Methyltransferase like 5 Antibody - BSA Free
Novus Biologicals, part of Bio-Techne | Catalog # NBP1-92107
Key Product Details
Species Reactivity
Human
Applications
Immunohistochemistry, Immunohistochemistry-Paraffin, Immunocytochemistry/ Immunofluorescence
Label
Unconjugated
Antibody Source
Polyclonal Rabbit IgG
Format
BSA Free
Concentration
Concentrations vary lot to lot. See vial label for concentration. If unlisted please contact technical services.
Product Specifications
Immunogen
This antibody was developed against Recombinant Protein corresponding to amino acids: DIDEDALEIFNRNAEEFELTNIDMVQCDVCLLSNRMSKSFDTVIMNPPFGT
Reactivity Notes
Immunogen displays the following percentage of sequence identity for non-tested species: Mouse (86%), Rat (84%)
Clonality
Polyclonal
Host
Rabbit
Isotype
IgG
Scientific Data Images for Methyltransferase like 5 Antibody - BSA Free
Immunocytochemistry/ Immunofluorescence: Methyltransferase like 5 Antibody [NBP1-92107]
Immunocytochemistry/Immunofluorescence: Methyltransferase like 5 Antibody [NBP1-92107] - Immunofluorescent staining of human cell line U-251 MG shows localization to nucleoli fibrillar center & cytosol.Immunohistochemistry-Paraffin: Methyltransferase like 5 Antibody [NBP1-92107]
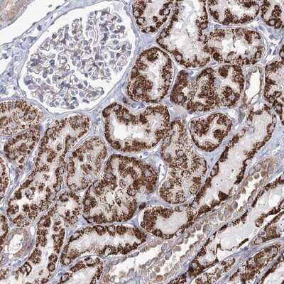
Immunohistochemistry-Paraffin: Methyltransferase like 5 Antibody [NBP1-92107] - Staining of human kidney shows strong cytoplasmic positivity in cells in tubules.Applications for Methyltransferase like 5 Antibody - BSA Free
Application
Recommended Usage
Immunocytochemistry/ Immunofluorescence
0.25-2 ug/ml
Immunohistochemistry
1:50 - 1:200
Immunohistochemistry-Paraffin
1:50 - 1:200
Application Notes
For IHC-Paraffin, HIER pH 6 retrieval is recommended. ICC/IF Fixation Permeabilization: Use PFA/Triton X-100.
Formulation, Preparation, and Storage
Purification
Affinity purified
Formulation
PBS (pH 7.2) and 40% Glycerol
Format
BSA Free
Preservative
0.02% Sodium Azide
Concentration
Concentrations vary lot to lot. See vial label for concentration. If unlisted please contact technical services.
Shipping
The product is shipped with polar packs. Upon receipt, store it immediately at the temperature recommended below.
Stability & Storage
Store at 4C short term. Aliquot and store at -20C long term. Avoid freeze-thaw cycles.
Background: Methyltransferase like 5
Alternate Names
EC 2.1.1.-, FLJ10459, HSPC133, methyltransferase like 5, methyltransferase-like protein 5
Gene Symbol
METTL5
Additional Methyltransferase like 5 Products
Product Documents for Methyltransferase like 5 Antibody - BSA Free
Product Specific Notices for Methyltransferase like 5 Antibody - BSA Free
This product is for research use only and is not approved for use in humans or in clinical diagnosis. Primary Antibodies are guaranteed for 1 year from date of receipt.
Loading...
Loading...
Loading...
Loading...