Skip to main content

MGC4618 Antibody - BSA Free

Novus Biologicals, part of Bio-Techne | Catalog # NBP3-45211

Novus Biologicals, part of Bio-Techne
Catalog #
Availability
Size / Price
Qty
Loading...
NBP3-45211

Key Product Details

Species Reactivity

Human, Mouse, Rat

Applications

Immunohistochemistry, Western Blot, ELISA

Label

Unconjugated

Antibody Source

Polyclonal Rabbit IgG

Format

BSA Free

Concentration

Please see the vial label for concentration. If unlisted please contact technical services.

Product Specifications

Immunogen

transmembrane protein 175. (Uniprot# Q9BSA9)

Clonality

Polyclonal

Host

Rabbit

Isotype

IgG

Description

Novus Biologicals Rabbit MGC4618 Antibody - BSA Free (NBP3-45211) is a polyclonal antibody validated for use in IHC, WB and ELISA. All Novus Biologicals antibodies are covered by our 100% guarantee.

Scientific Data Images for MGC4618 Antibody - BSA Free

MGC4618 Antibody - BSA Free

Western Blot: MGC4618 Antibody - BSA Free [NBP3-45211] -

Western Blot: MGC4618 Antibody - BSA Free [NBP3-45211] - HepG2 cells were subjected to SDS PAGE followed by western blot with (MGC4618 antibody) at dilution of 1:500
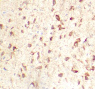
MGC4618 Antibody - BSA Free

Immunohistochemistry: MGC4618 Antibody - BSA Free [NBP3-45211] -

Immunohistochemistry: MGC4618 Antibody - BSA Free [NBP3-45211] - Immunohistochemistry of paraffin-embedded mouse brain using (MGC4618 antibody) at dilution of 1:100

Applications for MGC4618 Antibody - BSA Free

Application
Recommended Usage

Immunohistochemistry

1:50 - 1:200

Western Blot

1:500 - 1:2000
Application Notes
Theoretical Molecular Weight is 54-60 kDa, 41-45 kDa

Formulation, Preparation, and Storage

Purification

Immunogen affinity purified

Formulation

PBS, 50% Glycerol, pH (7.3)

Format

BSA Free

Preservative

0.02% Sodium Azide

Concentration

Please see the vial label for concentration. If unlisted please contact technical services.

Shipping

The product is shipped with polar packs. Upon receipt, store it immediately at the temperature recommended below.

Stability & Storage

Store at -20C. Avoid freeze-thaw cycles.

Background: MGC4618

Alternate Names

MGC4618, transmembrane protein 175

Gene Symbol

TMEM175

Additional MGC4618 Products

Product Documents for MGC4618 Antibody - BSA Free

Certificate of Analysis

To download a Certificate of Analysis, please enter a lot number in the search box below.

Product Specific Notices for MGC4618 Antibody - BSA Free

This product is for research use only and is not approved for use in humans or in clinical diagnosis. Primary Antibodies are guaranteed for 1 year from date of receipt.

Loading...
Loading...
Loading...
Loading...