiRP3 Antibody [NBP1-81049]

Immunohistochemistry-Paraffin: MiRP3 Antibody [NBP1-81049] - Staining of human kidney shows moderate cytoplasmic positivity in cells in tubules.

Applications for MiRP3 Antibody - BSA Free

Application
Recommended Usage

Immunocytochemistry/ Immunofluorescence

0.25-2 ug/ml

Immunohistochemistry

1:50 - 1:200

Immunohistochemistry-Paraffin

1:50 - 1:200

Western Blot

0.04-0.4 ug/ml
Application Notes
For IHC-Paraffin, HIER pH 6 retrieval is recommended. ICC/IF Fixation Permeabilization: Use PFA/Triton X-100.

Formulation, Preparation, and Storage

Purification

Affinity purified

Formulation

PBS (pH 7.2) and 40% Glycerol

Format

BSA Free

Preservative

0.02% Sodium Azide

Concentration

Concentrations vary lot to lot. See vial label for concentration. If unlisted please contact technical services.

Shipping

The product is shipped with polar packs. Upon receipt, store it immediately at the temperature recommended below.

Stability & Storage

Store at 4C short term. Aliquot and store at -20C long term. Avoid freeze-thaw cycles.

Background: MiRP3

Voltage-gated potassium (Kv) channels represent the most complex class of voltage-gated ion channels from bothfunctional and structural standpoints. Their diverse functions include regulating neurotransmitter release, heartrate, insulin secretion, neuronal excitability, epithelial electrolyte transport, smooth muscle contraction, and cellvolume. This gene encodes a member of the potassium channel, voltage-gated, isk-related subfamily. This member is atype I membrane protein, and a beta subunit that assembles with a potassium channel alpha-subunit to modulate thegating kinetics and enhance stability of the multimeric complex. This gene is prominently expressed in the embryo andin adult uterus. (provided by RefSeq)

Alternate Names

cardiac voltage-gated potassium channel accessory subunit 4, MGC20353, Minimum potassium ion channel-related peptide 3, MinK-related peptide 3, MIRP3, Potassium channel subunit beta MiRP3, potassium voltage-gated channel subfamily E member 4, potassium voltage-gated channel, Isk-related family, member 4

Entrez Gene IDs

23704 (Human)

Gene Symbol

KCNE4

Additional MiRP3 Products

Product Documents for MiRP3 Antibody - BSA Free

Certificate of Analysis

To download a Certificate of Analysis, please enter a lot number in the search box below.

Product Specific Notices for MiRP3 Antibody - BSA Free

This product is for research use only and is not approved for use in humans or in clinical diagnosis. Primary Antibodies are guaranteed for 1 year from date of receipt.

Loading...
Loading...
Loading...
Loading...