Skip to main content

Met-enkephalin Antibody - BSA Free

Novus Biologicals, part of Bio-Techne | Catalog # NBP1-90944

Novus Biologicals, part of Bio-Techne
Catalog #
Availability
Size / Price
Qty
Loading...
NBP1-90944-25ul
NBP1-90944

Key Product Details

Validated by

Orthogonal Validation

Species Reactivity

Validated:

Human

Cited:

Human

Applications

Validated:

Immunohistochemistry, Immunohistochemistry-Paraffin, Western Blot

Cited:

Block/Neutralize

Label

Unconjugated

Antibody Source

Polyclonal Rabbit IgG

Format

BSA Free

Concentration

Concentrations vary lot to lot. See vial label for concentration. If unlisted please contact technical services.

Product Specifications

Immunogen

This antibody was developed against Recombinant Protein corresponding to amino acids: ECSQDCATCSYRLVRPADINFLACVMECEGKLPSLKIWETCKELLQLSKPELPQDGTSTLRENSKPEESHLLAKRYGGFMKRYGGFMKKMDELYPMEPEEEANGSEILAKRYGGFMKKDAEE

Reactivity Notes

Immunogen displays the following percentage of sequence identity for non-tested species: Mouse (80%), Rat (80%)

Clonality

Polyclonal

Host

Rabbit

Isotype

IgG

Scientific Data Images for Met-enkephalin Antibody - BSA Free

Immunohistochemistry-Paraffin: Met-enkephalin Antibody [NBP1-90944]

Immunohistochemistry-Paraffin: Met-enkephalin Antibody [NBP1-90944]

Immunohistochemistry-Paraffin: Met-enkephalin Antibody [NBP1-90944] - Staining in human adrenal gland and kidney tissues using anti-PENK antibody. Corresponding PENK RNA-seq data are presented for the same tissues.
Western Blot: Met-enkephalin Antibody [NBP1-90944]

Western Blot: Met-enkephalin Antibody [NBP1-90944]

Western Blot: Met-enkephalin Antibody [NBP1-90944] - Analysis in control (vector only transfected HEK293T lysate) and PENK over-expression lysate (Co-expressed with a C-terminal myc-DDK tag (3.1 kDa) in mammalian HEK293T cells).
Immunohistochemistry-Paraffin: Met-enkephalin Antibody [NBP1-90944]

Immunohistochemistry-Paraffin: Met-enkephalin Antibody [NBP1-90944]

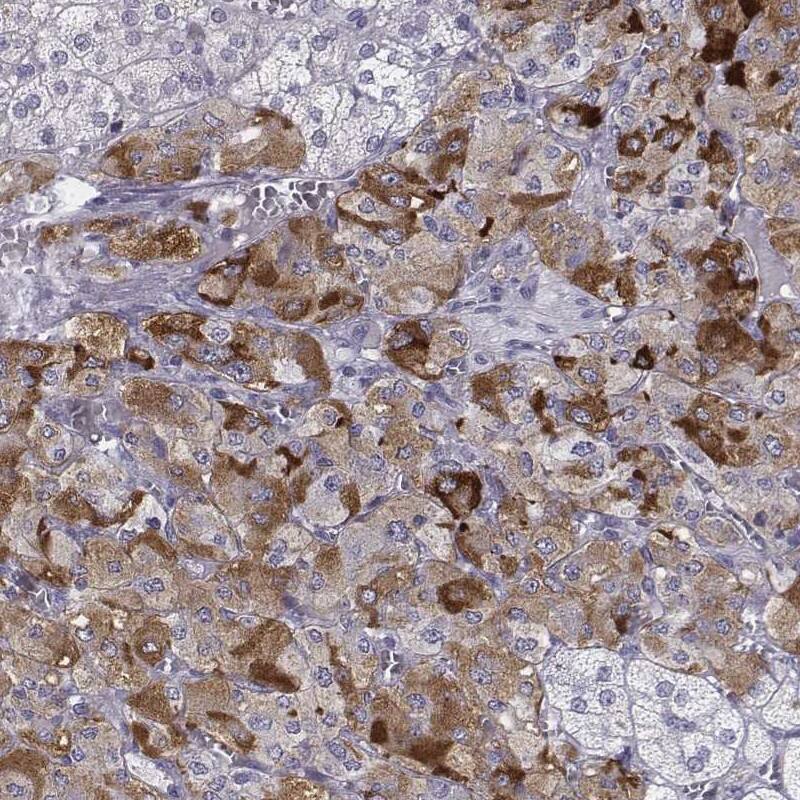
Immunohistochemistry-Paraffin: Met-enkephalin Antibody [NBP1-90944] - Staining of human adrenal gland shows strong cytoplasmic positivity in medullary cells.

Applications for Met-enkephalin Antibody - BSA Free

Application
Recommended Usage

Immunohistochemistry

1:1000 - 1:2500

Immunohistochemistry-Paraffin

1:1000 - 1:2500

Western Blot

0.04-0.4 ug/ml
Application Notes
For IHC-Paraffin, HIER pH 6 retrieval is recommended.

Formulation, Preparation, and Storage

Purification

Affinity purified

Formulation

PBS (pH 7.2) and 40% Glycerol

Format

BSA Free

Preservative

0.02% Sodium Azide

Concentration

Concentrations vary lot to lot. See vial label for concentration. If unlisted please contact technical services.

Shipping

The product is shipped with polar packs. Upon receipt, store it immediately at the temperature recommended below.

Stability & Storage

Store at 4C short term. Aliquot and store at -20C long term. Avoid freeze-thaw cycles.

Background: Met-enkephalin

Alternate Names

enkephalin A, preproenkephalin, proenkephalin, proenkephalin-A

Gene Symbol

PENK

Additional Met-enkephalin Products

Product Documents for Met-enkephalin Antibody - BSA Free

Certificate of Analysis

To download a Certificate of Analysis, please enter a lot number in the search box below.

Product Specific Notices for Met-enkephalin Antibody - BSA Free

This product is for research use only and is not approved for use in humans or in clinical diagnosis. Primary Antibodies are guaranteed for 1 year from date of receipt.

Loading...
Loading...
Loading...
Loading...