METTL20 Antibody - BSA Free
Novus Biologicals, part of Bio-Techne | Catalog # NBP1-87995
Key Product Details
Species Reactivity
Validated:
Human
Predicted:
Mouse (95%), Rat (95%). Backed by our 100% Guarantee.
Applications
Immunohistochemistry, Immunohistochemistry-Paraffin
Label
Unconjugated
Antibody Source
Polyclonal Rabbit IgG
Format
BSA Free
Concentration
Concentrations vary lot to lot. See vial label for concentration. If unlisted please contact technical services.
Product Specifications
Immunogen
This antibody was developed against Recombinant Protein corresponding to amino acids: PYWAIYWPGGQALSRYLLDNPDVVRGKSVLDLGSGCGATAIAAKMSGASRILANDIDPIAGMAITLNCELNRLNP
Clonality
Polyclonal
Host
Rabbit
Isotype
IgG
Scientific Data Images for METTL20 Antibody - BSA Free
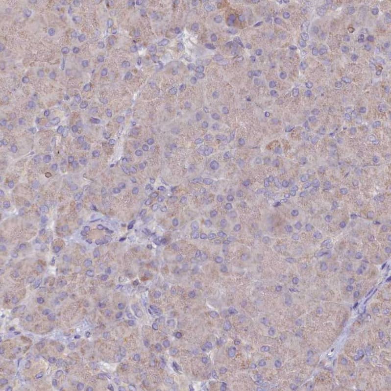
Immunohistochemistry-Paraffin: METTL20 Antibody [NBP1-87995]
Immunohistochemistry-Paraffin: METTL20 Antibody [NBP1-87995] - Staining of human liver shows strong cytoplasmic positivity in hepatocytes.Immunohistochemistry-Paraffin: METTL20 Antibody [NBP1-87995]
Immunohistochemistry-Paraffin: METTL20 Antibody [NBP1-87995] - Staining of human kidney shows strong cytoplasmic positivity in cells in tubules.Immunohistochemistry-Paraffin: METTL20 Antibody - BSA Free [NBP1-87995]
Staining of human skeletal muscle shows strong cytoplasmic positivity in myocytes.Applications for METTL20 Antibody - BSA Free
Application
Recommended Usage
Immunohistochemistry
1:20 - 1:50
Immunohistochemistry-Paraffin
1:20 - 1:50
Application Notes
HIER pH6 retrieval is recommended.
Formulation, Preparation, and Storage
Purification
Affinity purified
Formulation
PBS (pH 7.2) and 40% Glycerol
Format
BSA Free
Preservative
0.02% Sodium Azide
Concentration
Concentrations vary lot to lot. See vial label for concentration. If unlisted please contact technical services.
Shipping
The product is shipped with polar packs. Upon receipt, store it immediately at the temperature recommended below.
Stability & Storage
Store at 4C short term. Aliquot and store at -20C long term. Avoid freeze-thaw cycles.
Background: METTL20
Alternate Names
C12orf72, chromosome 12 open reading frame 72, DKFZp451L235, EC 2.1.1.-, hypothetical protein LOC254013, methyltransferase like 20, MGC50559
Gene Symbol
ETFBKMT
Additional METTL20 Products
Product Documents for METTL20 Antibody - BSA Free
Product Specific Notices for METTL20 Antibody - BSA Free
This product is for research use only and is not approved for use in humans or in clinical diagnosis. Primary Antibodies are guaranteed for 1 year from date of receipt.
Loading...
Loading...
Loading...
Loading...