Skip to main content

MGP Antibody - BSA Free

Novus Biologicals, part of Bio-Techne | Catalog # NBP3-38153

Novus Biologicals, part of Bio-Techne
Catalog #
Availability
Size / Price
Qty
Loading...
NBP3-38153-20ul
NBP3-38153-100ul

Key Product Details

Species Reactivity

Human, Mouse, Rat

Applications

ELISA, Immunocytochemistry/ Immunofluorescence, Immunohistochemistry, Immunohistochemistry-Paraffin, Western Blot

Label

Unconjugated

Antibody Source

Polyclonal Rabbit IgG

Format

BSA Free

Concentration

Please see the vial label for concentration. If unlisted please contact technical services.

Product Specifications

Immunogen

Recombinant fusion protein containing a sequence corresponding to amino acids 20-103 of human MGP (NP_000891.2).

Sequence:
YESHESMESYELNPFINRRNANTFISPQQRWRAKVQERIRERSKPVHELNREACDDYRLCERYAMVYGYNAAYNRYFRKRRGTK

Clonality

Polyclonal

Host

Rabbit

Isotype

IgG

Theoretical MW

12 kDa.
Disclaimer note: The observed molecular weight of the protein may vary from the listed predicted molecular weight due to post translational modifications, post translation cleavages, relative charges, and other experimental factors.

Description

Novus Biologicals Rabbit MGP Antibody - BSA Free (NBP3-38153) is a polyclonal antibody validated for use in IHC, WB, ELISA and ICC/IF. All Novus Biologicals antibodies are covered by our 100% guarantee.

Scientific Data Images for MGP Antibody - BSA Free

MGP Antibody

Immunocytochemistry/ Immunofluorescence: MGP Antibody [NBP3-38153] -

Immunocytochemistry/ Immunofluorescence: MGP Antibody [NBP3-38153] - Immunofluorescence analysis of paraffin-embedded Rat cartilage using MGP Rabbit pAb at dilution of 1:100 (40x lens). Secondary antibody: Cy3-conjugated Goat anti-Rabbit IgG (H+L) at 1:500 dilution. Blue: DAPI for nuclear staining.
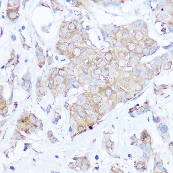
MGP Antibody

Immunohistochemistry: MGP Antibody [NBP3-38153] -

Immunohistochemistry: MGP Antibody [NBP3-38153] - Immunohistochemistry analysis of paraffin-embedded Human breast cancer using MGP Rabbit pAb at dilution of 1:100 (40x lens). High pressure antigen retrieval performed with 0.01M Citrate Bufferr (pH 6.0) prior to IHC staining.
MGP Antibody

Western Blot: MGP Antibody [NBP3-38153] -

Western Blot: MGP Antibody [NBP3-38153] - Western blot analysis of lysates from SH-SY5Y cells, using MGP Rabbit pAb at 1:1000 dilution.
Secondary antibody: HRP-conjugated Goat anti-Rabbit IgG (H+L) at 1:10000 dilution.
Lysates/proteins: 25ug per lane.
Blocking buffer: 3% nonfat dry milk in TBST.
Detection: ECL Basic Kit.
Exposure time: 180s.

Applications for MGP Antibody - BSA Free

Application
Recommended Usage

ELISA

Recommended starting concentration is 1 μg/mL. Please optimize the concentration based on your specific assay requirements.

Immunocytochemistry/ Immunofluorescence

1:50 - 1:200

Immunohistochemistry-Paraffin

1:50 - 1:200

Western Blot

1:500 - 1:1000

Formulation, Preparation, and Storage

Purification

Affinity purified

Formulation

PBS (pH 7.3), 50% glycerol

Format

BSA Free

Preservative

0.05% Proclin 300

Concentration

Please see the vial label for concentration. If unlisted please contact technical services.

Shipping

The product is shipped with polar packs. Upon receipt, store it immediately at the temperature recommended below.

Stability & Storage

Store at -20C. Avoid freeze-thaw cycles.

Background: MGP

Associates with the organic matrix of bone and cartilage. Thought to act as an inhibitor of bone formation

Alternate Names

Cell growth-inhibiting gene 36 protein, matrix Gla protein, MGLAP, NTI

Gene Symbol

MGP

Additional MGP Products

Product Documents for MGP Antibody - BSA Free

Certificate of Analysis

To download a Certificate of Analysis, please enter a lot number in the search box below.

Product Specific Notices for MGP Antibody - BSA Free

This product is for research use only and is not approved for use in humans or in clinical diagnosis. Primary Antibodies are guaranteed for 1 year from date of receipt.

Loading...
Loading...
Loading...
Loading...