Skip to main content

MIER1 Antibody - BSA Free

Novus Biologicals, part of Bio-Techne | Catalog # NBP3-45915

Novus Biologicals, part of Bio-Techne
Catalog #
Availability
Size / Price
Qty
Loading...
NBP3-45915

Key Product Details

Species Reactivity

Human, Mouse, Rat

Applications

ELISA, Immunocytochemistry/ Immunofluorescence, Immunohistochemistry, Western Blot

Label

Unconjugated

Antibody Source

Polyclonal Rabbit IgG

Format

BSA Free

Concentration

Please see the vial label for concentration. If unlisted please contact technical services.

Product Specifications

Immunogen

mesoderm induction early response 1 homolog(Xenopus laevis). (Uniprot# Q8N108)

Clonality

Polyclonal

Host

Rabbit

Isotype

IgG

Theoretical MW

82 kDa.
Disclaimer note: The observed molecular weight of the protein may vary from the listed predicted molecular weight due to post translational modifications, post translation cleavages, relative charges, and other experimental factors.

Description

Novus Biologicals Rabbit MIER1 Antibody - BSA Free (NBP3-45915) is a polyclonal antibody validated for use in IHC, WB, ELISA and ICC/IF. All Novus Biologicals antibodies are covered by our 100% guarantee.

Scientific Data Images for MIER1 Antibody - BSA Free

MIER1 Antibody - BSA Free

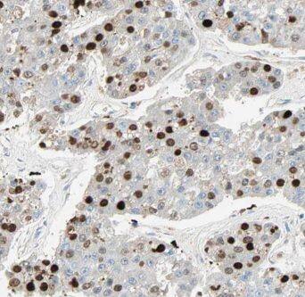
Immunohistochemistry: MIER1 Antibody - BSA Free [NBP3-45915] -

Immunohistochemistry: MIER1 Antibody - BSA Free [NBP3-45915] - Immunohistochemistry of paraffin-embedded human pancreas cancer tissue slide using (MIER1 Antibody) at dilution of 1:50
MIER1 Antibody - BSA Free

Western Blot: MIER1 Antibody - BSA Free [NBP3-45915] -

Western Blot: MIER1 Antibody - BSA Free [NBP3-45915] - Human testis tissue were subjected to SDS PAGE followed by western blot with (MIER1 antibody) at dilution of 1:500

Applications for MIER1 Antibody - BSA Free

Application
Recommended Usage

Immunocytochemistry/ Immunofluorescence

1:20-1:200

Immunohistochemistry

1:20-1:200

Western Blot

1:500-1:2000

Formulation, Preparation, and Storage

Purification

Immunogen affinity purified

Formulation

PBS, 50% Glycerol, pH (7.3)

Format

BSA Free

Preservative

0.02% Sodium Azide

Concentration

Please see the vial label for concentration. If unlisted please contact technical services.

Shipping

The product is shipped with polar packs. Upon receipt, store it immediately at the temperature recommended below.

Stability & Storage

Store at -20C. Avoid freeze-thaw cycles.

Background: MIER1

Transcriptional repressor of a number of genes including Sp1 target genes

Alternate Names

DKFZp781G0451, Early response 1, Er1, hMi-er1, KIAA1610MI-ER1, mesoderm induction early response 1 (MI-ER1), mesoderm induction early response 1 homolog (Xenopus laevis), mesoderm induction early response protein 1, MGC131940, MGC150640, MGC150641, Mi-er1

Gene Symbol

MIER1

Additional MIER1 Products

Product Documents for MIER1 Antibody - BSA Free

Certificate of Analysis

To download a Certificate of Analysis, please enter a lot number in the search box below.

Product Specific Notices for MIER1 Antibody - BSA Free

This product is for research use only and is not approved for use in humans or in clinical diagnosis. Primary Antibodies are guaranteed for 1 year from date of receipt.

Loading...
Loading...
Loading...
Loading...