Skip to main content

Membrin Antibody (8G6) - BSA Free

Novus Biologicals, part of Bio-Techne | Catalog # NBP3-42976

Novus Biologicals, part of Bio-Techne
Catalog #
Availability
Size / Price
Qty
Loading...
NBP3-42976

Key Product Details

Species Reactivity

Human

Applications

Immunohistochemistry, Western Blot, ELISA

Label

Unconjugated

Antibody Source

Monoclonal Mouse IgG2A Clone # 8G6

Format

BSA Free

Concentration

Please see the vial label for concentration. If unlisted please contact technical services.

Product Specifications

Immunogen

golgi SNAP receptor complex member 2 - (Uniprot# O14653)

Clonality

Monoclonal

Host

Mouse

Isotype

IgG2A

Theoretical MW

25 kDa.
Disclaimer note: The observed molecular weight of the protein may vary from the listed predicted molecular weight due to post translational modifications, post translation cleavages, relative charges, and other experimental factors.

Description

Novus Biologicals Mouse Membrin Antibody (8G6) - BSA Free (NBP3-42976) is a monoclonal antibody validated for use in IHC, WB and ELISA. All Novus Biologicals antibodies are covered by our 100% guarantee.

Scientific Data Images for Membrin Antibody (8G6) - BSA Free

Membrin Antibody (8G6)

Western Blot: Membrin Antibody (8G6) [NBP3-42976] -

Western Blot: Membrin Antibody (8G6) [NBP3-42976] - HeLa cells were subjected to SDS PAGE followed by western blot with (Membrin antibody) at dilution of 1:1000
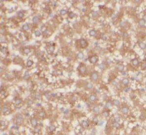
Membrin Antibody (8G6)

Immunohistochemistry: Membrin Antibody (8G6) [NBP3-42976] -

Immunohistochemistry: Membrin Antibody (8G6) [NBP3-42976] - Immunohistochemistry of paraffin-embedded human liver slide using (Membrin Antibody) at dilution of 1:50

Applications for Membrin Antibody (8G6) - BSA Free

Application
Recommended Usage

Immunohistochemistry

1:20 - 1:200

Western Blot

1:500 - 1:2000

Formulation, Preparation, and Storage

Purification

Protein A or G purified

Formulation

PBS (pH 7.3), 50% glycerol

Format

BSA Free

Preservative

0.02% Sodium Azide

Concentration

Please see the vial label for concentration. If unlisted please contact technical services.

Shipping

The product is shipped with polar packs. Upon receipt, store it immediately at the temperature recommended below.

Stability & Storage

Store at -20C. Avoid freeze-thaw cycles.

Background: Membrin

Membrin encodes a trafficking membrane protein which transports proteins among the medial- and trans-Golgi compartments. Due to its chromosomal location and trafficking function, this gene may be involved in familial essential hypertension. Three transcript variants encoding three different isoforms have been found for this gene. [provided by RefSeq]

Alternate Names

golgi SNAP receptor complex member 2, GS27Bos1,27 kDa Golgi SNARE protein, membrin

Gene Symbol

GOSR2

Additional Membrin Products

Product Documents for Membrin Antibody (8G6) - BSA Free

Certificate of Analysis

To download a Certificate of Analysis, please enter a lot number in the search box below.

Product Specific Notices for Membrin Antibody (8G6) - BSA Free

This product is for research use only and is not approved for use in humans or in clinical diagnosis. Primary Antibodies are guaranteed for 1 year from date of receipt.

Loading...
Loading...
Loading...
Loading...