Skip to main content

MEOX 2 Antibody - BSA Free

Novus Biologicals, part of Bio-Techne | Catalog # NBP2-30647

Novus Biologicals, part of Bio-Techne
Catalog #
Availability
Size / Price
Qty
Loading...
NBP2-30647-25ul
NBP2-30647

Key Product Details

Validated by

Orthogonal Validation

Species Reactivity

Validated:

Human

Predicted:

Mouse (95%), Rat (96%). Backed by our 100% Guarantee.

Applications

Immunohistochemistry, Immunohistochemistry-Paraffin, Western Blot

Label

Unconjugated

Antibody Source

Polyclonal Rabbit IgG

Format

BSA Free

Concentration

Concentrations vary lot to lot. See vial label for concentration. If unlisted please contact technical services.

Product Specifications

Immunogen

This antibody was developed against a recombinant protein corresponding to amino acids: QQHQALQTNWHLPQMSSPPSAARHSLCLQPDSGGPPELGSSPPVLCSNSSSLGSSTPTGAACAPGDYGRQALSPAEAEKRSGGKR

Marker

Mesoderm Marker

Clonality

Polyclonal

Host

Rabbit

Isotype

IgG

Scientific Data Images for MEOX 2 Antibody - BSA Free

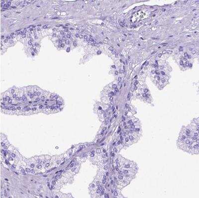
Immunohistochemistry-Paraffin: MEOX 2 Antibody [NBP2-30647]

Immunohistochemistry-Paraffin: MEOX 2 Antibody [NBP2-30647]

Immunohistochemistry-Paraffin: MEOX 2 Antibody [NBP2-30647] - Analysis in human placenta and prostate tissues using antibody. Corresponding MEOX2 RNA-seq data are presented for the same tissues.
Western Blot: MEOX 2 Antibody [NBP2-30647]

Western Blot: MEOX 2 Antibody [NBP2-30647]

Western Blot: MEOX 2 Antibody [NBP2-30647] - Analysis in control (vector only transfected HEK293T lysate) and MEOX2 over-expression lysate (Co-expressed with a C-terminal myc-DDK tag (3.1 kDa) in mammalian HEK293T cells).
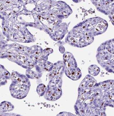
Immunohistochemistry-Paraffin: MEOX 2 Antibody [NBP2-30647]

Immunohistochemistry-Paraffin: MEOX 2 Antibody [NBP2-30647]

Immunohistochemistry-Paraffin: MEOX 2 Antibody [NBP2-30647] - Staining of human placenta shows strong nuclear positivity in endothelial cells.

Applications for MEOX 2 Antibody - BSA Free

Application
Recommended Usage

Immunohistochemistry

1:1000 -1:2500

Immunohistochemistry-Paraffin

1:1000 - 1:2500

Western Blot

0.04-0.4 ug/ml
Application Notes
IHC-Paraffin, HIER pH 6 retrieval is recommended.

Formulation, Preparation, and Storage

Purification

Affinity purified

Formulation

PBS (pH 7.2) and 40% Glycerol

Format

BSA Free

Preservative

0.02% Sodium Azide

Concentration

Concentrations vary lot to lot. See vial label for concentration. If unlisted please contact technical services.

Shipping

The product is shipped with polar packs. Upon receipt, store it immediately at the temperature recommended below.

Stability & Storage

Store at 4C short term. Aliquot and store at -20C long term. Avoid freeze-thaw cycles.

Background: MEOX 2

MEOX 2 encodes a member of a subfamily of non-clustered, diverged, antennapedia-like homeobox-containing genes. The encoded protein may play a role in the regulation of vertebrate limb myogenesis. Mutations in the related mouse protein may be associated with craniofacial and/or skeletal abnormalities, in addition to neurovascular dysfunction observed in Alzheimer's disease.

Alternate Names

growth arrest-specific homeo box, Growth arrest-specific homeobox, homeobox protein MOX-2, mesenchyme homeo box 2 (growth arrest-specific homeo box), mesenchyme homeobox 2GAX, MOX2mesenchyme homeobox 2 (growth arrest-specific homeo box)

Gene Symbol

MEOX2

UniProt

Additional MEOX 2 Products

Product Documents for MEOX 2 Antibody - BSA Free

Certificate of Analysis

To download a Certificate of Analysis, please enter a lot number in the search box below.

Product Specific Notices for MEOX 2 Antibody - BSA Free

This product is for research use only and is not approved for use in humans or in clinical diagnosis. Primary Antibodies are guaranteed for 1 year from date of receipt.

Loading...
Loading...
Loading...
Loading...