MGC4618 Antibody - BSA Free
Novus Biologicals, part of Bio-Techne | Catalog # NBP2-49247
Key Product Details
Species Reactivity
Human
Applications
Immunohistochemistry, Immunohistochemistry-Paraffin
Label
Unconjugated
Antibody Source
Polyclonal Rabbit IgG
Format
BSA Free
Concentration
Concentrations vary lot to lot. See vial label for concentration. If unlisted please contact technical services.
Product Specifications
Immunogen
This antibody was developed against a recombinant protein corresponding to amino acids: YAFHFPHLLSPQIQRSAHRALYRRHVL
Reactivity Notes
Rat (81%)
Clonality
Polyclonal
Host
Rabbit
Isotype
IgG
Scientific Data Images for MGC4618 Antibody - BSA Free
Immunohistochemistry-Paraffin: MGC4618 Antibody [NBP2-49247]
Immunohistochemistry-Paraffin: MGC4618 Antibody [NBP2-49247] - Staining of human skeletal muscle shows moderate positivity in nuclear membrane in myocytes.Immunohistochemistry-Paraffin: MGC4618 Antibody [NBP2-49247]
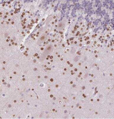
Immunohistochemistry-Paraffin: MGC4618 Antibody [NBP2-49247] - Staining of human cerebellum sows moderate positivity in nuclear membrane in glial cells.Immunohistochemistry-Paraffin: MGC4618 Antibody [NBP2-49247]
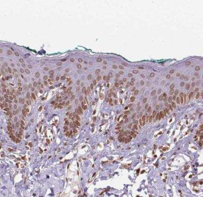
Immunohistochemistry-Paraffin: MGC4618 Antibody [NBP2-49247] - Staining of human skin shows moderate positivity in nuclear membrane in squamous epithelial cells.Applications for MGC4618 Antibody - BSA Free
Application
Recommended Usage
Immunohistochemistry
1:200 - 1:500
Immunohistochemistry-Paraffin
1:200 - 1:500
Application Notes
IHC-Paraffin, HIER pH 6 retrieval is recommended.
Formulation, Preparation, and Storage
Purification
Affinity purified
Formulation
PBS (pH 7.2) and 40% Glycerol
Format
BSA Free
Preservative
0.02% Sodium Azide
Concentration
Concentrations vary lot to lot. See vial label for concentration. If unlisted please contact technical services.
Shipping
The product is shipped with polar packs. Upon receipt, store it immediately at the temperature recommended below.
Stability & Storage
Store at 4C short term. Aliquot and store at -20C long term. Avoid freeze-thaw cycles.
Background: MGC4618
Alternate Names
MGC4618, transmembrane protein 175
Gene Symbol
TMEM175
Additional MGC4618 Products
Product Documents for MGC4618 Antibody - BSA Free
Product Specific Notices for MGC4618 Antibody - BSA Free
This product is for research use only and is not approved for use in humans or in clinical diagnosis. Primary Antibodies are guaranteed for 1 year from date of receipt.
Loading...
Loading...
Loading...
Loading...