Microsomal Glutathione S-transferase 1 Antibody (14H2-R)
Novus Biologicals, part of Bio-Techne | Catalog # NBP3-32594
Recombinant Monoclonal Antibody
Key Product Details
Species Reactivity
Human
Applications
Immunohistochemistry, Immunohistochemistry-Paraffin, Western Blot
Label
Unconjugated
Antibody Source
Recombinant Monoclonal Mouse IgG1 Clone # 14H2-R expressed in HEK293
Concentration
1 mg/ml
Product Specifications
Immunogen
Recombinant protein within Human Microsomal Glutathione S-transferase 1 aa 1-144 / 155. (Uniprot: P10620)
Localization
Endoplasmic reticulum, Mitochondrion.
Clonality
Monoclonal
Host
Mouse
Isotype
IgG1
Theoretical MW
18 kDa.
Disclaimer note: The observed molecular weight of the protein may vary from the listed predicted molecular weight due to post translational modifications, post translation cleavages, relative charges, and other experimental factors.
Disclaimer note: The observed molecular weight of the protein may vary from the listed predicted molecular weight due to post translational modifications, post translation cleavages, relative charges, and other experimental factors.
Description
Novus Biologicals Mouse Microsomal Glutathione S-transferase 1 Antibody (14H2-R) (NBP3-32594) is a recombinant monoclonal antibody validated for use in IHC and WB. All Novus Biologicals antibodies are covered by our 100% guarantee.
Scientific Data Images for Microsomal Glutathione S-transferase 1 Antibody (14H2-R)
Western Blot: Microsomal Glutathione S-transferase 1 Antibody (14H2-R) [NBP3-32594]
Western Blot: Microsomal Glutathione S-transferase 1 Antibody (14H2-R) [NBP3-32594] - Western blot analysis of Microsomal Glutathione S-transferase 1 on different lysates with Mouse anti-Microsomal Glutathione S-transferase 1 antibody (NBP3-32594) at 1/1,000 dilution.Lane 1: SiHa cell lysate
Lane 2: HepG2 cell lysate
Lane 3: A549 cell lysate
Lane 4: U-937 cell lysate
Lane 5: MCF7 cell lysate
Lysates/proteins at 20 ug/Lane.
Predicted band size: 18 kDa
Observed band size: 15 kDa
Exposure time: 10 seconds;
4-20% SDS-PAGE gel.
Proteins were transferred to a PVDF membrane and blocked with 5% NFDM/TBST for 1 hour at room temperature. The primary antibody (NBP3-32594) at 1/1,000 dilution was used in 5% NFDM/TBST at 4 overnight. Goat Anti-Mouse IgG - HRP Secondary Antibody at 1/50,000 dilution was used for 1 hour at room temperature.
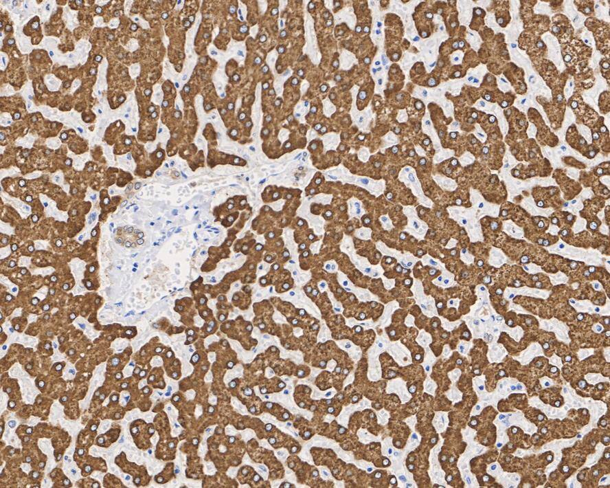
Immunohistochemistry: Microsomal Glutathione S-transferase 1 Antibody (14H2-R) [NBP3-32594]
Immunohistochemistry: Microsomal Glutathione S-transferase 1 Antibody (14H2-R) [NBP3-32594] - Immunohistochemical analysis of paraffin-embedded human liver tissue with Mouse anti-Microsomal Glutathione S-transferase 1 antibody (NBP3-32594) at 1/1,000 dilution.The section was pre-treated using heat mediated antigen retrieval with Tris-EDTA buffer (pH 9.0) for 20 minutes. The tissues were blocked in 1% BSA for 20 minutes at room temperature, washed with ddH2O and PBS, and then probed with the primary antibody (NBP3-32594) at 1/1,000 dilution for 1 hour at room temperature. The detection was performed using an HRP conjugated compact polymer system. DAB was used as the chromogen. Tissues were counterstained with hematoxylin and mounted with DPX.
Applications for Microsomal Glutathione S-transferase 1 Antibody (14H2-R)
Application
Recommended Usage
Immunohistochemistry-Paraffin
1:1000
Western Blot
1:1000
Formulation, Preparation, and Storage
Purification
Protein A purified
Formulation
PBS (pH7.4), 0.1% BSA and 40% Glycerol
Preservative
0.05% Sodium Azide
Concentration
1 mg/ml
Shipping
The product is shipped with polar packs. Upon receipt, store it immediately at the temperature recommended below.
Stability & Storage
Store at 4C short term. Aliquot and store at -20C long term. Avoid freeze-thaw cycles.
Background: Microsomal Glutathione S-transferase 1
Alternate Names
glutathione S-transferase 12, GST12EC 2.5.1.18, MGC14525, MGST, MGST-I, microsomal glutathione S-transferase 1, Microsomal GST-1, Microsomal GST-I
Gene Symbol
MGST1
Additional Microsomal Glutathione S-transferase 1 Products
Product Documents for Microsomal Glutathione S-transferase 1 Antibody (14H2-R)
Product Specific Notices for Microsomal Glutathione S-transferase 1 Antibody (14H2-R)
This product is for research use only and is not approved for use in humans or in clinical diagnosis. Primary Antibodies are guaranteed for 1 year from date of receipt.
Loading...
Loading...
Loading...
Loading...