Skip to main content

MFF Antibody - BSA Free

Novus Biologicals, part of Bio-Techne | Catalog # NBP1-86799

Novus Biologicals, part of Bio-Techne
Catalog #
Availability
Size / Price
Qty
Loading...
NBP1-86799
NBP1-86799-25ul

Key Product Details

Validated by

Orthogonal Validation

Species Reactivity

Validated:

Human, Rat

Cited:

Human, Rat

Predicted:

Mouse (94%). Backed by our 100% Guarantee.

Applications

Validated:

Immunohistochemistry, Immunohistochemistry-Paraffin, Western Blot

Cited:

Western Blot

Label

Unconjugated

Antibody Source

Polyclonal Rabbit IgG

Format

BSA Free

Concentration

Concentrations vary lot to lot. See vial label for concentration. If unlisted please contact technical services.

Product Specifications

Immunogen

This antibody was developed against Recombinant Protein corresponding to amino acids: RFQAPISAPEYTVTPSPQQARVCPPHMLPEDGANLSSARGILSLIQSSTRRAYQQILDVLDENRRPVLRGGSAAATSNPHHDNVRYGISNIDTTIEGTSDDLTVVDAASLRRQIIKLNRRLQLLEEENKERAKR

Reactivity Notes

Rat reactivity reported in the scientific literature (PMID: 25012575).

Clonality

Polyclonal

Host

Rabbit

Isotype

IgG

Description

Novus Biologicals Rabbit MFF Antibody - BSA Free (NBP1-86799) is a polyclonal antibody validated for use in IHC and WB. Anti-MFF Antibody: Cited in 4 publications. All Novus Biologicals antibodies are covered by our 100% guarantee.

Scientific Data Images for MFF Antibody - BSA Free

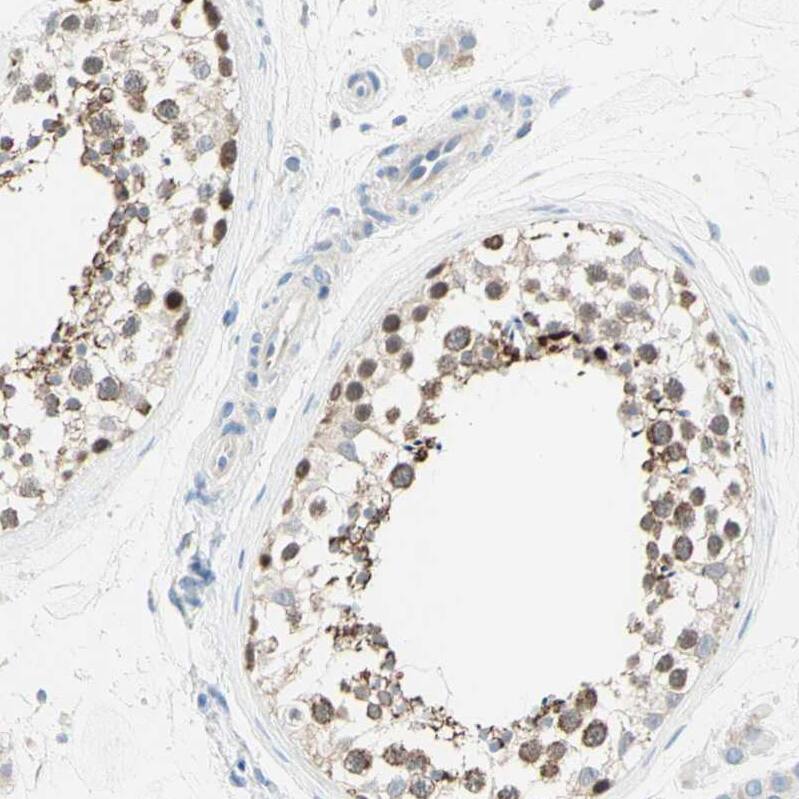
MFF Antibody - BSA Free Immunohistochemistry-Paraffin: MFF Antibody - BSA Free [NBP1-86799]

Immunohistochemistry-Paraffin: MFF Antibody - BSA Free [NBP1-86799]

Analysis in human testis and liver tissues Corresponding MFF RNA-seq data are presented for the same tissues.
MFF Antibody - BSA Free Immunohistochemistry-Paraffin: MFF Antibody - BSA Free [NBP1-86799]

Immunohistochemistry-Paraffin: MFF Antibody - BSA Free [NBP1-86799]

Staining of human cerebral cortex shows moderate cytoplasmic positivity in neurons.
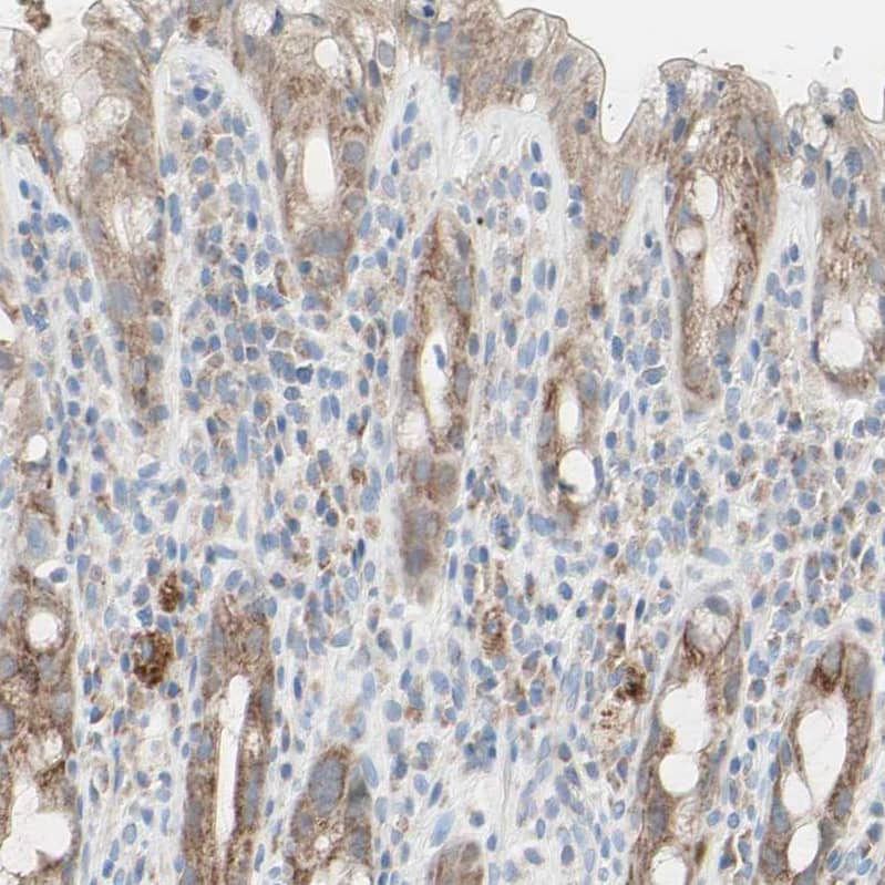
MFF Antibody - BSA Free Immunohistochemistry-Paraffin: MFF Antibody - BSA Free [NBP1-86799]

Immunohistochemistry-Paraffin: MFF Antibody - BSA Free [NBP1-86799]

Staining of human rectum shows moderate cytoplasmic positivity in glandular cells.

Applications for MFF Antibody - BSA Free

Application
Recommended Usage

Immunohistochemistry

1:50 - 1:200

Immunohistochemistry-Paraffin

1:50 - 1:200

Western Blot

Reported in scientific literature (PMID 26680008).
Application Notes
For IHC-Paraffin, HIER pH 6 retrieval is recommended.

Formulation, Preparation, and Storage

Purification

Immunogen affinity purified

Formulation

PBS (pH 7.2) and 40% Glycerol

Format

BSA Free

Preservative

0.02% Sodium Azide

Concentration

Concentrations vary lot to lot. See vial label for concentration. If unlisted please contact technical services.

Shipping

The product is shipped with polar packs. Upon receipt, store it immediately at the temperature recommended below.

Stability & Storage

Store at 4C short term. Aliquot and store at -20C long term. Avoid freeze-thaw cycles.

Background: MFF

Alternate Names

mitochondrial fission factor

Gene Symbol

MFF

Additional MFF Products

Product Documents for MFF Antibody - BSA Free

Certificate of Analysis

To download a Certificate of Analysis, please enter a lot number in the search box below.

Product Specific Notices for MFF Antibody - BSA Free

This product is for research use only and is not approved for use in humans or in clinical diagnosis. Primary Antibodies are guaranteed for 1 year from date of receipt.

Loading...
Loading...
Loading...
Loading...