Methionine Sulfoxide Reductase A Antibody - BSA Free
Novus Biologicals, part of Bio-Techne | Catalog # NBP1-87456
Key Product Details
Species Reactivity
Validated:
Human
Cited:
Human
Applications
Validated:
Immunohistochemistry, Immunohistochemistry-Paraffin, Western Blot
Cited:
Western Blot
Label
Unconjugated
Antibody Source
Polyclonal Rabbit IgG
Format
BSA Free
Concentration
Concentrations vary lot to lot. See vial label for concentration. If unlisted please contact technical services.
Product Specifications
Immunogen
This antibody was developed against Recombinant Protein corresponding to amino acids: ASNIVSPQEALPGRKEQTPVAAKHHVNGNRTVEPFPEGTQMAVFGMGCFWGAERKFWVLKGVYSTQVG
Reactivity Notes
Immunogen displays the following percentage of sequence identity for non-tested species: Mouse (85%), Rat (84%).
Clonality
Polyclonal
Host
Rabbit
Isotype
IgG
Scientific Data Images for Methionine Sulfoxide Reductase A Antibody - BSA Free
Western Blot: Methionine Sulfoxide Reductase A Antibody [NBP1-87456]
Western Blot: Methionine Sulfoxide Reductase A Antibody [NBP1-87456] - Analysis in human cell line WM-115.Immunohistochemistry-Paraffin-Methionine Sulfoxide Reductase A Antibody-NBP1-87456-
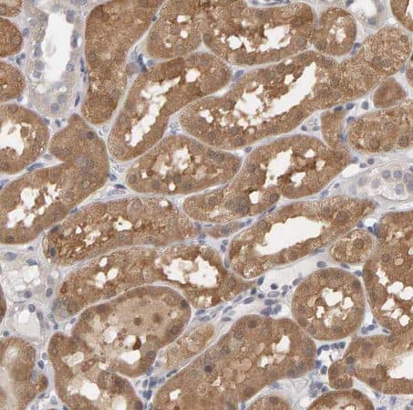
Immunohistochemistry-Paraffin-Methionine Sulfoxide Reductase A Antibody-NBP1-87456- Staining of human kidney shows strong nuclear and cytoplasmic positivity in cells in tubules.Immunohistochemistry-Paraffin-Methionine Sulfoxide Reductase A Antibody-NBP1-87456-
Immunohistochemistry-Paraffin-Methionine Sulfoxide Reductase A Antibody-NBP1-87456-Staining of human colon shows strong nuclear and cytoplasmic positivity in glandular cells.Applications for Methionine Sulfoxide Reductase A Antibody - BSA Free
Application
Recommended Usage
Immunohistochemistry
1:500 - 1:1000
Immunohistochemistry-Paraffin
1:500 - 1:1000
Western Blot
0.04-0.4 ug/ml
Application Notes
For IHC-Paraffin, HIER pH 6 retrieval is recommended.
Formulation, Preparation, and Storage
Purification
Affinity purified
Formulation
PBS (pH 7.2) and 40% Glycerol
Format
BSA Free
Preservative
0.02% Sodium Azide
Concentration
Concentrations vary lot to lot. See vial label for concentration. If unlisted please contact technical services.
Shipping
The product is shipped with polar packs. Upon receipt, store it immediately at the temperature recommended below.
Stability & Storage
Store at 4C short term. Aliquot and store at -20C long term. Avoid freeze-thaw cycles.
Background: Methionine Sulfoxide Reductase A
Alternate Names
cytosolic methionine-S-sulfoxide reductase, EC 1.8.4.11, methionine sulfoxide reductase A, peptide met (O) reductase, Peptide Met(O) reductase, peptide methionine sulfoxide reductase, Peptide-methionine (S)-S-oxide reductase, PMSR, Protein-methionine-S-oxide reductase
Gene Symbol
MSRA
Additional Methionine Sulfoxide Reductase A Products
Product Documents for Methionine Sulfoxide Reductase A Antibody - BSA Free
Product Specific Notices for Methionine Sulfoxide Reductase A Antibody - BSA Free
This product is for research use only and is not approved for use in humans or in clinical diagnosis. Primary Antibodies are guaranteed for 1 year from date of receipt.
Loading...
Loading...
Loading...
Loading...