Skip to main content

MICALL1 Antibody - BSA Free

Novus Biologicals, part of Bio-Techne | Catalog # NBP2-70017

Novus Biologicals, part of Bio-Techne

Key Product Details

Species Reactivity

Human

Applications

Immunohistochemistry, Immunohistochemistry-Paraffin, Western Blot, Immunocytochemistry/ Immunofluorescence, Flow Cytometry (Negative)

Label

Unconjugated

Antibody Source

Polyclonal Rabbit IgG

Format

BSA Free

Concentration

1.0 mg/ml

Product Specifications

Immunogen

Synthetic peptide made to an internal portion of the human MICALL1 protein (between amino acids 200-280) [UniProt Q8N3F8]

Clonality

Polyclonal

Host

Rabbit

Isotype

IgG

Description

Novus Biologicals Rabbit MICALL1 Antibody - BSA Free (NBP2-70017) is a polyclonal antibody validated for use in IHC, WB and ICC/IF. All Novus Biologicals antibodies are covered by our 100% guarantee.

Scientific Data Images for MICALL1 Antibody - BSA Free

Western Blot: MICALL1 AntibodyBSA Free [NBP2-70017]

Western Blot: MICALL1 AntibodyBSA Free [NBP2-70017]

Western Blot: MICALL1 Antibody [NBP2-70017] - Total protein from HEK293, A431 and U2OS was separated on a 7.5% gel by SDS-PAGE, transferred to PVDF membrane and blocked in 5% non-fat milk in TBST. The membrane was probed with 1.0 ug/ml anti-MICALL1 in 5% block buffer and detected with an anti-rabbit HRP secondary antibody using chemiluminescence.
Immunocytochemistry/ Immunofluorescence: MICALL1 Antibody - BSA Free [NBP2-70017]

Immunocytochemistry/ Immunofluorescence: MICALL1 Antibody - BSA Free [NBP2-70017]

Immunocytochemistry/Immunofluorescence: MICALL1 Antibody [NBP2-70017] - A431 cells were fixed for 10 minutes using 10% formalin and then permeabilized for 5 minutes using 1X PBS + 0.05% Triton-X100. The cells were incubated with anti-MICALL1 at 5 ug/ml overnight at 4C and detected with an anti-rabbit Dylight 488 (Green) at a 1:500 dilution. Nuclei were counterstained with DAPI (Blue). Cells were imaged using a 40X objective.
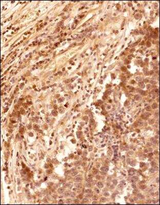
Immunohistochemistry-Paraffin: MICALL1 Antibody - BSA Free [NBP2-70017]

Immunohistochemistry-Paraffin: MICALL1 Antibody - BSA Free [NBP2-70017]

Immunohistochemistry-Paraffin: MICALL1 Antibody [NBP2-70017] - IHC analysis of a formalin fixed paraffin embedded tissue section of the human testis using 1:200 dilution of MICALL1 antibody (NBP2-70017). The signal was developed using HRP-DAB method which followed counterstaining of the cells with hematoxylin. The antibody generated mainly a moderate whole cell with nuclear staining.

Applications for MICALL1 Antibody - BSA Free

Application
Recommended Usage

Immunocytochemistry/ Immunofluorescence

5 ug/ml

Immunohistochemistry

1:200

Immunohistochemistry-Paraffin

1:200

Western Blot

1 ug/ml

Formulation, Preparation, and Storage

Purification

Immunogen affinity purified

Formulation

PBS

Format

BSA Free

Preservative

0.02% Sodium Azide

Concentration

1.0 mg/ml

Shipping

The product is shipped with polar packs. Upon receipt, store it immediately at the temperature recommended below.

Stability & Storage

Store at 4C for up to 3 months. For longer storage, aliquot and store at -20C.

Background: MICALL1

MICALL1 may be a cytoskeletal regulator

Alternate Names

DKFZp686M2226, KIAA1668, MICAL-L1, MICAL-like 1, MICAL-like protein 1

Gene Symbol

MICALL1

Additional MICALL1 Products

Product Documents for MICALL1 Antibody - BSA Free

Certificate of Analysis

To download a Certificate of Analysis, please enter a lot number in the search box below.

Product Specific Notices for MICALL1 Antibody - BSA Free

This product is for research use only and is not approved for use in humans or in clinical diagnosis. Primary Antibodies are guaranteed for 1 year from date of receipt.

Loading...
Loading...
Loading...
Loading...