Skip to main content

mGluR3 Antibody (7A5A6) - BSA Free

Novus Biologicals, part of Bio-Techne | Catalog # NBP2-61843

Novus Biologicals, part of Bio-Techne
Catalog #
Availability
Size / Price
Qty
Loading...
NBP2-61843-0.025ml
NBP2-61843

Key Product Details

Species Reactivity

Validated:

Human

Cited:

Human

Applications

Validated:

Immunohistochemistry, Immunohistochemistry-Paraffin, Western Blot, ELISA, Flow Cytometry, Immunocytochemistry/ Immunofluorescence

Cited:

Western Blot

Label

Unconjugated

Antibody Source

Monoclonal Mouse IgG2A Clone # 7A5A6

Format

BSA Free

Concentration

1 mg/ml

Product Specifications

Immunogen

Purified recombinant fragment of human mGluR3 (AA: extra 433-576) expressed in E. Coli.

Clonality

Monoclonal

Host

Mouse

Isotype

IgG2A

Theoretical MW

99 kDa.
Disclaimer note: The observed molecular weight of the protein may vary from the listed predicted molecular weight due to post translational modifications, post translation cleavages, relative charges, and other experimental factors.

Description

Novus Biologicals Mouse mGluR3 Antibody (7A5A6) - BSA Free (NBP2-61843) is a monoclonal antibody validated for use in IHC, WB, ELISA, Flow and ICC/IF. Anti-mGluR3 Antibody: Cited in 1 publication. All Novus Biologicals antibodies are covered by our 100% guarantee.

Scientific Data Images for mGluR3 Antibody (7A5A6) - BSA Free

Western Blot: mGluR3 Antibody (7A5A6)BSA Free [NBP2-61843]

Western Blot: mGluR3 Antibody (7A5A6)BSA Free [NBP2-61843]

Western Blot: mGluR3 Antibody (7A5A6) [NBP2-61843] - Analysis using GRM3 mAb against human GRM3 (AA: extra 433-576) recombinant protein. (Expected MW is 42.4 kDa)
Immunocytochemistry/ Immunofluorescence: mGluR3 Antibody (7A5A6) - BSA Free [NBP2-61843]

Immunocytochemistry/ Immunofluorescence: mGluR3 Antibody (7A5A6) - BSA Free [NBP2-61843]

Immunocytochemistry/Immunofluorescence: mGluR3 Antibody (7A5A6) [NBP2-61843] - Analysis of Hela cells using GRM3 mouse mAb (green). Blue: DRAQ5 fluorescent DNA dye. Red: Actin filaments have been labeled with Alexa Fluor- 555 phalloidin. Secondary antibody from Fisher (Cat#: 35503)
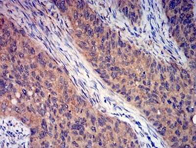
Immunohistochemistry-Paraffin: mGluR3 Antibody (7A5A6) - BSA Free [NBP2-61843]

Immunohistochemistry-Paraffin: mGluR3 Antibody (7A5A6) - BSA Free [NBP2-61843]

Immunohistochemistry-Paraffin: mGluR3 Antibody (7A5A6) [NBP2-61843] - Analysis of cervical cancer tissues using GRM3 mouse mAb with DAB staining.

Applications for mGluR3 Antibody (7A5A6) - BSA Free

Application
Recommended Usage

ELISA

1:100-1:2000

Flow Cytometry

1:10-1:1000

Immunocytochemistry/ Immunofluorescence

1:10-1:500

Immunohistochemistry

1:10-1:1000

Immunohistochemistry-Paraffin

1:200 - 1:1000

Western Blot

1:100-1:2000

Formulation, Preparation, and Storage

Purification

Protein G purified

Formulation

PBS

Format

BSA Free

Preservative

0.05% Sodium Azide

Concentration

1 mg/ml

Shipping

The product is shipped with polar packs. Upon receipt, store it immediately at the temperature recommended below.

Stability & Storage

Store at 4C short term. Aliquot and store at -20C long term. Avoid freeze-thaw cycles.

Background: mGluR3

L-glutamate is the major excitatory neurotransmitter in the central nervous system and activates both ionotropic and metabotropic glutamate receptors. Glutamatergic neurotransmission is involved in most aspects of normal brain function and can be perturbed in many neuropathologic conditions. The metabotropic glutamate receptors are a family of G protein-coupled receptors, that have been divided into 3 groups on the basis of sequence homology, putative signal transduction mechanisms, and pharmacologic properties. Group I includes GRM1 and GRM5 and these receptors have been shown to activate phospholipase C. Group II includes GRM2 and GRM3 while Group III includes GRM4, GRM6, GRM7 and GRM8. Group II and III receptors are linked to the inhibition of the cyclic AMP cascade but differ in their agonist selectivities.

Long Name

Metabotropic Glutamate Receptor 3

Alternate Names

GPRC1C, GRM3

Gene Symbol

GRM3

Additional mGluR3 Products

Product Documents for mGluR3 Antibody (7A5A6) - BSA Free

Certificate of Analysis

To download a Certificate of Analysis, please enter a lot number in the search box below.

Product Specific Notices for mGluR3 Antibody (7A5A6) - BSA Free

This product is for research use only and is not approved for use in humans or in clinical diagnosis. Primary Antibodies are guaranteed for 1 year from date of receipt.

Loading...
Loading...
Loading...
Loading...
Loading...