Skip to main content

METTL8 Antibody - BSA Free

Novus Biologicals, part of Bio-Techne | Catalog # NBP1-94012

Novus Biologicals, part of Bio-Techne
Catalog #
Availability
Size / Price
Qty
Loading...
NBP1-94012
NBP1-94012-25ul

Key Product Details

Species Reactivity

Human

Applications

Immunohistochemistry, Immunohistochemistry-Paraffin, Western Blot

Label

Unconjugated

Antibody Source

Polyclonal Rabbit IgG

Format

BSA Free

Concentration

Concentrations vary lot to lot. See vial label for concentration. If unlisted please contact technical services.

Product Specifications

Immunogen

This antibody was developed against Recombinant Protein corresponding to amino acids: MNMIWRNSISCLRLGKVPHRYQSGYHPVAPLGSRILTDPAKVFEHNMWDHMQWSKEEEAAARKKVKENSAVRVLLEE

Reactivity Notes

Immunogen displays the following percentage of sequence identity for non-tested species: Mouse (83%), Rat (82%)

Clonality

Polyclonal

Host

Rabbit

Isotype

IgG

Description

Novus Biologicals Rabbit METTL8 Antibody - BSA Free (NBP1-94012) is a polyclonal antibody validated for use in IHC and WB. All Novus Biologicals antibodies are covered by our 100% guarantee.

Scientific Data Images for METTL8 Antibody - BSA Free

Western Blot: METTL8 Antibody [NBP1-94012]

Western Blot: METTL8 Antibody [NBP1-94012]

Western Blot: METTL8 Antibody [NBP1-94012] - Analysis in human cell line BEWO.
Immunohistochemistry-Paraffin: METTL8 Antibody [NBP1-94012]

Immunohistochemistry-Paraffin: METTL8 Antibody [NBP1-94012]

Immunohistochemistry-Paraffin: METTL8 Antibody [NBP1-94012] - Staining of human colon shows weak cytoplasmic positivity in glandular cells.
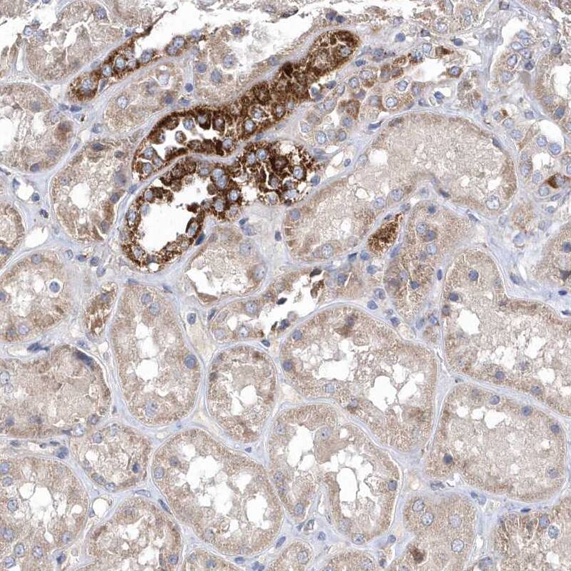
Immunohistochemistry-Paraffin: METTL8 Antibody [NBP1-94012]

Immunohistochemistry-Paraffin: METTL8 Antibody [NBP1-94012]

Immunohistochemistry-Paraffin: METTL8 Antibody [NBP1-94012] - Staining of human kidney shows moderate cytoplasmic positivity in cells in tubules.

Applications for METTL8 Antibody - BSA Free

Application
Recommended Usage

Immunohistochemistry

1:200 - 1:500

Immunohistochemistry-Paraffin

1:200 - 1:500

Western Blot

0.04-0.4 ug/ml
Application Notes
For IHC-Paraffin, HIER pH 6 retrieval is recommended.

Formulation, Preparation, and Storage

Purification

Affinity purified

Formulation

PBS (pH 7.2) and 40% Glycerol

Format

BSA Free

Preservative

0.02% Sodium Azide

Concentration

Concentrations vary lot to lot. See vial label for concentration. If unlisted please contact technical services.

Shipping

The product is shipped with polar packs. Upon receipt, store it immediately at the temperature recommended below.

Stability & Storage

Store at 4C short term. Aliquot and store at -20C long term. Avoid freeze-thaw cycles.

Background: METTL8

Alternate Names

FLJ13334, FLJ13984, FLJ31054, FLJ42098, FLJ77788, methyltransferase like 8, TIP

Gene Symbol

METTL8

Additional METTL8 Products

Product Documents for METTL8 Antibody - BSA Free

Certificate of Analysis

To download a Certificate of Analysis, please enter a lot number in the search box below.

Product Specific Notices for METTL8 Antibody - BSA Free

This product is for research use only and is not approved for use in humans or in clinical diagnosis. Primary Antibodies are guaranteed for 1 year from date of receipt.

Loading...
Loading...
Loading...
Loading...