Skip to main content

Methionine Aminopeptidase 2/METAP2 Antibody - Azide and BSA Free

Novus Biologicals, part of Bio-Techne | Catalog # NBP2-98941

Novus Biologicals, part of Bio-Techne

Key Product Details

Species Reactivity

Human, Mouse, Rat

Applications

Immunohistochemistry-Paraffin

Label

Unconjugated

Antibody Source

Polyclonal Rabbit IgG

Format

Azide and BSA Free

Concentration

Please see the vial label for concentration. If unlisted please contact technical services.

Product Specifications

Immunogen

Produced in rabbits immunized with a synthetic peptide corresponding to the N-terminus of the Human Methionine Aminopeptidase 2/METAP2

Clonality

Polyclonal

Host

Rabbit

Isotype

IgG

Description

This antibody can be stored at 2C to 8C for one month without detectable loss of activity. Antibody products are stable for twelve months from date of receipt when stored at -20C to -80C. Avoid repeated freeze-thaw cycles.

Scientific Data Images for Methionine Aminopeptidase 2/METAP2 Antibody - Azide and BSA Free

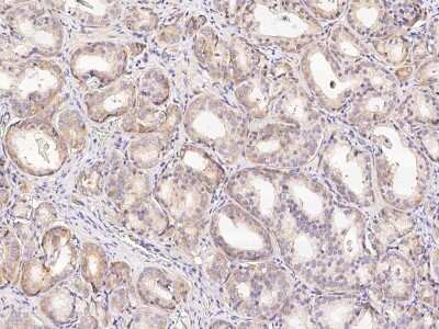
Immunohistochemistry-Paraffin: Methionine Aminopeptidase 2/METAP2 Antibody [NBP2-98941]

Immunohistochemistry-Paraffin: Methionine Aminopeptidase 2/METAP2 Antibody [NBP2-98941]

Immunohistochemistry-Paraffin: Methionine Aminopeptidase 2/METAP2 Antibody [NBP2-98941] - Immunochemical staining Methionine Aminopeptidase 2/METAP2 in rat small intestine with rabbit polyclonal antibody at 1:1000 dilution, formalin-fixed paraffin embedded sections.
Immunohistochemistry-Paraffin: Methionine Aminopeptidase 2/METAP2 Antibody [NBP2-98941]

Immunohistochemistry-Paraffin: Methionine Aminopeptidase 2/METAP2 Antibody [NBP2-98941]

Immunohistochemistry-Paraffin: Methionine Aminopeptidase 2/METAP2 Antibody [NBP2-98941] - Immunochemical staining Methionine Aminopeptidase 2/METAP2 in human prostatic carcinoma with rabbit polyclonal antibody (1:1000, formalin-fixed paraffin embedded sections).
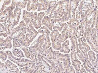
Immunohistochemistry-Paraffin: Methionine Aminopeptidase 2/METAP2 Antibody [NBP2-98941]

Immunohistochemistry-Paraffin: Methionine Aminopeptidase 2/METAP2 Antibody [NBP2-98941]

Immunohistochemistry-Paraffin: Methionine Aminopeptidase 2/METAP2 Antibody [NBP2-98941] - Immunochemical staining Methionine Aminopeptidase 2/METAP2 in human thyroid cancer with rabbit polyclonal antibody (1:1000, formalin-fixed paraffin embedded sections).

Applications for Methionine Aminopeptidase 2/METAP2 Antibody - Azide and BSA Free

Application
Recommended Usage

Immunohistochemistry-Paraffin

1:500-1:2000

Formulation, Preparation, and Storage

Purification

Antigen and protein A Affinity-purified

Formulation

0.2 um filtered solution in PBS

Format

Azide and BSA Free

Preservative

No Preservative

Concentration

Please see the vial label for concentration. If unlisted please contact technical services.

Shipping

The product is shipped with polar packs. Upon receipt, store it immediately at the temperature recommended below.

Stability & Storage

Store at 4C short term. Aliquot and store at -20C long term. Avoid freeze-thaw cycles.

Background: Methionine Aminopeptidase 2/METAP2

METAP2 is a member of the methionyl aminopeptidase family and encodes a protein that binds 2 cobalt or manganese ions. This protein functions both by protecting the alpha subunit of eukaryotic initiation factor 2 from inhibitory phosphorylation and by removing the amino-terminal methionine residue from nascent protein. Increased expression of this gene is associated with various forms of cancer and the anti-cancer drugs fumagillin and ovalicin inhibit the protein by irreversibly binding to its active site. A pseudogene of this gene is located on chromosome 2. [provided by RefSeq]

Alternate Names

Amp2, METAP2, MNPEP, p67eIF2

Gene Symbol

METAP2

Additional Methionine Aminopeptidase 2/METAP2 Products

Product Documents for Methionine Aminopeptidase 2/METAP2 Antibody - Azide and BSA Free

Certificate of Analysis

To download a Certificate of Analysis, please enter a lot number in the search box below.

Product Specific Notices for Methionine Aminopeptidase 2/METAP2 Antibody - Azide and BSA Free

This product is for research use only and is not approved for use in humans or in clinical diagnosis. Primary Antibodies are guaranteed for 1 year from date of receipt.

Loading...
Loading...
Loading...
Loading...