Skip to main content

MICALL1 Antibody - Azide and BSA Free

Novus Biologicals, part of Bio-Techne | Catalog # H00085377-B01P

Novus Biologicals, part of Bio-Techne
Catalog #
Availability
Size / Price
Qty
Loading...
H00085377-B01P

Key Product Details

Species Reactivity

Validated:

Human, Mouse, Rat

Cited:

Human

Applications

Validated:

Immunohistochemistry, Immunohistochemistry-Paraffin, Western Blot, Immunocytochemistry/ Immunofluorescence, Immunoprecipitation

Cited:

Western Blot, Immunocytochemistry/ Immunofluorescence, Immunoprecipitation, IF/IHC

Label

Unconjugated

Antibody Source

Polyclonal Mouse IgG

Format

Azide and BSA Free

Concentration

Concentrations vary lot to lot. See vial label for concentration. If unlisted please contact technical services.

Product Specifications

Immunogen

MICAL-L1 (AAI48805.1, 1 a.a. - 863 a.a.) full-length human protein. MAGPRGALLAWCRRQCEGYRGVEIRDLSSSFRDGLAFCAILHRHRPDLLDFDSLSKDNVFENNRLAFEVAEKELGIPALLDPNDMVSMSVPDCLSIMTYVSQYYNHFCSPGQAGVSPPRKGLAPCSPPSVAPTPVEPEDVAQGEELSSGSLSEQGTGQTPSSTCAACQQHVHLVQRYLADGRLYHRHCFRCRRCSSTLLPGAYENGPEEGTFVCAEHCARLGPGTRSGTRPGPFSQPKQQHQQQLAEDAKDVPGGGPSSSAPAGAEADGPKASPEARPQIPTKPRVPGKLQELASPPAGRPTPAPRKASESTTPAPPTPRPRSSLQQENLVEQAGSSSLVNGRLHELPVPKPRGTPKPSEGTPAPRKDPPWITLVQAEPKKKPAPLPPSSSPGPPSQDSRQVENGGTEEVAQPSPTASLESKPYNPFEEEEEDKEEEAPAAPSLATSPALGHPESTPKSLHPWYGITPTSSPKTKKRPAPRAPSASPLALHASRLSHSEPPSATPSPALSVESLSSESASQTAGAELLEPPAVPKSSSEPAVHAPGTPGNPVSLSTNSSLASSGELVEPRVEQMPQASPGLAPRTRGSSGPQPAKPCSGATPTPLLLVGDRSPVPSPGSSSPQLQVKSSCKENPFNRKPSPAASPATKKATKGSKPVRPPAPGHGFPLIKRKVQADQYIPEEDIHGEMDTIERRLDALEHRGVLLEEKLRGGLNEGREDDMLVDWFKLIHEKHLLVRRESELIYVFKQQNLEQRQADVEYELRCLLNKPEKDWTEEDRAREKVLMQELVTLIEQRNAIINCLDEDRQREEEEDKMLEAMIKKKEFQREAEPEGKKKGKFKTMKMLKLLGNKRDAKSKSPRDKS

Specificity

MICAL-L1 - MICAL-like 1,

Clonality

Polyclonal

Host

Mouse

Isotype

IgG

Scientific Data Images for MICALL1 Antibody - Azide and BSA Free

Western Blot: MICALL1 Antibody [H00085377-B01P]

Western Blot: MICALL1 Antibody [H00085377-B01P]

Western Blot: MICALL1 Antibody [H00085377-B01P] - Analysis of MICALL1 expression in transfected 293T cell line by MICALL1 polyclonal antibody. Lane 1: MICAL-L1 transfected lysate(94.93 KDa). Lane 2: Non-transfected lysate.
Immunocytochemistry/ Immunofluorescence: MICALL1 Antibody [H00085377-B01P]

Immunocytochemistry/ Immunofluorescence: MICALL1 Antibody [H00085377-B01P]

MICALL1-Antibody-Immunocytochemistry-Immunofluorescence-H00085377-B01P-img0008.jpg
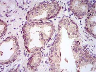
Immunohistochemistry-Paraffin: MICALL1 Antibody [H00085377-B01P]

Immunohistochemistry-Paraffin: MICALL1 Antibody [H00085377-B01P]

Immunohistochemistry-Paraffin: MICALL1 Antibody [H00085377-B01P] - IHC staining of MICALL1 in human prostate cancer using DAB with hematoxylin counterstain.

Applications for MICALL1 Antibody - Azide and BSA Free

Application
Recommended Usage

Immunohistochemistry

1:10-1:500

Immunohistochemistry-Paraffin

1:400

Immunoprecipitation

1:10-1:500

Western Blot

1:100-1:2000
Application Notes
Antibody reactive against Recombinant Protein with GST tag on ELISA and Western Blot and also on transfected lysate in western blot. GST tag alone is used as a negative control. Antibody is also useful for Immunohistochemistry on paraffin-embedded sections. Immunocytochemistry/Immunofluorescence, Immunohistochemistry and Immunoprecipitation were reported in scientific literature, but Immunocytochemistry/Immunofluorescence has been experiencing lot-to-lot variations. Use in Immunocytochemistry/immunofluorescence reported in scientific literature (PMID: 24019528).

Formulation, Preparation, and Storage

Purification

Protein A purified

Formulation

PBS (pH 7.4)

Format

Azide and BSA Free

Preservative

No Preservative

Concentration

Concentrations vary lot to lot. See vial label for concentration. If unlisted please contact technical services.

Shipping

The product is shipped with polar packs. Upon receipt, store it immediately at the temperature recommended below.

Stability & Storage

Aliquot and store at -20C or -80C. Avoid freeze-thaw cycles.

Background: MICALL1

MICALL1 may be a cytoskeletal regulator

Alternate Names

DKFZp686M2226, KIAA1668, MICAL-L1, MICAL-like 1, MICAL-like protein 1

Entrez Gene IDs

85377 (Human)

Gene Symbol

MICALL1

UniProt

Additional MICALL1 Products

Product Documents for MICALL1 Antibody - Azide and BSA Free

Certificate of Analysis

To download a Certificate of Analysis, please enter a lot number in the search box below.

Product Specific Notices for MICALL1 Antibody - Azide and BSA Free

This product is produced by and distributed for Abnova, a company based in Taiwan.

This product is for research use only and is not approved for use in humans or in clinical diagnosis. Primary Antibodies are guaranteed for 1 year from date of receipt.

Loading...
Loading...
Loading...
Loading...